共1页/18条首页上一页1下一页尾页
回复:18 阅读:4153
求助,宫颈!

wolflovepig 离线

帖子:675
粉蓝豆:55
经验:9062
注册时间:2007-08-25
加关注  |  发消息
楼主 发表于 2012-03-15 17:05|举报|关注(0)
浏览排序[ 顺序 逆序 楼主 支持 精彩 ]  快捷回复

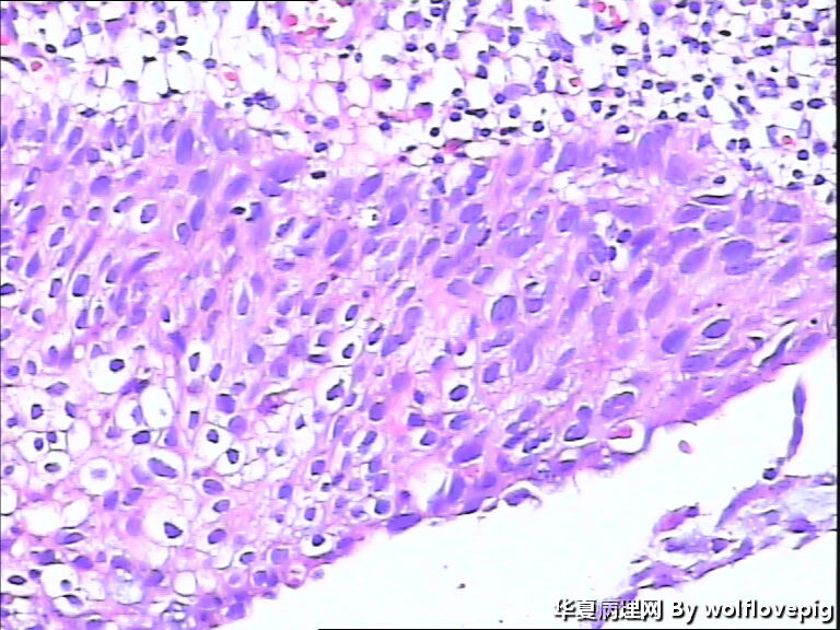
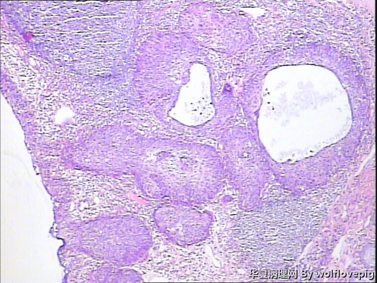
 37y

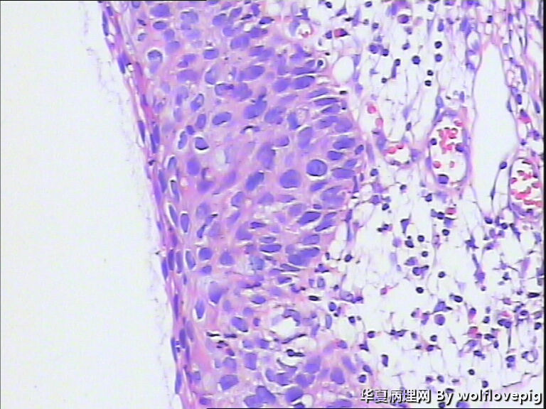
  • 求助,宫颈!图1
    图1
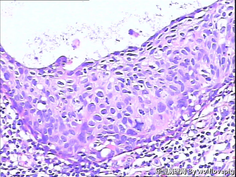
  • 求助,宫颈!图2
    图2
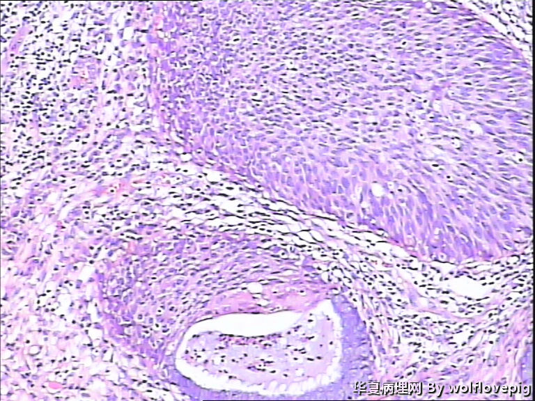
  • 求助,宫颈!图3
    图3
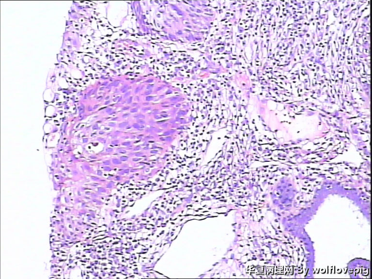
  • 求助,宫颈!图4
    图4
  • 求助,宫颈!图5
    图5
  • 求助,宫颈!图6
    图6
  • 求助,宫颈!图7
    图7
  • 求助,宫颈!图8
    图8
  • 求助,宫颈!图9
    图9
  • 求助,宫颈!图10
    图10
  • 求助,宫颈!图11
    图11
  • 求助,宫颈!图12
    图12
  • 求助,宫颈!图13
    图13
  • 求助,宫颈!图14
    图14
  • 求助,宫颈!图15
    图15
  • 求助,宫颈!图16
    图16
标签:
0
添加参考诊断
×参考诊断
  

wfbjwt 离线

帖子:6628
粉蓝豆:163
经验:7418
注册时间:2006-10-08
加关注  |  发消息
1 楼    发表于2012-03-15 17:12:31举报|引用
返回顶部 | 快捷回复

