共1页/6条首页上一页1下一页尾页
回复:6 阅读:3361
肺穿刺 这黄色的物质是什么?

et666 离线

帖子:386
粉蓝豆:18
经验:658
注册时间:2008-03-11
加关注  |  发消息
楼主 发表于 2012-03-07 20:32|举报|关注(0)
浏览排序[ 顺序 逆序 楼主 支持 精彩 ]  快捷回复

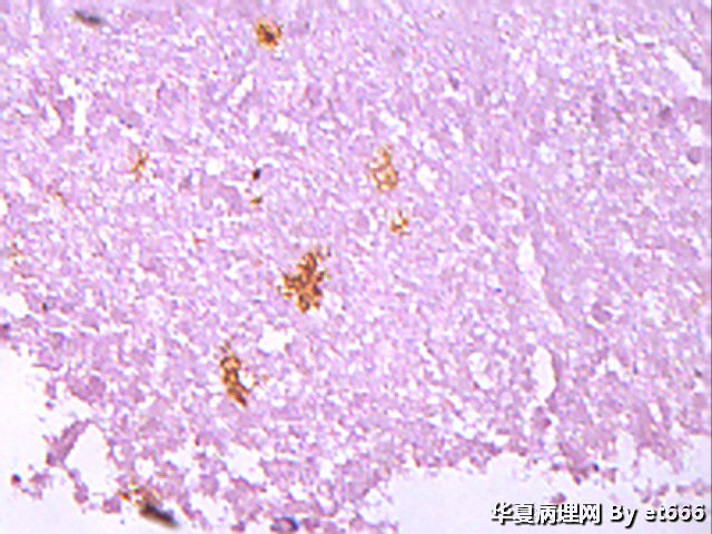
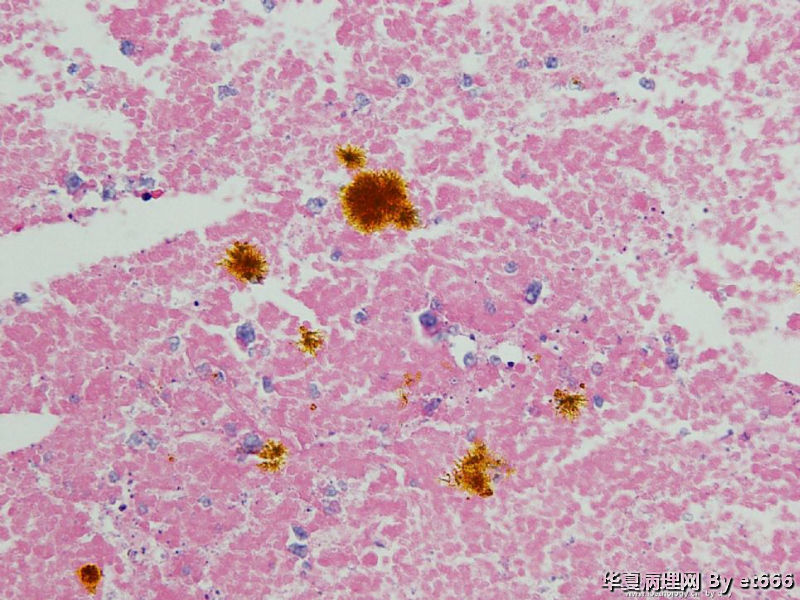
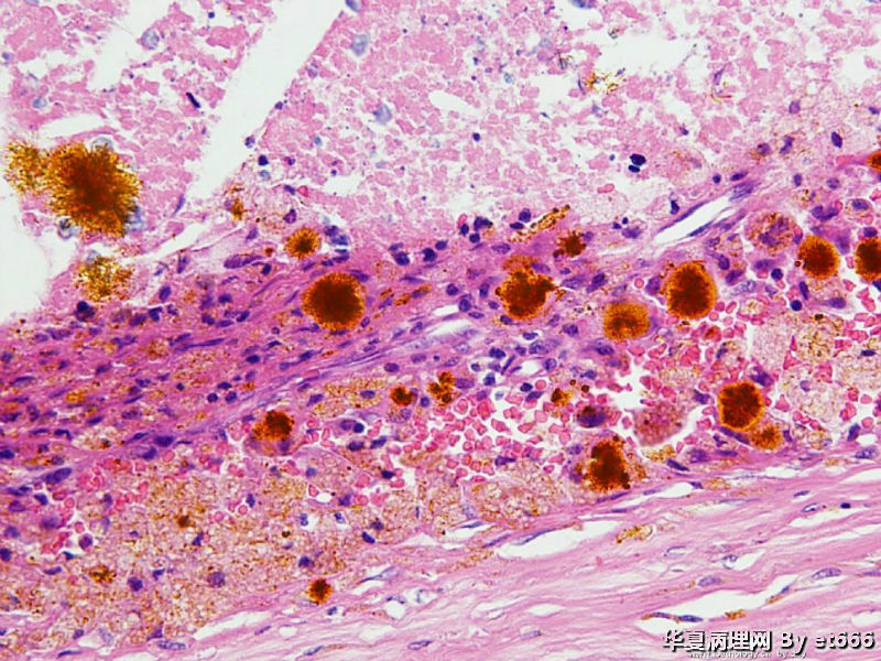
 肺穿刺活检:患者 女  22岁  痰查结核杆菌阳性,抗结核治疗2年 ,效果不明显。 肺穿刺组织3条,其中1条内有如图物质,这黄色的物质是什么?

