共1页/10条首页上一页1下一页尾页
回复:10 阅读:4645
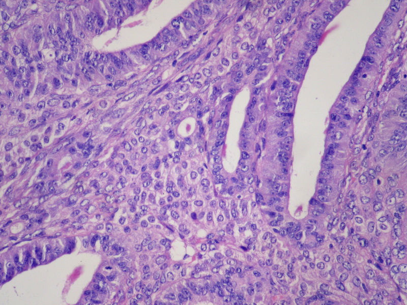
76岁女性,绝经20余年,阴道流血10天。超声示左卵巢肿物。

sumslij 离线

帖子:31
粉蓝豆:1
经验:48
注册时间:2007-06-21
加关注  |  发消息
楼主 发表于 2012-03-14 16:44|举报|关注(3)
浏览排序[ 顺序 逆序 楼主 支持 精彩 ]  快捷回复

 左卵巢肿物大小7*6*6CM,切面囊实性,含血性液体,实性区域灰白色。

请教的问题是:inhibin-a阳性的细胞是什么?这例应诊断什么肿瘤?

76岁女性,绝经20余年,阴道流血10天。超声示左卵巢肿物。图1
名称:图1
描述:IMG_2463
76岁女性,绝经20余年,阴道流血10天。超声示左卵巢肿物。图2
名称:图2
描述:IMG_2464
76岁女性,绝经20余年,阴道流血10天。超声示左卵巢肿物。图3
名称:图3
描述:IMG_2465
76岁女性,绝经20余年,阴道流血10天。超声示左卵巢肿物。图4
名称:图4
描述:IMG_2466
76岁女性,绝经20余年,阴道流血10天。超声示左卵巢肿物。图5
名称:图5
描述:IMG_2467
76岁女性,绝经20余年,阴道流血10天。超声示左卵巢肿物。图6
名称:图6
描述:IMG_2468
76岁女性,绝经20余年,阴道流血10天。超声示左卵巢肿物。图7
名称:图7
描述:IMG_2469
76岁女性,绝经20余年,阴道流血10天。超声示左卵巢肿物。图8
名称:图8
描述:IMG_2470
76岁女性,绝经20余年,阴道流血10天。超声示左卵巢肿物。图9
名称:图9
描述:IMG_2471
76岁女性,绝经20余年,阴道流血10天。超声示左卵巢肿物。图10
名称:图10
描述:IMG_2472
76岁女性,绝经20余年,阴道流血10天。超声示左卵巢肿物。图11
名称:图11
描述:IMG_2473
标签:
0
×参考诊断
卵巢子宫内膜样腺癌

雾蒙蒙 离线

帖子:31654
粉蓝豆:5616
经验:40894
注册时间:2011-06-12
加关注  |  发消息
9 楼    发表于2012-09-01 07:29:20举报|引用
返回顶部 | 快捷回复

还是考虑子宫内膜样腺癌

1

宁静致远
回复
signature

诚信 敬业 博学 奉献

luting 离线

帖子:201
粉蓝豆:57
经验:386
注册时间:2007-06-12
加关注  |  发消息
8 楼    发表于2012-08-31 22:11:41举报|引用
返回顶部 | 快捷回复

 不像Leydig细胞

0
回复

sumslij 离线

帖子:31
粉蓝豆:1
经验:48
注册时间:2007-06-21
加关注  |  发消息
1 楼    发表于2012-03-14 16:44:51举报|引用
返回顶部 | 快捷回复

本例有典型的高分化子宫内膜样腺癌的区域。

0
回复

sumslij 离线

帖子:31
粉蓝豆:1
经验:48
注册时间:2007-06-21
加关注  |  发消息
2 楼    发表于2012-03-14 17:41:07举报|引用
返回顶部 | 快捷回复
本帖最后由 sumslij 于 2012-03-14 20:46:58 编辑

 这些细胞像Leydig细胞吗?

名称:图1
描述:IMG_2474

名称:图2
描述:IMG_2475

名称:图3
描述:IMG_2476
0
回复

晓明 离线

帖子:1630
粉蓝豆:56
经验:1784
注册时间:2010-02-02
加关注  |  发消息
4 楼    发表于2012-03-15 21:33:30举报|引用
返回顶部 | 快捷回复

高分化子宫内膜样腺癌,中间那点可能是高雌激素下卵巢间质反应,也可能是伴性索间质的成分。如果片中只有那些我认为可以忽略不计,如果很多要深究一下。

0
回复
signature
典型中看不典型,不典型中找典型。

lcyxxm 离线

帖子:13332
粉蓝豆:9
经验:14051
注册时间:2006-10-25
加关注  |  发消息
5 楼    发表于2012-03-15 22:14:30举报|引用
返回顶部 | 快捷回复

本例应该较复杂

0
回复
signature

liu_yan_hui 离线

帖子:1
粉蓝豆:105
经验:1
注册时间:2014-09-20
加关注  |  发消息
10 楼    发表于2014-09-20 17:34:57举报|引用
返回顶部 | 快捷回复

 我的考虑和九楼一样

0
回复

sumslij 离线

帖子:31
粉蓝豆:1
经验:48
注册时间:2007-06-21
加关注  |  发消息
7 楼    发表于2012-03-17 12:33:03举报|引用
返回顶部 | 快捷回复
本帖最后由 sumslij 于 2012-03-17 21:08:04 编辑

名称:图1

描述:IMG_2479 大体和典型的子宫内膜样癌区域

 


名称:图1
描述:IMG_2477_缩小大小

名称:图2
描述:2012103329_2_缩小大小
0
回复

sumslij 离线

帖子:31
粉蓝豆:1
经验:48
注册时间:2007-06-21
加关注  |  发消息
3 楼    发表于2012-03-15 18:46:15举报|引用
返回顶部 | 快捷回复

 木有人回复,,郁闷.......

0
回复

祝平 离线

帖子:2130
粉蓝豆:19
经验:3720
注册时间:2012-03-10
加关注  |  发消息
6 楼    发表于2012-03-16 11:24:28举报|引用
返回顶部 | 快捷回复

本例较复杂。定癌风险太大。

0
回复
signature
病理小笨。我爱病理。
回复:10 阅读:4645
共1页/10条首页上一页1下一页尾页
【免责声明】讨论内容仅作学术交流之用,不作为诊疗依据,由此而引起的法律问题作者及本站不承担任何责任。
快速回复
进入高级回复
您最多可输入10000个汉字,按 "Ctrl" + "Enter" 直接发送
搜索回复/乘电梯 ×
按内容
按会员
乘电梯
合作伙伴
友情链接