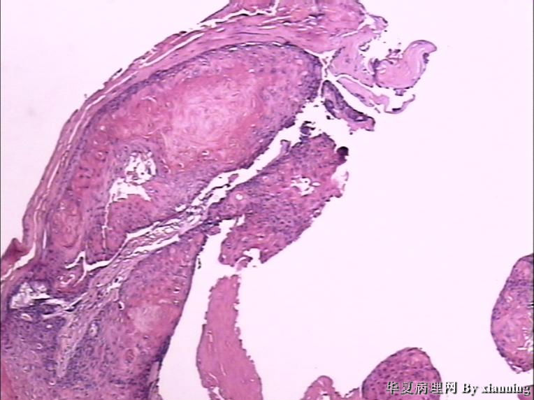
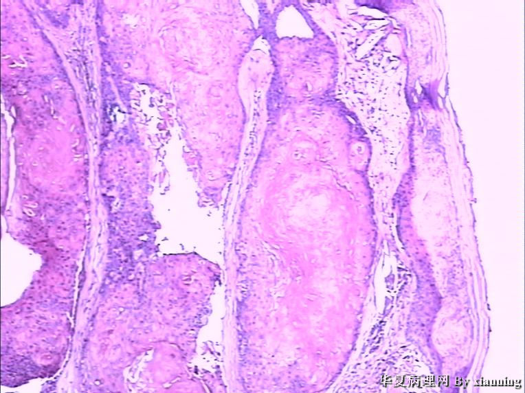
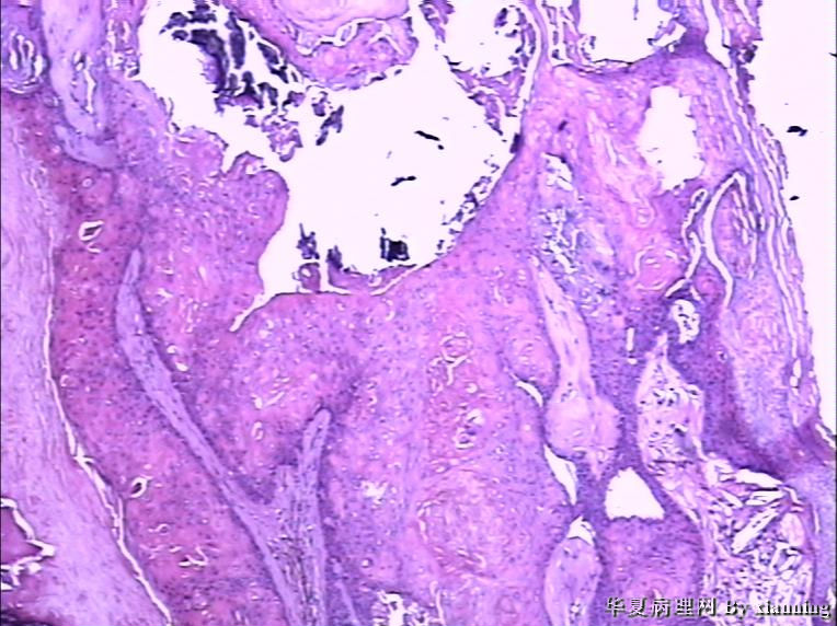
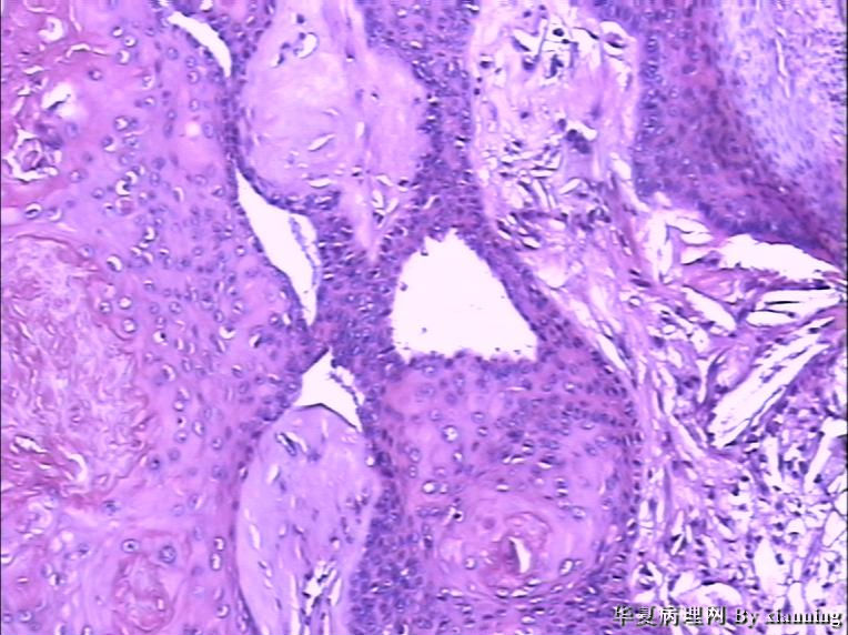
