共1页/7条首页上一页1下一页尾页
回复:7 阅读:3273
求助,宫内膜!

wolflovepig 离线

帖子:675
粉蓝豆:55
经验:9062
注册时间:2007-08-25
加关注  |  发消息
楼主 发表于 2012-03-15 17:09|举报|关注(0)
浏览排序[ 顺序 逆序 楼主 支持 精彩 ]  快捷回复

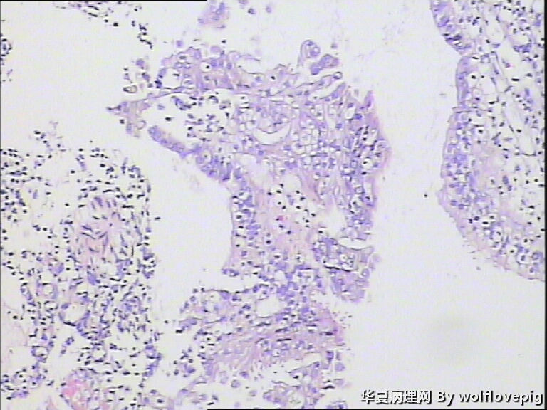
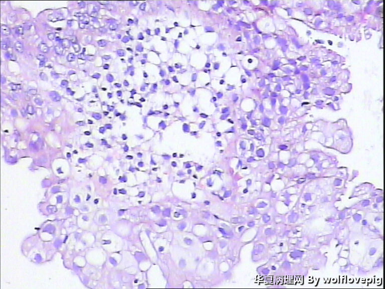
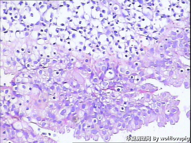
 40y,阴道不规则流血10+天

  • 求助,宫内膜!图1
    图1
  • 求助,宫内膜!图2
    图2
  • 求助,宫内膜!图3
    图3
  • 求助,宫内膜!图4
    图4
  • 求助,宫内膜!图5
    图5
  • 求助,宫内膜!图6
    图6
  • 求助,宫内膜!图7
    图7
  • 求助,宫内膜!图8
    图8
  • 求助,宫内膜!图9
    图9
  • 求助,宫内膜!图10
    图10
  • 求助,宫内膜!图11
    图11

标签:
0
添加参考诊断
×参考诊断
  

猪猪 离线

帖子:131
粉蓝豆:507
经验:312
注册时间:2006-11-24
加关注  |  发消息
1 楼    发表于2012-03-15 17:29:39举报|引用
返回顶部 | 快捷回复

流血期子宫内膜,这些变化都是化生,不怕

0
回复

茉莉花开 离线

帖子:526
粉蓝豆:12
经验:2772
注册时间:2009-06-21
加关注  |  发消息
2 楼    发表于2012-03-15 17:39:15举报|引用
返回顶部 | 快捷回复

分泌期宫内膜伴嗜酸细胞化生

0
回复

水晶蔷薇 离线

帖子:454
粉蓝豆:309
经验:1828
注册时间:2011-11-30
加关注  |  发消息
3 楼    发表于2012-03-15 18:46:24举报|引用
返回顶部 | 快捷回复

乳头状化生,嗜酸细胞化生,透明细胞化生

0
回复

怒发冲冠 离线

帖子:1152
粉蓝豆:601
经验:2894
注册时间:2008-05-23
加关注  |  发消息
4 楼    发表于2012-03-15 18:55:54举报|引用
返回顶部 | 快捷回复

分泌期宫内膜伴嗜酸细胞、乳头状化生

0
回复

sxm911 离线

帖子:56
粉蓝豆:21
经验:93
注册时间:2011-06-17
加关注  |  发消息
5 楼    发表于2012-03-15 19:15:23举报|引用
返回顶部 | 快捷回复

学习了

0
回复
signature
努力学习,好好工作

山川 离线

帖子:324
粉蓝豆:18
经验:926
注册时间:2010-12-28
加关注  |  发消息
6 楼    发表于2012-03-15 19:32:34举报|引用
返回顶部 | 快捷回复

医源性改变(药物等)。

0
回复
signature
看图识字

晓明 离线

帖子:1630
粉蓝豆:56
经验:1784
注册时间:2010-02-02
加关注  |  发消息
7 楼    发表于2012-03-15 20:30:30举报|引用
返回顶部 | 快捷回复

是一种化生性改变,问题不大。

0
回复
signature
典型中看不典型,不典型中找典型。
回复:7 阅读:3273
共1页/7条首页上一页1下一页尾页
【免责声明】讨论内容仅作学术交流之用,不作为诊疗依据,由此而引起的法律问题作者及本站不承担任何责任。
快速回复
进入高级回复
您最多可输入10000个汉字,按 "Ctrl" + "Enter" 直接发送
搜索回复/乘电梯 ×
按内容
按会员
乘电梯
合作伙伴
友情链接