共1页/3条首页上一页1下一页尾页
回复:3 阅读:2116
求助,外阴包块!

wolflovepig 离线

帖子:675
粉蓝豆:55
经验:9062
注册时间:2007-08-25
加关注  |  发消息
楼主 发表于 2012-03-14 16:21|举报|关注(0)
浏览排序[ 顺序 逆序 楼主 支持 精彩 ]  快捷回复

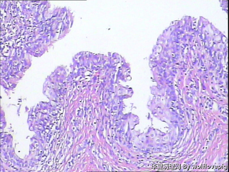
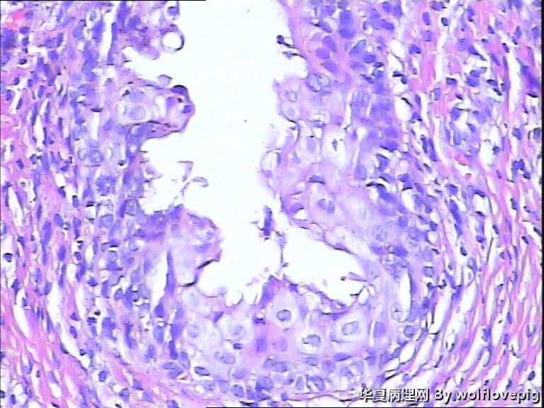
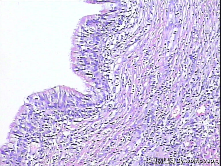
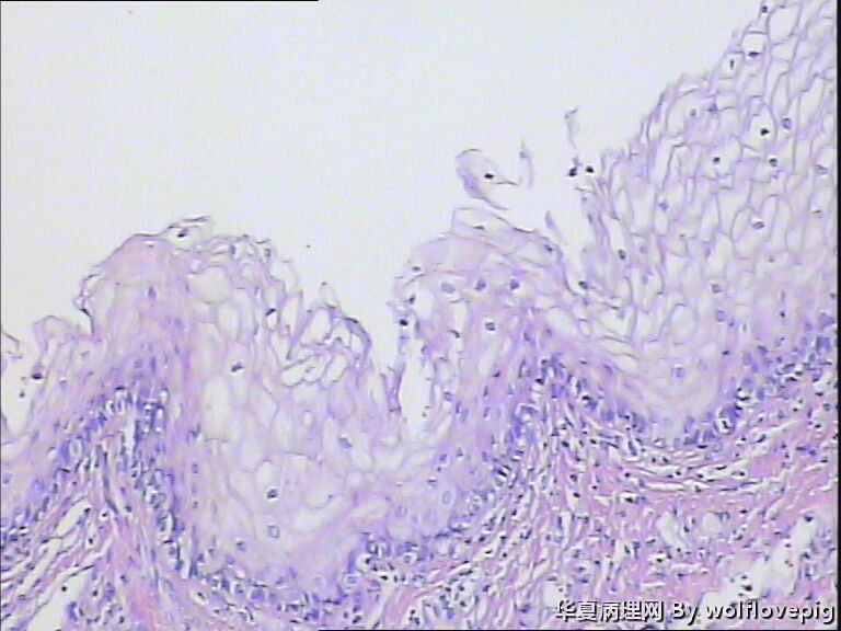
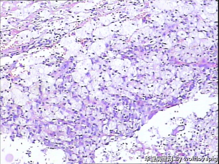
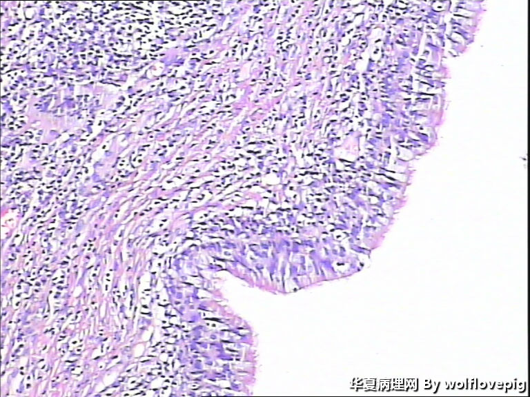
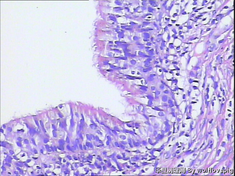
 31y,阴蒂附近囊肿2.0*1.5cm

  • 求助,外阴包块!图1
    图1
  • 求助,外阴包块!图2
    图2
  • 求助,外阴包块!图3
    图3
  • 求助,外阴包块!图4
    图4
  • 求助,外阴包块!图5
    图5
  • 求助,外阴包块!图6
    图6
  • 求助,外阴包块!图7
    图7
标签:
0
添加参考诊断
×参考诊断
  

城北 离线

帖子:2459
粉蓝豆:232
经验:18853
注册时间:2006-09-12
加关注  |  发消息
1 楼    发表于2012-03-14 16:41:33举报|引用
返回顶部 | 快捷回复

外阴最常见的囊肿是前庭大腺囊肿,囊肿一般衬以移行上皮,常伴有非角化性鳞状化生,也有的呈扁平或立方状,囊肿周边附近可以见到黏液腺体。

此例有点特殊,看到一些纤毛柱状上皮被覆,称为纤毛囊肿,属于前庭大腺囊肿的特殊改变。

0
回复
signature

知之者不如好之者,好之者不如乐之者。(语出幽梦影)

wolflovepig 离线

帖子:675
粉蓝豆:55
经验:9062
注册时间:2007-08-25
加关注  |  发消息
2 楼    发表于2012-03-14 16:43:47举报|引用
返回顶部 | 快捷回复

 前庭大腺囊肿位于外阴后半部,而此例位于阴蒂附近。

0
回复

qwe628400 离线

帖子:459
粉蓝豆:57
经验:516
注册时间:2009-11-17
加关注  |  发消息
3 楼    发表于2012-03-14 17:21:49举报|引用
返回顶部 | 快捷回复

泌尿生殖窦起源的外阴囊肿(粘液性和纤毛囊肿)

1,多见于21-30及31-40的多产妇女,病变多位于外阴前庭。

2,组织学上,粘液性囊肿含有与宫颈内膜或阴道腺病一样的粘液性上皮内衬,少数情况下可出现鳞状上皮化生。也有报道有些病例出现纤毛细胞,可以与粘液上皮混合存在。

0
回复
回复:3 阅读:2116
共1页/3条首页上一页1下一页尾页
【免责声明】讨论内容仅作学术交流之用,不作为诊疗依据,由此而引起的法律问题作者及本站不承担任何责任。
快速回复
进入高级回复
您最多可输入10000个汉字,按 "Ctrl" + "Enter" 直接发送
搜索回复/乘电梯 ×
按内容
按会员
乘电梯
合作伙伴
友情链接