共1页/11条首页上一页1下一页尾页
回复:11 阅读:4224
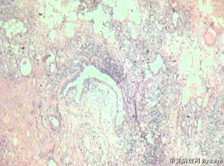
B3997左乳肿瘤--浸润性导管癌?

kdyd 离线

帖子:175
粉蓝豆:1423
经验:411
注册时间:2009-09-26
加关注  |  发消息
楼主 发表于 2012-03-15 18:05|举报|关注(0)
浏览排序[ 顺序 逆序 楼主 支持 精彩 ]  快捷回复

 37岁,女。左侧乳腺肿块发现5个多月,伴隐痛。

手术见:肿块与周围组织分界不清,无明显包膜。

大体:不整形组织大小约3.5*35*2CM,未见明显包膜。质较软,切面浅黄色,一侧见一小囊腔直径约0.8CM囊壁较粗糙。

  • 左乳肿瘤--浸润性导管癌?图1
    图1
  • 左乳肿瘤--浸润性导管癌?图2
    图2
  • 左乳肿瘤--浸润性导管癌?图3
    图3
  • 左乳肿瘤--浸润性导管癌?图4
    图4
  • 左乳肿瘤--浸润性导管癌?图5
    图5
  • 左乳肿瘤--浸润性导管癌?图6
    图6
  • 左乳肿瘤--浸润性导管癌?图7
    图7
  • 左乳肿瘤--浸润性导管癌?图8
    图8
  • 左乳肿瘤--浸润性导管癌?图9
    图9
  • 左乳肿瘤--浸润性导管癌?图10
    图10
  • 左乳肿瘤--浸润性导管癌?图11
    图11
  • 左乳肿瘤--浸润性导管癌?图12
    图12
  • 左乳肿瘤--浸润性导管癌?图13
    图13
  • 左乳肿瘤--浸润性导管癌?图14
    图14
  • 左乳肿瘤--浸润性导管癌?图15
    图15
标签:乳腺浸润性导管癌 原位癌
0
×参考诊断
浸润性乳腺导管癌?

zhouquan 离线

帖子:7752
粉蓝豆:302
经验:8263
注册时间:2008-11-09
加关注  |  发消息
1 楼    发表于2012-03-15 18:17:04举报|引用
返回顶部 | 快捷回复

IDC

0
回复
signature
成功不是得到多少东西,而是把身上多余的东西的扔掉多少。   

阿斌 离线

帖子:473
粉蓝豆:10
经验:1468
注册时间:2009-10-27
加关注  |  发消息
2 楼    发表于2012-03-15 18:17:38举报|引用
返回顶部 | 快捷回复

乳腺浸润性导管癌

1

脑积水00
回复

水晶蔷薇 离线

帖子:454
粉蓝豆:309
经验:1828
注册时间:2011-11-30
加关注  |  发消息
3 楼    发表于2012-03-15 18:42:18举报|引用
返回顶部 | 快捷回复

囊壁内大量炎细胞浸润,囊壁被覆细胞有明显异型,可见核分裂,考虑癌,不知有无陷阱

0
回复

怒发冲冠 离线

帖子:1152
粉蓝豆:601
经验:2894
注册时间:2008-05-23
加关注  |  发消息
4 楼    发表于2012-03-15 18:58:50举报|引用
返回顶部 | 快捷回复

考虑癌,但切片质量有点欠缺,发癌有点底气不足!

0
回复

ahhbhzlin 离线

帖子:3090
粉蓝豆:50
经验:11826
注册时间:2008-07-24
加关注  |  发消息
5 楼    发表于2012-03-15 20:48:44举报|引用
返回顶部 | 快捷回复

浸润性导管癌

0
回复

强子 离线

帖子:950
粉蓝豆:535
经验:1218
注册时间:2007-10-28
加关注  |  发消息
6 楼    发表于2012-03-15 21:55:11举报|引用
返回顶部 | 快捷回复

应该是个浸润性导管癌

但是,片子质量欠佳

不太敢直接下

0
回复
signature
赚点散碎银子养家,乐呵呵的穿衣吃饭

病理020 离线

帖子:1344
粉蓝豆:5581
经验:1814
注册时间:2011-10-02
加关注  |  发消息
7 楼    发表于2012-03-15 22:54:34举报|引用
返回顶部 | 快捷回复

诊断乳腺浸润性导管癌确实有些担心,制片质量确实要提高,制作优良的切片,是正确诊断的前提。

0
回复
signature
邓学田

慧子 离线

帖子:81
粉蓝豆:96
经验:207
注册时间:2008-10-15
加关注  |  发消息
8 楼    发表于2012-03-15 23:00:42举报|引用
返回顶部 | 快捷回复

考虑浸润性导管癌

0
回复

lvyinhua 离线

帖子:832
粉蓝豆:35
经验:1180
注册时间:2012-01-09
加关注  |  发消息
9 楼    发表于2012-03-16 12:16:08举报|引用
返回顶部 | 快捷回复

浸润性导管癌

0
回复

学习bingli 离线

帖子:194
粉蓝豆:1
经验:276
注册时间:2011-04-04
加关注  |  发消息
10 楼    发表于2012-03-16 12:25:18举报|引用
返回顶部 | 快捷回复

乳腺导管浸润癌

0
回复

刀尖上的舞者 离线

帖子:1763
粉蓝豆:87
经验:3356
注册时间:2010-12-14
加关注  |  发消息
11 楼    发表于2012-03-16 15:27:24举报|引用
返回顶部 | 快捷回复

学习了。

0
回复
回复:11 阅读:4224
共1页/11条首页上一页1下一页尾页
【免责声明】讨论内容仅作学术交流之用,不作为诊疗依据,由此而引起的法律问题作者及本站不承担任何责任。
快速回复
进入高级回复
您最多可输入10000个汉字,按 "Ctrl" + "Enter" 直接发送
搜索回复/乘电梯 ×
按内容
按会员
乘电梯
合作伙伴
友情链接