共1页/6条首页上一页1下一页尾页
回复:6 阅读:3324
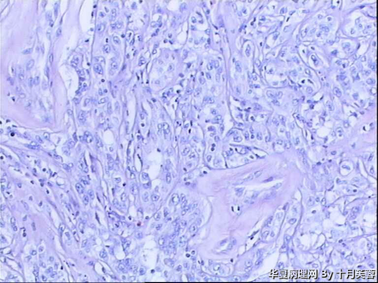
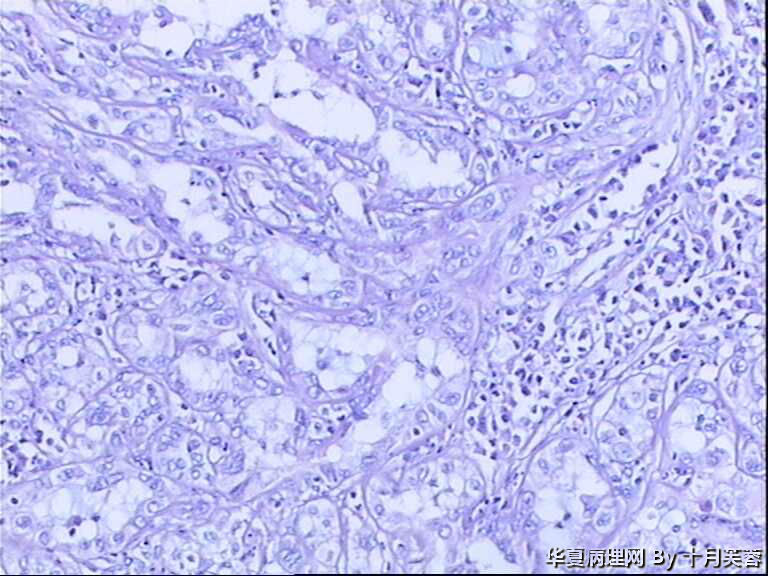
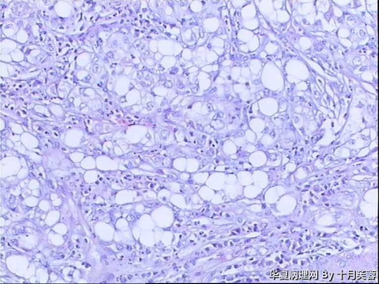
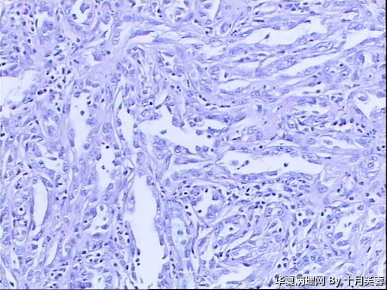
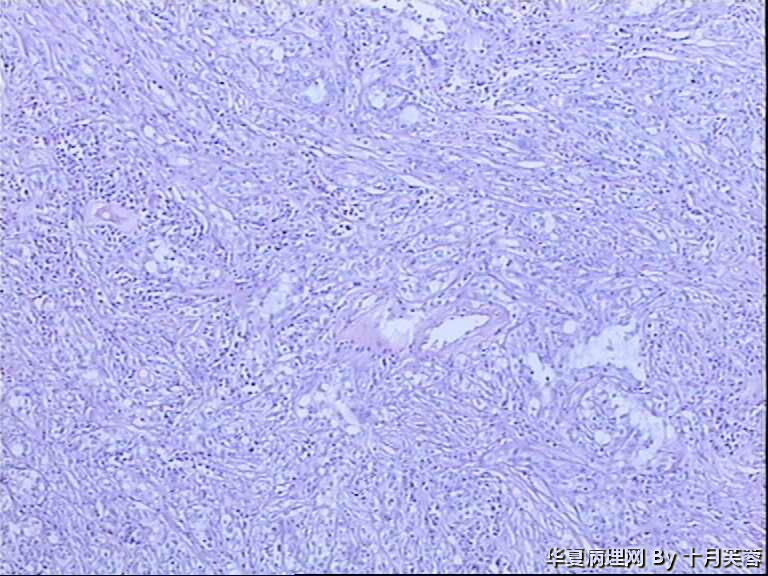
肾脏肿瘤

十月芙蓉 离线

帖子:103
粉蓝豆:39
经验:150
注册时间:2010-02-17
加关注  |  发消息
楼主 发表于 2012-03-05 18:01|举报|关注(1)
浏览排序[ 顺序 逆序 楼主 支持 精彩 ]  快捷回复
  • 肾脏肿瘤图1
    图1
  • 肾脏肿瘤图2
    图2
  • 肾脏肿瘤图3
    图3
  • 肾脏肿瘤图4
    图4
  • 肾脏肿瘤图5
    图5
  • 肾脏肿瘤图6
    图6
  • 肾脏肿瘤图7
    图7
  • 肾脏肿瘤图8
    图8
  • 肾脏肿瘤图9
    图9
  • 肾脏肿瘤图10
    图10
  • 肾脏肿瘤图11
    图11
  • 肾脏肿瘤图12
    图1
  • 肾脏肿瘤图13
    图2
  • 肾脏肿瘤图14
    图3
  • 肾脏肿瘤图15
    图4
  • 肾脏肿瘤图16
    图5
  • 肾脏肿瘤图17
    图6
  • 肾脏肿瘤图18
    图7
  • 肾脏肿瘤图19
    图8
  • 肾脏肿瘤图20
    图9
  • 肾脏肿瘤图21
    图10
  • 肾脏肿瘤图22
    图11

