共1页/3条首页上一页1下一页尾页
回复:3 阅读:2476
半月板的肿物

taoqimao 离线

帖子:286
粉蓝豆:397
经验:679
注册时间:2011-08-20
加关注  |  发消息
楼主 发表于 2012-03-12 20:14|举报|关注(0)
浏览排序[ 顺序 逆序 楼主 支持 精彩 ]  快捷回复

 

  • 半月板的肿物图1
    图1
  • 半月板的肿物图2
    图2
  • 半月板的肿物图3
    图3
  • 半月板的肿物图4
    图4
  • 半月板的肿物图5
    图5
  • 半月板的肿物图6
    图6
  • 半月板的肿物图7
    图7
  • 半月板的肿物图8
    图8
  • 半月板的肿物图9
    图9
  • 半月板的肿物图10
    图10
  • 半月板的肿物图11
    图11
  • 半月板的肿物图12
    图12
  • 半月板的肿物图13
    图13
  • 半月板的肿物图14
    图14
  • 半月板的肿物图15
    图15
  • 半月板的肿物图16
    图16
  • 半月板的肿物图17
    图17
  • 半月板的肿物图18
    图18
 

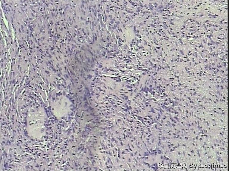
女,43,左膝外侧半月板囊肿,花生米大小,囊性组织,质韧,灰白色表面光滑,包膜完整.

灰白组织12*1.2*0.7cm,包膜完整,剖面灰白质韧.

 

标签:
0
signature
一个人的心态决定她的生活
添加参考诊断
×参考诊断
  

晓明 离线

帖子:1630
粉蓝豆:56
经验:1784
注册时间:2010-02-02
加关注  |  发消息
1 楼    发表于2012-03-12 21:07:33举报|引用
返回顶部 | 快捷回复

未看到明显囊壁,但是感觉里面有些器官样结构,不知道那些无核区是什么,不是痛风之类的吧

0
回复
signature
典型中看不典型,不典型中找典型。

taoqimao 离线

帖子:286
粉蓝豆:397
经验:679
注册时间:2011-08-20
加关注  |  发消息
2 楼    发表于2012-03-12 21:24:13举报|引用
返回顶部 | 快捷回复
引用 1 楼 晓明 在 2012-03-12 21:07:33 的发言:

未看到明显囊壁,但是感觉里面有些器官样结构,不知道那些无核区是什么,不是痛风之类的吧

囊肿是临床报告上写的,我们见到的切面是实性的,呵呵,没写清楚

0
回复
signature
一个人的心态决定她的生活

ahhbhzlin 离线

帖子:3090
粉蓝豆:50
经验:11826
注册时间:2008-07-24
加关注  |  发消息
3 楼    发表于2012-03-12 21:45:37举报|引用
返回顶部 | 快捷回复

神经鞘瘤

0
回复
回复:3 阅读:2476
共1页/3条首页上一页1下一页尾页
【免责声明】讨论内容仅作学术交流之用,不作为诊疗依据,由此而引起的法律问题作者及本站不承担任何责任。
快速回复
进入高级回复
您最多可输入10000个汉字,按 "Ctrl" + "Enter" 直接发送
搜索回复/乘电梯 ×
按内容
按会员
乘电梯
合作伙伴
友情链接