共1页/17条首页上一页1下一页尾页
回复:17 阅读:3820
头皮肿物

泉水叮咚响 离线

帖子:2163
粉蓝豆:113
经验:11663
注册时间:2010-12-30
加关注  |  发消息
楼主 发表于 2012-03-15 11:38|举报|关注(0)
浏览排序[ 顺序 逆序 楼主 支持 精彩 ]  快捷回复

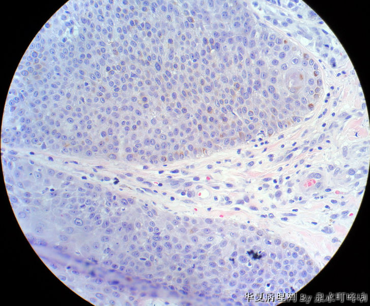
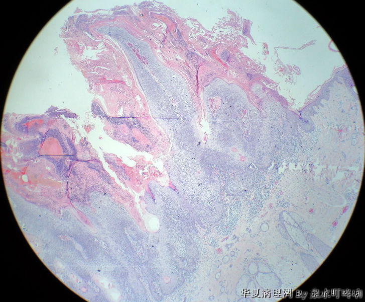
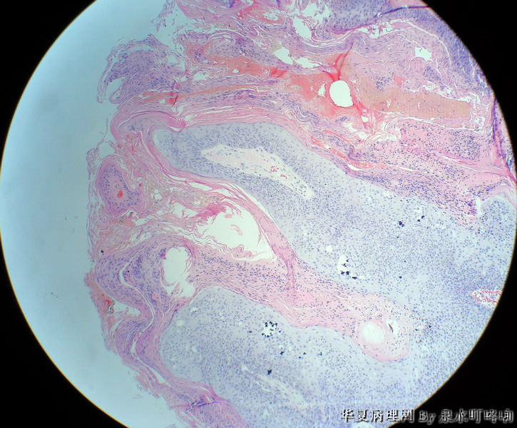
 120316,发现头皮肿物一月余。
大体:灰黑色带皮组织一块,于皮瓣中央可见一直径0.7厘米灰黑色肿物,高出皮表0.4厘米,表面带有毛发,

  • 头皮肿物图1
    图1
  • 头皮肿物图2
    图2
  • 头皮肿物图3
    图3
  • 头皮肿物图4
    图4
  • 头皮肿物图5
    图5
  • 头皮肿物图6
    图6
  • 头皮肿物图7
    图7
  • 头皮肿物图8
    图8
  • 头皮肿物图9
    图9
  • 头皮肿物图10
    图10
  • 头皮肿物图11
    图11
  • 头皮肿物图12
    图12
  • 头皮肿物图13
    图13

切面灰白,质中。

标签:
0
signature
刀不磨会生锈,人不学习会落后。
×参考诊断
角化棘皮瘤

Renghis 离线

帖子:2530
粉蓝豆:92
经验:4081
注册时间:2007-12-13
加关注  |  发消息
1 楼    发表于2012-03-15 11:53:33举报|引用
返回顶部 | 快捷回复

寻常疣

1

yhw
回复
signature
重归学生时代!

wangdingding 离线

帖子:1474
粉蓝豆:98
经验:6042
注册时间:2006-10-19
加关注  |  发消息
2 楼    发表于2012-03-15 15:37:29举报|引用
返回顶部 | 快捷回复

脂溢性角化病

5

hejin

dongguoy..

zhouquan

老三

左右逢源
回复

weiguopfk 离线

帖子:605
粉蓝豆:66
经验:817
注册时间:2008-10-25
加关注  |  发消息
3 楼    发表于2012-03-15 16:56:29举报|引用
返回顶部 | 快捷回复

脂溢性角化病

2

zhouquan

红树林
回复

zhanglei 离线

帖子:3751
粉蓝豆:2077
经验:3901
注册时间:2006-09-26
加关注  |  发消息
4 楼    发表于2012-03-15 17:28:42举报|引用
返回顶部 | 快捷回复

符合寻常疣。

0
回复

茉莉花开 离线

帖子:526
粉蓝豆:12
经验:2772
注册时间:2009-06-21
加关注  |  发消息
5 楼    发表于2012-03-15 17:34:21举报|引用
返回顶部 | 快捷回复