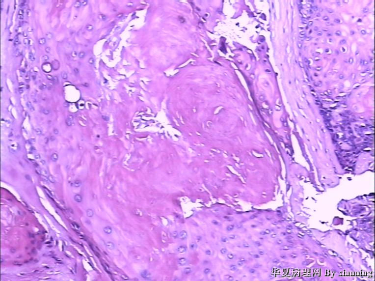
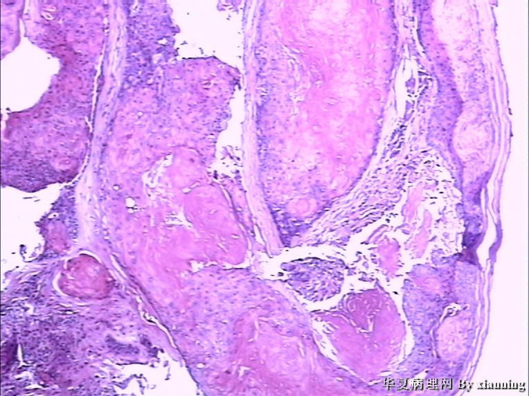
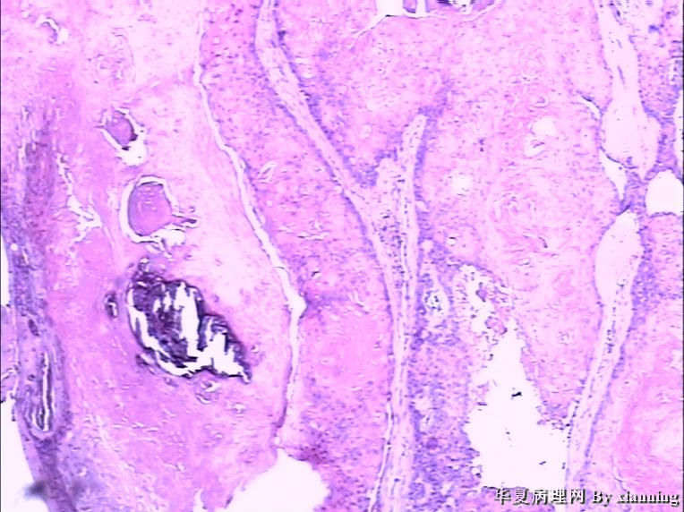
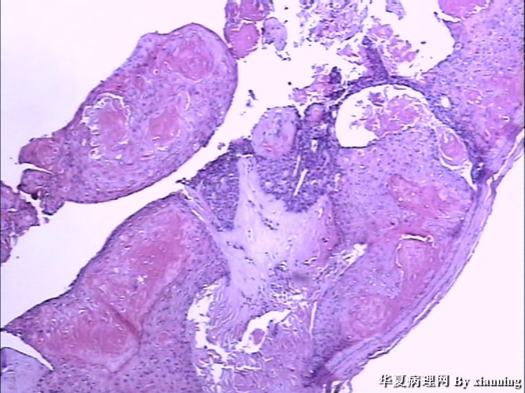
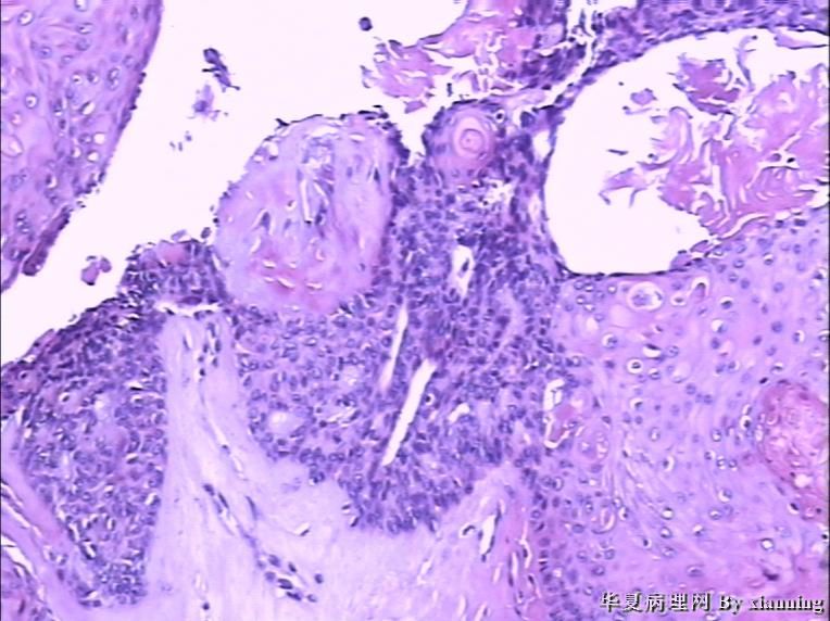