CIN3累腺

2

阿斌

微观世界..
回复
signature
嫁人就嫁灰太狼,学习要上华夏网。

茉莉花开 离线

帖子:526
粉蓝豆:12
经验:2772
注册时间:2009-06-21
加关注  |  发消息
2 楼    发表于2012-03-15 17:41:10举报|引用
返回顶部 | 快捷回复

CINIII累及腺体

0
回复

水晶蔷薇 离线

帖子:454
粉蓝豆:309
经验:1828
注册时间:2011-11-30
加关注  |  发消息
3 楼    发表于2012-03-15 18:44:01举报|引用
返回顶部 | 快捷回复

同意CINIII累及腺体

0
回复

怒发冲冠 离线

帖子:1152
粉蓝豆:601
经验:2894
注册时间:2008-05-23
加关注  |  发消息
4 楼    发表于2012-03-15 18:57:00举报|引用
返回顶部 | 快捷回复

CIN3累腺

0
回复

祝平 离线

帖子:2130
粉蓝豆:19
经验:3720
注册时间:2012-03-10
加关注  |  发消息
5 楼    发表于2012-03-17 07:54:58举报|引用
返回顶部 | 快捷回复

CIN-II 累及腺体。我看不够原位癌。学习了!

1

xxzh
回复
signature
病理小笨。我爱病理。

lsm0075 离线

帖子:535
粉蓝豆:2591
经验:1947
注册时间:2011-10-16
加关注  |  发消息
6 楼    发表于2012-03-17 08:55:24举报|引用
返回顶部 | 快捷回复

CIN2-3,累腺

 

2

脑积水00

suniuzi
回复
signature
远离外界的浮躁与喧嚣,享受镜下的平和与宁静

伊文洁琳 离线

帖子:137
粉蓝豆:24
经验:267
注册时间:2012-03-03
加关注  |  发消息
7 楼    发表于2012-03-17 09:12:50举报|引用
返回顶部 | 快捷回复

 CINIII累腺。

0
回复

宁静致远 离线

帖子:4242
粉蓝豆:2853
经验:6556
注册时间:2007-03-27
加关注  |  发消息
8 楼    发表于2012-03-17 16:39:32举报|引用
返回顶部 | 快捷回复

CIN3累腺

0
回复

一了 离线

帖子:2138
粉蓝豆:64
经验:2288
注册时间:2009-03-31
加关注  |  发消息
9 楼    发表于2012-03-17 16:51:05举报|引用
返回顶部 | 快捷回复

CIN3累腺

0
回复

夏日 离线

帖子:1057
粉蓝豆:45
经验:1529
注册时间:2011-04-05
加关注  |  发消息
10 楼    发表于2012-03-17 20:08:42举报|引用
返回顶部 | 快捷回复

CIN3累腺

0
回复

yezishi1314de 离线

帖子:99
粉蓝豆:6
经验:108
注册时间:2010-12-29
加关注  |  发消息
11 楼    发表于2012-03-17 20:26:48举报|引用
返回顶部 | 快捷回复

CIN2-3,累腺

0
回复
signature
苍茫无限却绿意葱茸。

manple 离线

帖子:7
粉蓝豆:37
经验:20
注册时间:2012-01-30
加关注  |  发消息
12 楼    发表于2012-03-18 10:56:45举报|引用
返回顶部 | 快捷回复

CINIII 累及腺体

0
回复

xiaogang 离线

帖子:5664
粉蓝豆:48
经验:6068
注册时间:2008-12-18
加关注  |  发消息
13 楼    发表于2012-03-18 11:09:44举报|引用
返回顶部 | 快捷回复

高级别,累腺。

0
回复

manple 离线

帖子:7
粉蓝豆:37
经验:20
注册时间:2012-01-30
加关注  |  发消息
14 楼    发表于2012-03-18 11:12:55举报|引用
返回顶部 | 快捷回复

CINIII累及腺体

0
回复

tianhui77 离线

帖子:731
粉蓝豆:217
经验:1242
注册时间:2009-08-27
加关注  |  发消息
15 楼    发表于2012-04-02 23:04:57举报|引用
返回顶部 | 快捷回复

CIN3累腺

0
回复

葡萄熟了 离线

帖子:197
粉蓝豆:8
经验:240
注册时间:2011-10-27
加关注  |  发消息
16 楼    发表于2012-04-02 23:17:51举报|引用
返回顶部 | 快捷回复

CINⅡ累腺。

0
回复
signature
好好学习、天天向上!

wxsds 离线

帖子:156
粉蓝豆:4
经验:272
注册时间:2009-12-21
加关注  |  发消息
17 楼    发表于2012-04-03 01:53:30举报|引用
返回顶部 | 快捷回复
本帖最后由 wxsds 于 2012-04-03 01:54:29 编辑

CIN II-IIl累腺

0
回复

甜甜 离线

帖子:3184
粉蓝豆:112
经验:3353
注册时间:2012-03-22
加关注  |  发消息
18 楼    发表于2012-04-05 15:01:43举报|引用
返回顶部 | 快捷回复

CIN II-IIl累腺

0
回复
signature
我努力,我坚持就会有美好的成果。
回复:18 阅读:4153
共1页/18条首页上一页1下一页尾页
【免责声明】讨论内容仅作学术交流之用,不作为诊疗依据,由此而引起的法律问题作者及本站不承担任何责任。
快速回复
进入高级回复
您最多可输入10000个汉字,按 "Ctrl" + "Enter" 直接发送
搜索回复/乘电梯 ×
按内容
按会员
乘电梯
合作伙伴
友情链接