共1页/19条首页上一页1下一页尾页
回复:19 阅读:3259
子宫内膜

泉水叮咚响 离线

帖子:2163
粉蓝豆:113
经验:11663
注册时间:2010-12-30
加关注  |  发消息
楼主 发表于 2012-03-15 11:28|举报|关注(1)
浏览排序[ 顺序 逆序 楼主 支持 精彩 ]  快捷回复

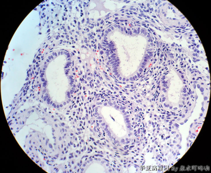
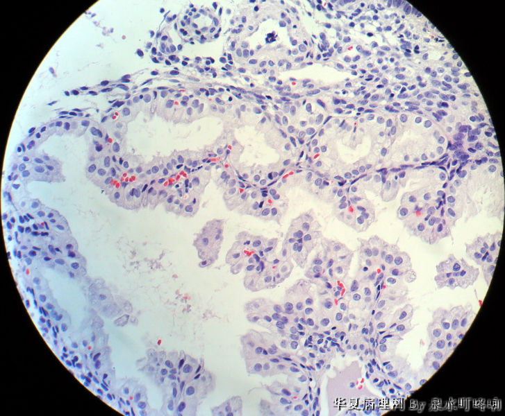
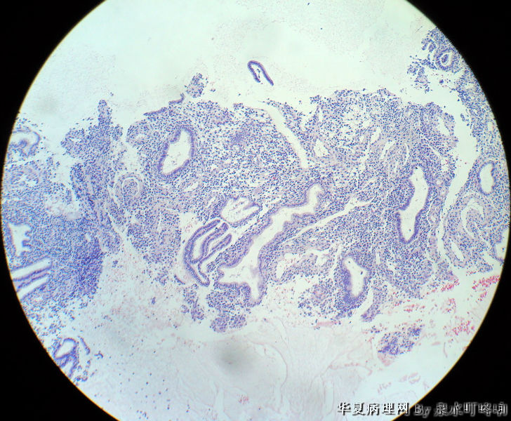
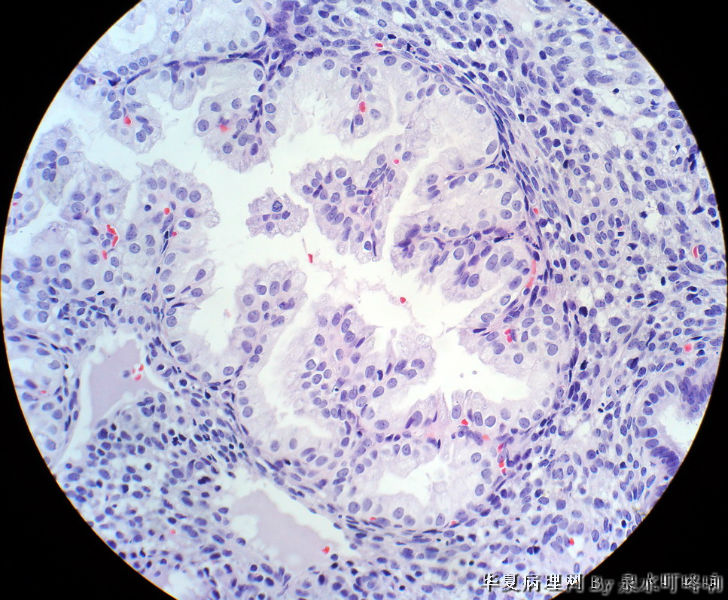
 120329,女,55岁,不规则阴道出血2个月。

子宫内膜图1

名称:图1
描述:1
子宫内膜图2
名称:图2
描述:2
子宫内膜图3
名称:图3
描述:3
子宫内膜图4
名称:图4
描述:4
子宫内膜图5
名称:图5
描述:5
子宫内膜图6
名称:图6
描述:6
标签:
本帖最后由 城北 于 2012-03-25 18:13:24 编辑
0
signature
刀不磨会生锈,人不学习会落后。
×参考诊断
透明细胞化生

Renghis 离线

帖子:2530
粉蓝豆:92
经验:4081
注册时间:2007-12-13
加关注  |  发消息
1 楼    发表于2012-03-15 12:09:01举报|引用
返回顶部 | 快捷回复

分泌期子宫内膜

2

dongguoy..

flj20092..
回复
signature
重归学生时代!

202PL 离线

帖子:850
粉蓝豆:127
经验:1050
注册时间:2010-06-19
加关注  |  发消息
2 楼    发表于2012-03-15 12:15:19举报|引用
返回顶部 | 快捷回复

分泌期子宫内膜

1

脑积水00
回复

hejin 离线

帖子:81
粉蓝豆:3592
经验:270
注册时间:2011-05-18
加关注  |  发消息
3 楼    发表于2012-03-15 16:42:48举报|引用
返回顶部 | 快捷回复

分泌期子宫内膜

0
回复

zhanglei 离线

帖子:3751
粉蓝豆:2077
经验:3901
注册时间:2006-09-26
加关注  |  发消息
4 楼    发表于2012-03-15 17:29:20举报|引用
返回顶部 | 快捷回复

问题不大。

0
回复

茉莉花开 离线

帖子:526
粉蓝豆:12
经验:2772
注册时间:2009-06-21
加关注  |  发消息
5 楼    发表于2012-03-15 17:35:51举报|引用
返回顶部 | 快捷回复