  • 肺穿刺  这黄色的物质是什么?图1
    图1
  • 肺穿刺  这黄色的物质是什么?图2
    图2
  • 肺穿刺  这黄色的物质是什么?图3
    图3
  • 肺穿刺  这黄色的物质是什么?图4
    图4
  • 肺穿刺  这黄色的物质是什么?图5
    图5
  • 肺穿刺  这黄色的物质是什么?图6
    图6
  • 肺穿刺  这黄色的物质是什么?图7
    图7
  • 肺穿刺  这黄色的物质是什么?图8
    图8
 
标签:肺穿刺
1
signature
王秀娥
添加参考诊断
×参考诊断
  

乌之语 离线

帖子:268
粉蓝豆:473
经验:290
注册时间:2011-08-04
加关注  |  发消息
1 楼    发表于2012-03-07 21:16:01举报|引用
返回顶部 | 快捷回复

还真不知道呢,希望高手指点

0
回复

et666 离线

帖子:386
粉蓝豆:18
经验:658
注册时间:2008-03-11
加关注  |  发消息
2 楼    发表于2012-03-17 21:14:52举报|引用
返回顶部 | 快捷回复
本帖最后由 et666 于 2012-03-17 21:16:12 编辑

 请大家看看和这些图片相似吗?    这是在论坛里找到的放线菌  。

  • 图1
  • 图2
  • 图3
  • 图4
  • 图5
 
0
回复
signature
王秀娥

学习bingli 离线

帖子:194
粉蓝豆:1
经验:276
注册时间:2011-04-04
加关注  |  发消息
3 楼    发表于2012-03-17 22:15:14举报|引用
返回顶部 | 快捷回复

  菌落

0
回复

信心之跃 离线

帖子:2
粉蓝豆:21
经验:14
注册时间:2012-03-09
加关注  |  发消息
4 楼    发表于2012-03-17 22:20:06举报|引用
返回顶部 | 快捷回复

学习学习

0
回复
signature
加油学病理

202PL 离线

帖子:850
粉蓝豆:127
经验:1050
注册时间:2010-06-19
加关注  |  发消息
5 楼    发表于2012-03-17 22:26:06举报|引用
返回顶部 | 快捷回复

考虑放线菌感染

0
回复

lkq 离线

帖子:302
粉蓝豆:1
经验:355
注册时间:2012-07-23
加关注  |  发消息
6 楼    发表于2013-06-30 18:50:10举报|引用
返回顶部 | 快捷回复

污染,放线菌不是这种颜色,且本例和周围组织无联系。

1

yongjian..
回复
回复:6 阅读:3361
共1页/6条首页上一页1下一页尾页
【免责声明】讨论内容仅作学术交流之用,不作为诊疗依据,由此而引起的法律问题作者及本站不承担任何责任。
快速回复
进入高级回复
您最多可输入10000个汉字,按 "Ctrl" + "Enter" 直接发送
搜索回复/乘电梯 ×
按内容
按会员
乘电梯
合作伙伴
友情链接