共1页/3条首页上一页1下一页尾页
回复:3 阅读:3049
肋骨肿物,求助

taoqimao 离线

帖子:286
粉蓝豆:397
经验:679
注册时间:2011-08-20
加关注  |  发消息
楼主 发表于 2012-03-15 18:48|举报|关注(0)
浏览排序[ 顺序 逆序 楼主 支持 精彩 ]  快捷回复

 

  • 肋骨肿物,求助图1
    这是比较容易取下来的部分,肋骨内部的肿瘤还在制片中
  • 肋骨肿物,求助图2
    图2
  • 肋骨肿物,求助图3
    图3
  • 肋骨肿物,求助图4
    图4
  • 肋骨肿物,求助图5
    图5
  • 肋骨肿物,求助图6
    图6
  • 肋骨肿物,求助图7
    图7
  • 肋骨肿物,求助图8
    图8
  • 肋骨肿物,求助图9
    图9
  • 肋骨肿物,求助图10
    图10
  • 肋骨肿物,求助图11
    图11
  • 肋骨肿物,求助图12
    图12
  • 肋骨肿物,求助图13
    图13
  • 肋骨肿物,求助图14
    图14
  • 肋骨肿物,求助图15
    图15
  • 肋骨肿物,求助图16
    图16
  • 肋骨肿物,求助图17
    图17
  • 肋骨肿物,求助图18
    图18
  • 肋骨肿物,求助图19
    图19
  • 肋骨肿物,求助图20
    图20
  • 肋骨肿物,求助图21
    图21
  • 肋骨肿物,求助图22
    图22
  • 肋骨肿物,求助图23
    图23
  • 肋骨肿物,求助图24
    图24
  • 肋骨肿物,求助图25
    图25
  • 肋骨肿物,求助图26
    图26
  • 肋骨肿物,求助图27
    图27
  • 肋骨肿物,求助图28
    图28
  • 肋骨肿物,求助图29
    图29
  • 肋骨肿物,求助图30
    图30

这是一部分容易取下来的肿瘤,其余部分还在脱钙中

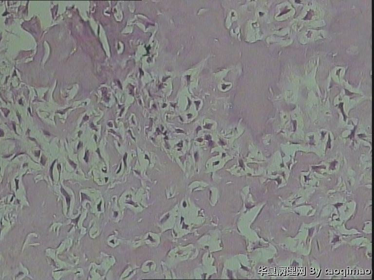
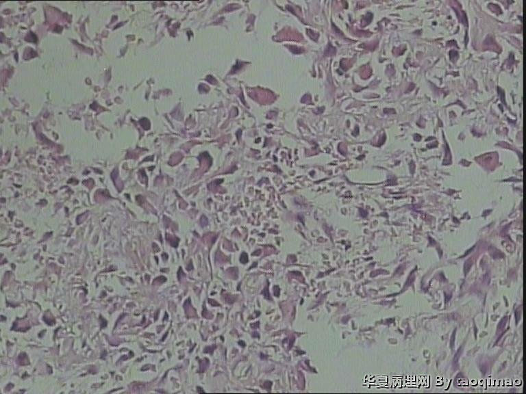
患者女,31岁,胸部CT第八肋骨肿瘤,肿物在肋骨内突出骨外膜,大小2.3X1.5.切面灰白质韧 

标签:
0
signature
一个人的心态决定她的生活
添加参考诊断
×参考诊断
  

诺贝儿 离线

帖子:1045
粉蓝豆:0
经验:1856
注册时间:2007-10-12
加关注  |  发消息
1 楼    发表于2012-03-15 21:32:04举报|引用
返回顶部 | 快捷回复

骨母细胞瘤。矿化不均要除外骨母细胞型骨肉瘤,虽然肿块小了点。还是找找核分裂,看看X线的好。

0
回复
signature
人如其名

taoqimao 离线

帖子:286
粉蓝豆:397
经验:679
注册时间:2011-08-20
加关注  |  发消息
2 楼    发表于2012-03-19 19:43:33举报|引用
返回顶部 | 快捷回复
引用 1 楼 诺贝儿 在 2012-03-15 21:32:04 的发言:

骨母细胞瘤。矿化不均要除外骨母细胞型骨肉瘤,虽然肿块小了点。还是找找核分裂,看看X线的好。


老师不考虑骨样骨瘤么?X线说偏向良性肿瘤

0
回复
signature
一个人的心态决定她的生活

诺贝儿 离线

帖子:1045
粉蓝豆:0
经验:1856
注册时间:2007-10-12
加关注  |  发消息
3 楼    发表于2012-03-20 17:26:27举报|引用
返回顶部 | 快捷回复

那就是骨样骨瘤。

0
回复
signature
人如其名
回复:3 阅读:3049
共1页/3条首页上一页1下一页尾页
【免责声明】讨论内容仅作学术交流之用,不作为诊疗依据,由此而引起的法律问题作者及本站不承担任何责任。
快速回复
进入高级回复
您最多可输入10000个汉字,按 "Ctrl" + "Enter" 直接发送
搜索回复/乘电梯 ×
按内容
按会员
乘电梯
合作伙伴
友情链接