共1页/7条首页上一页1下一页尾页
回复:7 阅读:3703
B3991乳腺肿物

小鬼难缠 离线

帖子:393
粉蓝豆:510
经验:2502
注册时间:2009-01-24
加关注  |  发消息
楼主 发表于 2012-03-13 13:04|举报|关注(0)
浏览排序[ 顺序 逆序 楼主 支持 精彩 ]  快捷回复

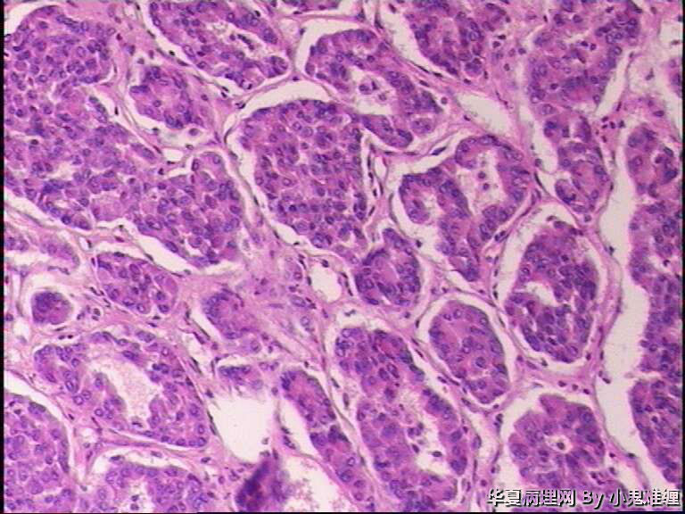
 女64岁,乳腺肿物,可见圆形结节直径2厘米,边界较清楚,暗红色质软

  • 乳腺肿物图1
    图1
  • 乳腺肿物图2
    图2
  • 乳腺肿物图3
    图3
  • 乳腺肿物图4
    图4
  • 乳腺肿物图5
    图5
  • 乳腺肿物图6
    图6
  • 乳腺肿物图7
    图7
  • 乳腺肿物图8
    图8
  • 乳腺肿物图9
    图9
  • 乳腺肿物图10
    图10
 
标签:乳腺浸润性导管癌 原位癌 神经内分泌癌
0
添加参考诊断
×参考诊断
  

zhouquan 离线

帖子:7752
粉蓝豆:302
经验:8263
注册时间:2008-11-09
加关注  |  发消息
1 楼    发表于2012-03-13 17:17:03举报|引用
返回顶部 | 快捷回复

IDC,2级

1

祝平
回复
signature
成功不是得到多少东西,而是把身上多余的东西的扔掉多少。   

刀尖上的舞者 离线

帖子:1763
粉蓝豆:87
经验:3356
注册时间:2010-12-14
加关注  |  发消息
2 楼    发表于2012-03-13 20:47:56举报|引用
返回顶部 | 快捷回复

够原位癌吗?期待结果。

0
回复

someonenothing 离线

帖子:151
粉蓝豆:114
经验:218
注册时间:2009-12-01
加关注  |  发消息
3 楼    发表于2012-03-13 21:07:05举报|引用
返回顶部 | 快捷回复

标一下肌上皮吧

0
回复
signature
I love cells

zhenshijian 离线

帖子:1069
粉蓝豆:91
经验:1364
注册时间:2008-04-20
加关注  |  发消息
4 楼    发表于2012-03-13 21:11:39举报|引用
返回顶部 | 快捷回复
引用 1 楼 zhouquan 在 2012-03-13 17:17:03 的发言:

IDC,2级


0
回复

xhwang 离线

帖子:184
粉蓝豆:12
经验:837
注册时间:2007-04-16
加关注  |  发消息
5 楼    发表于2012-03-14 17:21:37举报|引用
返回顶部 | 快捷回复

浸润性导管癌

0
回复

笃行者 离线

帖子:2689
粉蓝豆:59
经验:3020
注册时间:2006-10-04
加关注  |  发消息
6 楼    发表于2012-03-14 17:31:22举报|引用
返回顶部 | 快捷回复
引用 2 楼 刀尖上的舞者 在 2012-03-13 20:47:56 的发言:

够原位癌吗?期待结果。

这可不是原位癌的图像!

浸润性癌应该能定,类型可能需要鉴别:浸润性导管癌?神经内分泌癌?……

0
回复
signature
博学之,审问之,慎思之,明辨之,笃行之。

祝平 离线

帖子:2130
粉蓝豆:19
经验:3720
注册时间:2012-03-10
加关注  |  发消息
7 楼    发表于2012-03-15 15:34:19举报|引用
返回顶部 | 快捷回复

IDC,2级

0
回复
signature
病理小笨。我爱病理。
回复:7 阅读:3703
共1页/7条首页上一页1下一页尾页
【免责声明】讨论内容仅作学术交流之用,不作为诊疗依据,由此而引起的法律问题作者及本站不承担任何责任。
快速回复
进入高级回复
您最多可输入10000个汉字,按 "Ctrl" + "Enter" 直接发送
搜索回复/乘电梯 ×
按内容
按会员
乘电梯
合作伙伴
友情链接