共1页/6条首页上一页1下一页尾页
回复:6 阅读:2626
胫骨皮下结节

taoqimao 离线

帖子:286
粉蓝豆:397
经验:679
注册时间:2011-08-20
加关注  |  发消息
楼主 发表于 2012-03-12 20:27|举报|关注(0)
浏览排序[ 顺序 逆序 楼主 支持 精彩 ]  快捷回复

 

  • 胫骨皮下结节图1
    图1
  • 胫骨皮下结节图2
    图2
  • 胫骨皮下结节图3
    图3
  • 胫骨皮下结节图4
    图4
  • 胫骨皮下结节图5
    图5
  • 胫骨皮下结节图6
    图6
  • 胫骨皮下结节图7
    图7
  • 胫骨皮下结节图8
    图8
  • 胫骨皮下结节图9
    图9
  • 胫骨皮下结节图10
    图10
  • 胫骨皮下结节图11
    图11
  • 胫骨皮下结节图12
    图12
  • 胫骨皮下结节图13
    图13
  • 胫骨皮下结节图14
    图14
  • 胫骨皮下结节图15
    图15
  • 胫骨皮下结节图16
    图16
 

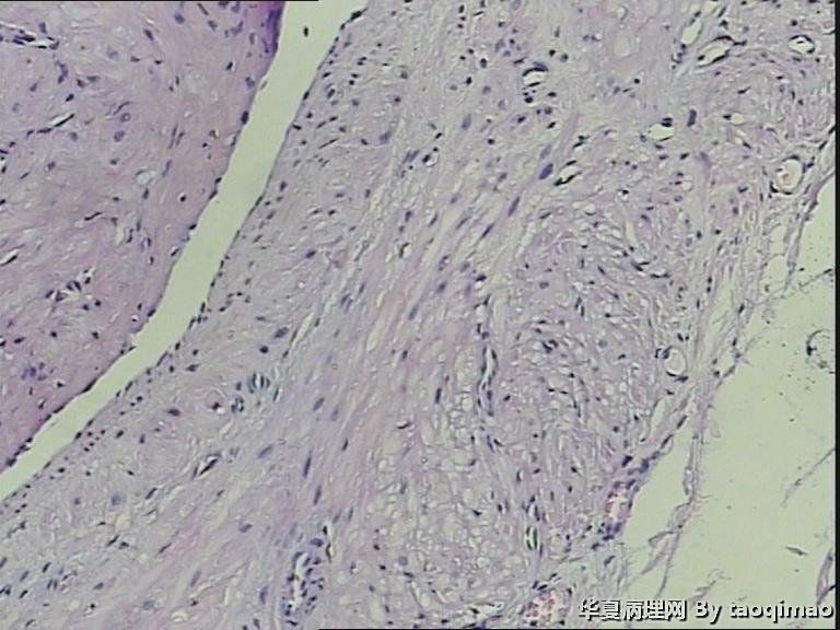
29岁女,发现左胫骨皮下硬结一年

灰白粟粒大组织一块,包膜完整,切面实性,质韧

 

标签:
0
signature
一个人的心态决定她的生活
添加参考诊断
×参考诊断
  

乌之语 离线

帖子:268
粉蓝豆:473
经验:290
注册时间:2011-08-04
加关注  |  发消息
1 楼    发表于2012-03-12 20:45:51举报|引用
返回顶部 | 快捷回复

纤维瘤

 

0
回复

山川 离线

帖子:324
粉蓝豆:18
经验:926
注册时间:2010-12-28
加关注  |  发消息
2 楼    发表于2012-03-12 20:45:52举报|引用
返回顶部 | 快捷回复

平滑肌血管纤维瘤。

0
回复
signature
看图识字

xinyishou 离线

帖子:2
粉蓝豆:146
经验:26
注册时间:2012-03-12
加关注  |  发消息
3 楼    发表于2012-03-12 20:50:40举报|引用
返回顶部 | 快捷回复

血管平滑肌瘤

1

Renghis
回复

Renghis 离线

帖子:2530
粉蓝豆:92
经验:4081
注册时间:2007-12-13
加关注  |  发消息
4 楼    发表于2012-03-12 21:12:28举报|引用
返回顶部 | 快捷回复

血管平滑肌瘤

3

zhouquan

风吹过

wfbjwt
回复
signature
重归学生时代!

ahhbhzlin 离线

帖子:3090
粉蓝豆:50
经验:11826
注册时间:2008-07-24
加关注  |  发消息
5 楼    发表于2012-03-12 21:52:27举报|引用
返回顶部 | 快捷回复

血管平滑肌瘤

0
回复

刀尖上的舞者 离线

帖子:1763
粉蓝豆:87
经验:3356
注册时间:2010-12-14
加关注  |  发消息
6 楼    发表于2012-03-12 21:56:23举报|引用
返回顶部 | 快捷回复
引用 5 楼 ahhbhzlin 在 2012-03-12 21:52:27 的发言:

血管平滑肌瘤


0
回复
回复:6 阅读:2626
共1页/6条首页上一页1下一页尾页
【免责声明】讨论内容仅作学术交流之用,不作为诊疗依据,由此而引起的法律问题作者及本站不承担任何责任。
快速回复
进入高级回复
您最多可输入10000个汉字,按 "Ctrl" + "Enter" 直接发送
搜索回复/乘电梯 ×
按内容
按会员
乘电梯
合作伙伴
友情链接