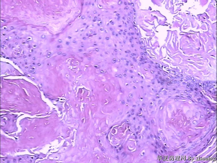
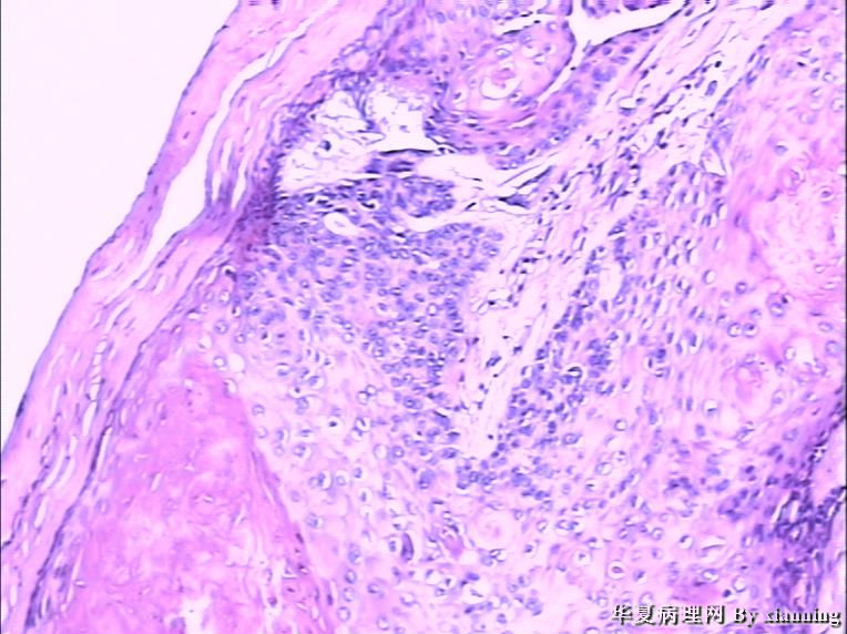
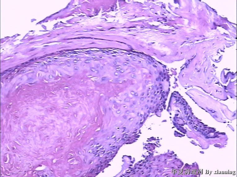
女 50岁 头皮下肿块
巨检:灰白色不规则结节0.9*0.7*0.4cm3,切面灰白色实性质地中等

