共1页/6条首页上一页1下一页尾页
回复:6 阅读:2536
宫颈活检 其中一点较迷糊

dyt2402 离线

帖子:195
粉蓝豆:13
经验:230
注册时间:2012-02-23
加关注  |  发消息
楼主 发表于 2012-03-10 00:35|举报|关注(0)
浏览排序[ 顺序 逆序 楼主 支持 精彩 ]  快捷回复

 

  • 宫颈活检 其中一点较迷糊图1
    图1
  • 宫颈活检 其中一点较迷糊图2
    图2
  • 宫颈活检 其中一点较迷糊图3
    图3
  • 宫颈活检 其中一点较迷糊图4
    图4
  • 宫颈活检 其中一点较迷糊图5
    图5
  • 宫颈活检 其中一点较迷糊图6
    图6
  • 宫颈活检 其中一点较迷糊图7
    图7
  • 宫颈活检 其中一点较迷糊图8
    图8
  • 宫颈活检 其中一点较迷糊图9
    图9
  • 宫颈活检 其中一点较迷糊图10
    图10
  • 宫颈活检 其中一点较迷糊图11
    图11
  • 宫颈活检 其中一点较迷糊图12
    图12
  • 宫颈活检 其中一点较迷糊图13
    图13
  • 宫颈活检 其中一点较迷糊图14
    图14
  • 宫颈活检 其中一点较迷糊图15
    图15
  • 宫颈活检 其中一点较迷糊图16
    图16
  • 宫颈活检 其中一点较迷糊图17
    图17
  • 宫颈活检 其中一点较迷糊图18
    图18
标签:
0
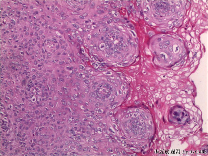
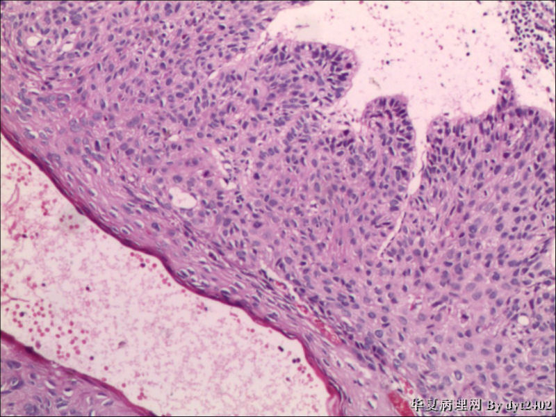
×参考诊断
四点中三点是CIN iii,另一点怀疑有更重病变

dongguoyou 离线

帖子:253
粉蓝豆:9
经验:4133
注册时间:2007-11-04
加关注  |  发消息
1 楼    发表于2012-03-10 07:24:17举报|引用
返回顶部 | 快捷回复

CIN2-3级

0
回复

lsm0075 离线

帖子:535
粉蓝豆:2591
经验:1947
注册时间:2011-10-16
加关注  |  发消息
2 楼    发表于2012-03-10 09:14:08举报|引用
返回顶部 | 快捷回复

鳞癌

0
回复
signature
远离外界的浮躁与喧嚣,享受镜下的平和与宁静

二土匪 离线

帖子:771
粉蓝豆:23
经验:1213
注册时间:2011-10-11
加关注  |  发消息
3 楼    发表于2012-03-10 09:18:39举报|引用
返回顶部 | 快捷回复

哪一点迷糊?

0
回复
signature
红尘中有独处的心,独处时有红尘的怀抱。

quyibl 离线

帖子:361
粉蓝豆:9
经验:1876
注册时间:2006-10-23
加关注  |  发消息
4 楼    发表于2012-03-10 09:27:13举报|引用
返回顶部 | 快捷回复

有些地方怀疑够癌了,不知临床上看到的宫颈是什么样的?

0
回复
signature
我思故我在! know something about everything,know everything about something.

dyt2402 离线

帖子:195
粉蓝豆:13
经验:230
注册时间:2012-02-23
加关注  |  发消息
5 楼    发表于2012-03-10 16:15:41举报|引用
返回顶部 | 快捷回复
本帖最后由 dyt2402 于 2012-03-10 16:17:52 编辑
引用 4 楼 quyibl 在 2012-03-10 09:27:13 的发言:

有些地方怀疑够癌了,不知临床上看到的宫颈是什么样的?

这个病人是44岁,去年11月底阴道脱落细胞、TCT均见细胞异常,建议活检,病人犹豫,接着单位组织到外院体检时做阴道镜正常,后霉菌感染,此时宫颈未涂醋肉眼看还光滑,直至今年3月来做活检,事前做白带检查又见异常细胞,宫颈未涂醋见后上唇白上皮,涂醋酸后上下唇都有厚白上皮,镶嵌,夹活时上皮剥脱,未能夹到间质,阴道镜医生说至少有CIN III 到原位癌了。。镜下其中3点CIN III无疑,唯有9点处如6、7、11、14等所示结构,但我未见间质浸润,不能说是浸润癌,不知道有没基底细胞样鳞癌的可能,我发了个原位癌不除外深部有更重病变,。

0
回复

dyt2402 离线

帖子:195
粉蓝豆:13
经验:230
注册时间:2012-02-23
加关注  |  发消息
6 楼    发表于2012-03-10 16:40:49举报|引用
返回顶部 | 快捷回复
引用 3 楼 二土匪 在 2012-03-10 09:18:39 的发言:

哪一点迷糊?

就是说图片中的,大部分是9点的组织,有没到癌的问题

0
回复
回复:6 阅读:2536
共1页/6条首页上一页1下一页尾页
【免责声明】讨论内容仅作学术交流之用,不作为诊疗依据,由此而引起的法律问题作者及本站不承担任何责任。
快速回复
进入高级回复
您最多可输入10000个汉字,按 "Ctrl" + "Enter" 直接发送
搜索回复/乘电梯 ×
按内容
按会员
乘电梯
合作伙伴
友情链接