分泌期子宫内膜

0
回复

xiaocaodi 离线

帖子:855
粉蓝豆:46
经验:1917
注册时间:2006-10-21
加关注  |  发消息
6 楼    发表于2012-03-15 17:37:39举报|引用
返回顶部 | 快捷回复

分泌期子宫内膜

0
回复

zhouquan 离线

帖子:7752
粉蓝豆:302
经验:8263
注册时间:2008-11-09
加关注  |  发消息
7 楼    发表于2012-03-15 17:46:11举报|引用
返回顶部 | 快捷回复

绝经期子宫内膜,个别腺体呈分泌反应

3

青儿丫头

200406

苦咖啡85..
回复
signature
成功不是得到多少东西,而是把身上多余的东西的扔掉多少。   

怒发冲冠 离线

帖子:1152
粉蓝豆:601
经验:2894
注册时间:2008-05-23
加关注  |  发消息
8 楼    发表于2012-03-15 18:59:37举报|引用
返回顶部 | 快捷回复

分泌期子宫内膜

0
回复

ahhbhzlin 离线

帖子:3090
粉蓝豆:50
经验:11826
注册时间:2008-07-24
加关注  |  发消息
9 楼    发表于2012-03-15 20:44:58举报|引用
返回顶部 | 快捷回复

分泌期子宫内膜

0
回复

晓明 离线

帖子:1630
粉蓝豆:56
经验:1784
注册时间:2010-02-02
加关注  |  发消息
10 楼    发表于2012-03-15 20:47:22举报|引用
返回顶部 | 快捷回复

有没有吃啥药,像是分泌啊

0
回复
signature
典型中看不典型,不典型中找典型。

lcyxxm 离线

帖子:13332
粉蓝豆:9
经验:14051
注册时间:2006-10-25
加关注  |  发消息
11 楼    发表于2012-03-15 22:24:58举报|引用
返回顶部 | 快捷回复

各位好,55岁的女同志发分泌期子宫内膜可否合适啊,应该绝经了吧

0
回复
signature

病理020 离线

帖子:1344
粉蓝豆:5610
经验:1814
注册时间:2011-10-02
加关注  |  发消息
12 楼    发表于2012-03-15 22:37:10举报|引用
返回顶部 | 快捷回复

没有看到核上或核下空泡,报子宫内膜不规则增生更妥。

1

jingmin2..
回复
signature
邓学田

洋洋洒洒 离线

帖子:1445
粉蓝豆:256
经验:2479
注册时间:2010-12-13
加关注  |  发消息
13 楼    发表于2012-03-15 22:39:23举报|引用
返回顶部 | 快捷回复

复杂性增生待排

0
回复

cyb1433 离线

帖子:666
粉蓝豆:644
经验:1631
注册时间:2009-05-27
加关注  |  发消息
14 楼    发表于2012-03-15 23:14:03举报|引用
返回顶部 | 快捷回复
引用 7 楼 zhouquan 在 2012-03-15 17:46:11 的发言:

绝经期子宫内膜,个别腺体呈分泌反应


0
回复
signature
生活就是生下来、 活下去

lvyinhua 离线

帖子:832
粉蓝豆:35
经验:1180
注册时间:2012-01-09
加关注  |  发消息
15 楼    发表于2012-03-16 08:05:03举报|引用
返回顶部 | 快捷回复

分泌期子宫内膜

0
回复

梦飞 离线

帖子:213
粉蓝豆:38
经验:440
注册时间:2011-11-17
加关注  |  发消息
16 楼    发表于2012-03-24 21:53:03举报|引用
返回顶部 | 快捷回复

这个年龄像是用过药治疗后的,就发个:分泌期子宫内膜,建议治疗后复查。就行了。

0
回复
signature
医学是我的生命。

城北 离线

帖子:2459
粉蓝豆:232
经验:18853
注册时间:2006-09-12
加关注  |  发消息
17 楼    发表于2012-03-25 18:18:36举报|引用
返回顶部 | 快捷回复

部分腺体腺腔呈明显的锯齿状,胞浆浅染,这是增生后有分泌的证据,其他腺体显示无特征的增生反应,55岁的患者,不规则阴道流血,偶发性排卵是可能的,符合功血。

0
回复
signature

知之者不如好之者,好之者不如乐之者。(语出幽梦影)

wangyan1983 离线

帖子:91
粉蓝豆:5
经验:302
注册时间:2012-03-23
加关注  |  发消息
18 楼    发表于2012-03-25 21:11:04举报|引用
返回顶部 | 快捷回复

分泌期子宫内膜

0
回复

tflzq 离线

帖子:236
粉蓝豆:107
经验:310
注册时间:2011-08-31
加关注  |  发消息
19 楼    发表于2012-03-27 16:10:08举报|引用
返回顶部 | 快捷回复

功血 但不是分泌 而是粘液化生

1

苦咖啡85..
回复
回复:19 阅读:3259
共1页/19条首页上一页1下一页尾页
【免责声明】讨论内容仅作学术交流之用,不作为诊疗依据,由此而引起的法律问题作者及本站不承担任何责任。
快速回复
进入高级回复
您最多可输入10000个汉字,按 "Ctrl" + "Enter" 直接发送
搜索回复/乘电梯 ×
按内容
按会员
乘电梯
合作伙伴
友情链接