名称:图1
描述:36580003

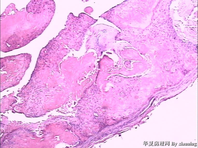
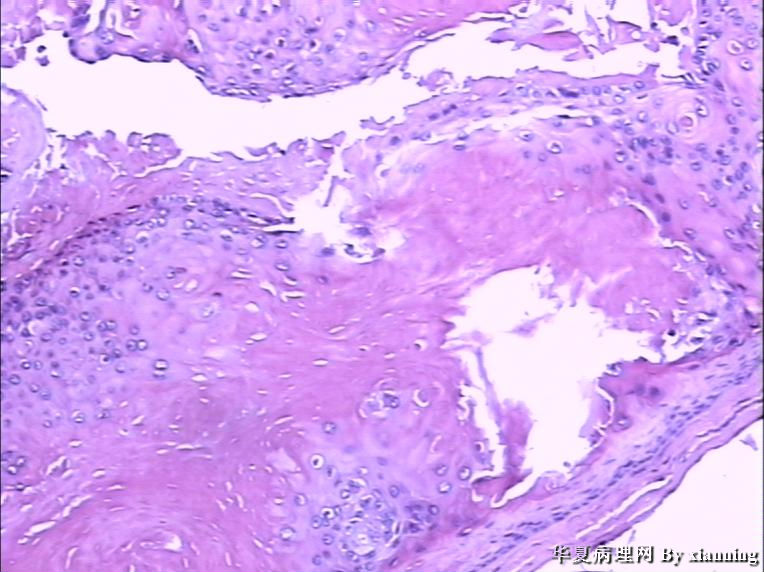
名称:图2
描述:36580004

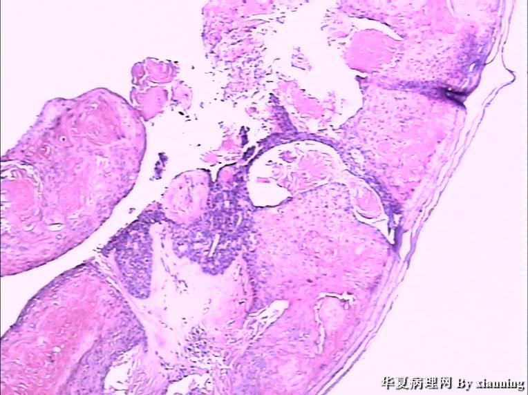
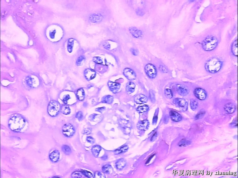
名称:图3
描述:36580005

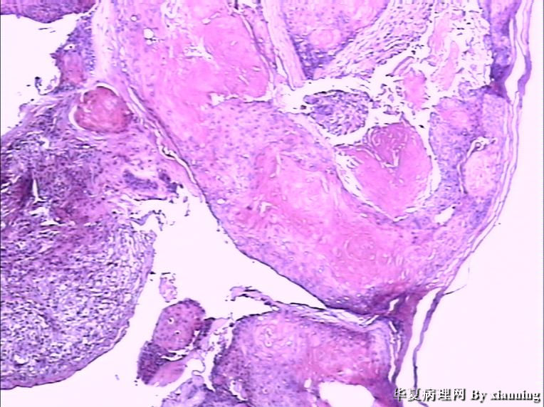
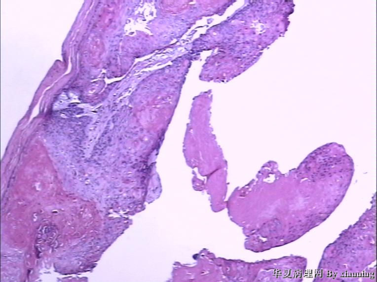
名称:图4
描述:36580006

名称:图5
描述:36580007

名称:图6
描述:36580008

名称:图7
描述:36580009

名称:图8
描述:36580010

名称:图9
描述:36580011

名称:图10
描述:36580012

名称:图11
描述:36580013

名称:图12
描述:36580014

名称:图13
描述:36580015

名称:图14
描述:36580016

名称:图15
描述:36580017

名称:图16
描述:36580018

名称:图17
描述:36580019

名称:图18
描述:36580020