脂溢性角化病

1

zhouquan
回复

xiaocaodi 离线

帖子:855
粉蓝豆:46
经验:1917
注册时间:2006-10-21
加关注  |  发消息
6 楼    发表于2012-03-15 17:36:52举报|引用
返回顶部 | 快捷回复

脂溢性角化病

2

zhouquan

刘斌
回复

zhouquan 离线

帖子:7752
粉蓝豆:302
经验:8263
注册时间:2008-11-09
加关注  |  发消息
7 楼    发表于2012-03-15 17:39:04举报|引用
返回顶部 | 快捷回复

典型的脂溢性角化病,未见病毒感染的空泡细胞,不是寻常疣

0
回复
signature
成功不是得到多少东西,而是把身上多余的东西的扔掉多少。   

一棵小草 离线

帖子:5101
粉蓝豆:12
经验:7184
注册时间:2008-07-07
加关注  |  发消息
8 楼    发表于2012-03-16 20:32:22举报|引用
返回顶部 | 快捷回复
本帖最后由 一棵小草 于 2012-03-16 20:34:10 编辑

比较倾向于寻常疣。

再次感谢楼主的漂亮的图片。采图、拍照都是一流的,值得战友们借鉴!

0
回复

xiaoyan0290 离线

帖子:1179
粉蓝豆:517
经验:2063
注册时间:2008-07-15
加关注  |  发消息
9 楼    发表于2012-03-16 20:38:53举报|引用
返回顶部 | 快捷回复

倾向脂溢性角化病(上皮角平坦)。  未见病毒感染的空泡细胞,也未见明显上皮角辐辏现象不考虑寻常疣

0
回复

tianhui77 离线

帖子:731
粉蓝豆:217
经验:1242
注册时间:2009-08-27
加关注  |  发消息
10 楼    发表于2012-03-16 21:27:56举报|引用
返回顶部 | 快捷回复

脂溢性角化病

0
回复

TK1905 离线

帖子:962
粉蓝豆:283
经验:1054
注册时间:2010-03-14
加关注  |  发消息
11 楼    发表于2012-03-16 21:40:05举报|引用
返回顶部 | 快捷回复

也支持脂溢性角化病,激惹型还是乳头型?

0
回复

杏林散客 离线

帖子:2097
粉蓝豆:87
经验:2406
注册时间:2008-05-18
加关注  |  发消息
12 楼    发表于2012-03-19 01:09:16举报|引用
返回顶部 | 快捷回复

支持脂溢性角化症!

0
回复
signature
皮毛之事,方寸之间,大千世界!

whj0902 在线

帖子:187
粉蓝豆:16
经验:325
注册时间:2011-11-27
加关注  |  发消息
13 楼    发表于2012-03-19 01:22:54举报|引用
返回顶部 | 快捷回复

感觉应该是脂溢性角化

 

0
回复

何生 离线

帖子:1281
粉蓝豆:68
经验:6304
注册时间:2009-04-18
加关注  |  发消息
14 楼    发表于2012-03-19 10:21:29举报|引用
返回顶部 | 快捷回复

脂溢性角化病

0
回复
signature
何生

ziranse 离线

帖子:165
粉蓝豆:31
经验:182
注册时间:2010-12-22
加关注  |  发消息
15 楼    发表于2012-03-24 21:06:04举报|引用
返回顶部 | 快捷回复

脂溢性角化

0
回复

dbz19701110 离线

帖子:384
粉蓝豆:60
经验:817
注册时间:2008-08-23
加关注  |  发消息
16 楼    发表于2012-03-24 21:22:33举报|引用
返回顶部 | 快捷回复

脂溢性角化病

0
回复
signature
邹冬梅

梦飞 离线

帖子:213
粉蓝豆:38
经验:440
注册时间:2011-11-17
加关注  |  发消息
17 楼    发表于2012-03-24 22:06:12举报|引用
返回顶部 | 快捷回复

图像符合脂溢性角化病。

0
回复
signature
医学是我的生命。
回复:17 阅读:3820
共1页/17条首页上一页1下一页尾页
【免责声明】讨论内容仅作学术交流之用,不作为诊疗依据,由此而引起的法律问题作者及本站不承担任何责任。
快速回复
进入高级回复
您最多可输入10000个汉字,按 "Ctrl" + "Enter" 直接发送
搜索回复/乘电梯 ×
按内容
按会员
乘电梯
合作伙伴
友情链接