共1页/5条首页上一页1下一页尾页
回复:5 阅读:2406
求助,皮肤包块!

wolflovepig 离线

帖子:675
粉蓝豆:55
经验:9062
注册时间:2007-08-25
加关注  |  发消息
楼主 发表于 2012-03-12 09:08|举报|关注(0)
浏览排序[ 顺序 逆序 楼主 支持 精彩 ]  快捷回复

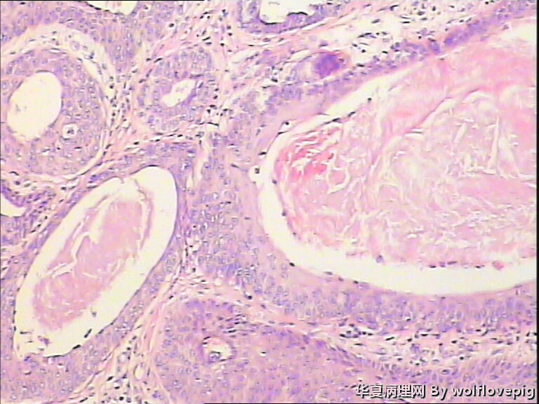
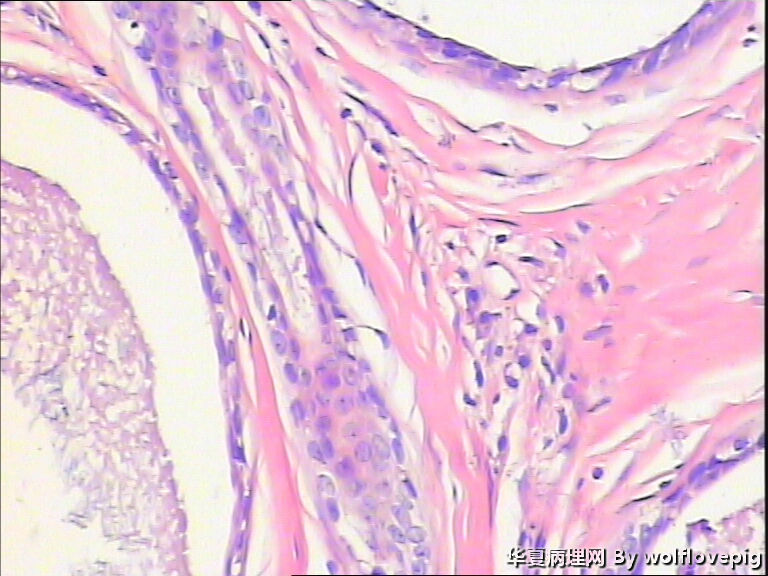
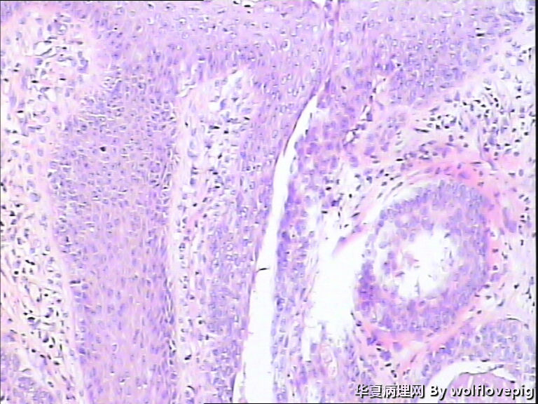
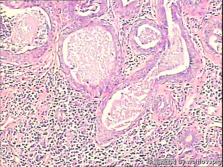
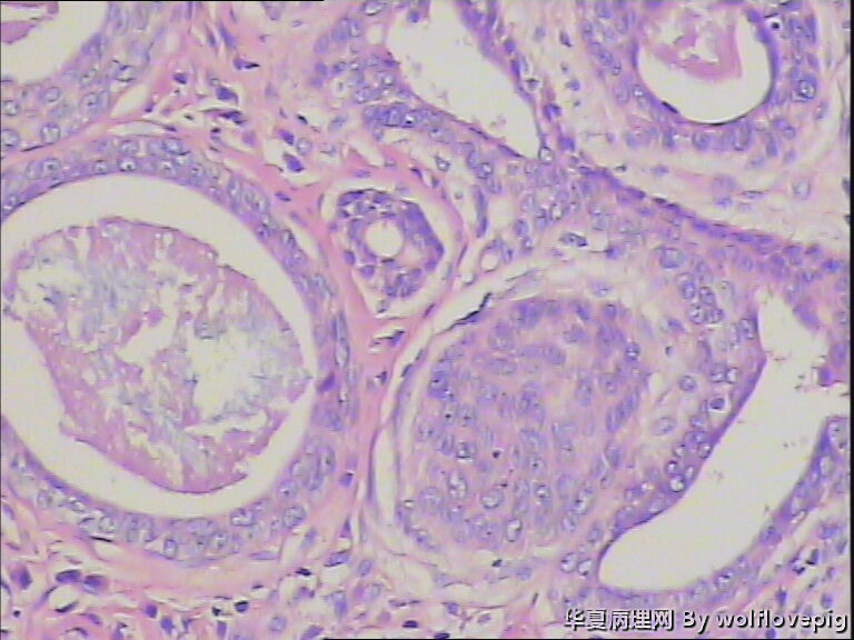
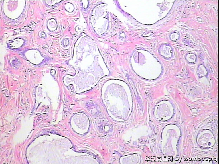
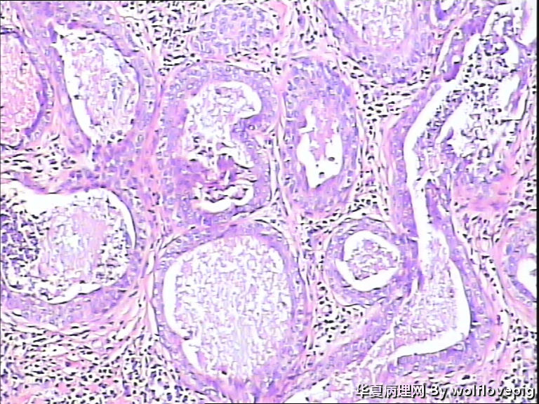
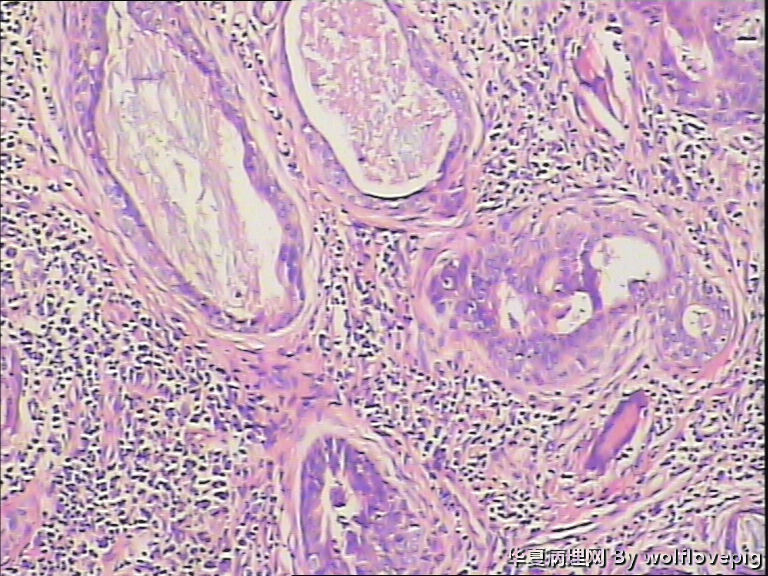
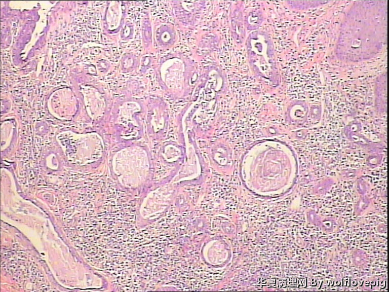
 男,38y,腹部皮肤硬节20年。灰白不整形带皮组织一块:3.0*1.5*1.4cm,皮肤表面可见多个小结节样隆起。