 

标签:
0
添加参考诊断
×参考诊断
  

山川 离线

帖子:324
粉蓝豆:18
经验:926
注册时间:2010-12-28
加关注  |  发消息
1 楼    发表于2012-03-05 19:09:41举报|引用
返回顶部 | 快捷回复

临床及大体?

0
回复
signature
看图识字

十月芙蓉 离线

帖子:103
粉蓝豆:39
经验:150
注册时间:2010-02-17
加关注  |  发消息
2 楼    发表于2012-03-06 09:15:50举报|引用
返回顶部 | 快捷回复

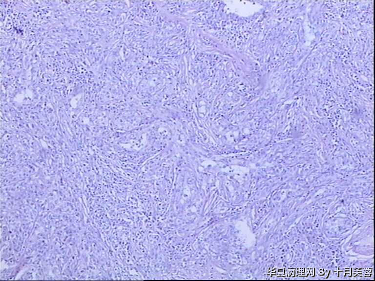
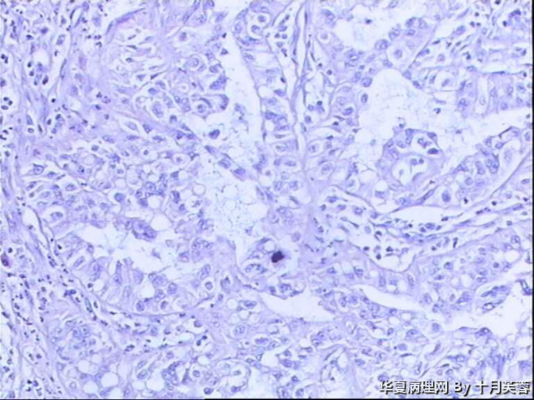
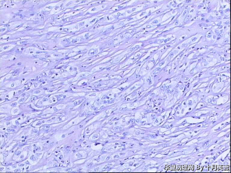
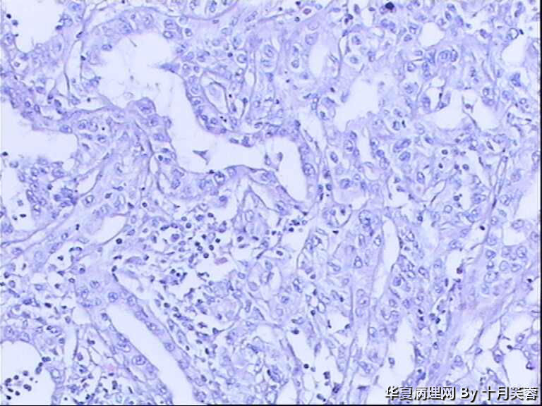
 患者,女性,70岁,左肾实质内可见一肿物,大小4.3x3.5x3.5cm,切面灰白色,实性,质中。图10、11为淋巴结内转移病灶。

0
回复

flj20092049 离线

帖子:212
粉蓝豆:9
经验:470
注册时间:2011-11-23
加关注  |  发消息
3 楼    发表于2012-03-06 10:49:43举报|引用
返回顶部 | 快捷回复

倾向良性,但要排除癌后考虑血管脂肪源性肿瘤!

0
回复
signature

TK1905 离线

帖子:962
粉蓝豆:283
经验:1054
注册时间:2010-03-14
加关注  |  发消息
4 楼    发表于2012-03-06 12:23:43举报|引用
返回顶部 | 快捷回复

集合管癌

0
回复

gyy_613 离线

帖子:321
粉蓝豆:1
经验:484
注册时间:2010-09-01
加关注  |  发消息
5 楼    发表于2012-03-06 22:43:21举报|引用
返回顶部 | 快捷回复

集合管癌

0
回复

echohanxiao 离线

帖子:367
粉蓝豆:1
经验:386
注册时间:2010-01-09
加关注  |  发消息
6 楼    发表于2012-03-13 21:00:03举报|引用
返回顶部 | 快捷回复

集合管癌。

0
回复
回复:6 阅读:3324
共1页/6条首页上一页1下一页尾页
【免责声明】讨论内容仅作学术交流之用,不作为诊疗依据,由此而引起的法律问题作者及本站不承担任何责任。
快速回复
进入高级回复
您最多可输入10000个汉字,按 "Ctrl" + "Enter" 直接发送
搜索回复/乘电梯 ×
按内容
按会员
乘电梯
合作伙伴
友情链接