  • 求助,皮肤包块!图1
    图1
  • 求助,皮肤包块!图2
    图2
  • 求助,皮肤包块!图3
    图3
  • 求助,皮肤包块!图4
    图4
  • 求助,皮肤包块!图5
    图5
  • 求助,皮肤包块!图6
    图6
  • 求助,皮肤包块!图7
    图7
  • 求助,皮肤包块!图8
    图8
  • 求助,皮肤包块!图9
    图9
  • 求助,皮肤包块!图10
    图10
  • 求助,皮肤包块!图11
    图11
  • 求助,皮肤包块!图12
    图12
  • 求助,皮肤包块!图13
    图13

标签:
0
添加参考诊断
×参考诊断
  

xuesizeng 离线

帖子:1148
粉蓝豆:87
经验:1173
注册时间:2007-02-03
加关注  |  发消息
4 楼    发表于2012-04-09 15:05:57举报|引用
返回顶部 | 快捷回复

常规病理改变考虑乳头状小汗腺腺瘤可能,需要免疫组化来进一步明确来源。

0
回复

阿娇 离线

帖子:2054
粉蓝豆:3295
经验:2384
注册时间:2008-05-31
加关注  |  发消息
5 楼    发表于2012-04-09 15:24:31举报|引用
返回顶部 | 快捷回复

 考虑毛囊瘤

0
回复

weiguopfk 离线

帖子:605
粉蓝豆:66
经验:817
注册时间:2008-10-25
加关注  |  发消息
1 楼    发表于2012-03-12 10:21:51举报|引用
返回顶部 | 快捷回复
本帖最后由 weiguopfk 于 2012-03-12 10:48:38 编辑

我考虑1.皮肤混合瘤

2.乳头状小汗腺腺瘤

3.汗管瘤

感觉都不是特别符合,请大家发表高见!

0
回复

brz0001 离线

帖子:3035
粉蓝豆:97
经验:3058
注册时间:2008-05-05
加关注  |  发消息
2 楼    发表于2012-03-12 12:05:17举报|引用
返回顶部 | 快捷回复

考虑乳头状小汗腺腺瘤

0
回复

一棵小草 离线

帖子:5101
粉蓝豆:12
经验:7184
注册时间:2008-07-07
加关注  |  发消息
3 楼    发表于2012-03-12 21:55:15举报|引用
返回顶部 | 快捷回复

支持乳头状小汗腺腺瘤。

0
回复
回复:5 阅读:2406
共1页/5条首页上一页1下一页尾页
【免责声明】讨论内容仅作学术交流之用,不作为诊疗依据,由此而引起的法律问题作者及本站不承担任何责任。
快速回复
进入高级回复
您最多可输入10000个汉字,按 "Ctrl" + "Enter" 直接发送
搜索回复/乘电梯 ×
按内容
按会员
乘电梯
合作伙伴
友情链接