共1页/7条首页上一页1下一页尾页
回复:7 阅读:3030
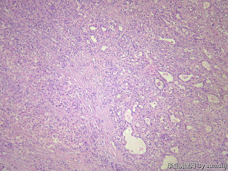
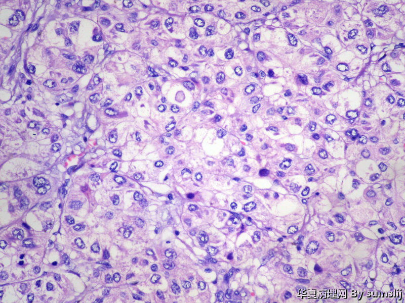
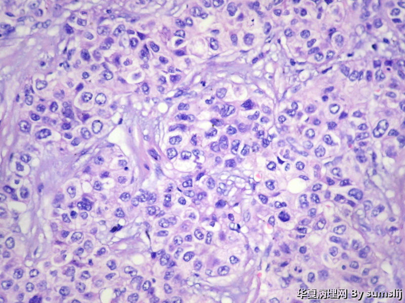
这是肝的混合性癌吗?

sumslij 离线

帖子:31
粉蓝豆:1
经验:48
注册时间:2007-06-21
加关注  |  发消息
楼主 发表于 2012-03-05 18:00|举报|关注(0)
浏览排序[ 顺序 逆序 楼主 支持 精彩 ]  快捷回复

 如题,谢谢。

这是肝的混合性癌吗?图1
名称:图1
描述:IMG_2431
这是肝的混合性癌吗?图2
名称:图2
描述:IMG_2432
这是肝的混合性癌吗?图3
名称:图3
描述:IMG_2433
这是肝的混合性癌吗?图4
名称:图4
描述:IMG_2434
这是肝的混合性癌吗?图5
名称:图5
描述:IMG_2435
这是肝的混合性癌吗?图6
名称:图6
描述:IMG_2436
这是肝的混合性癌吗?图7
名称:图1
描述:IMG_2431
这是肝的混合性癌吗?图8
名称:图2
描述:IMG_2432
这是肝的混合性癌吗?图9
名称:图3
描述:IMG_2433
这是肝的混合性癌吗?图10
名称:图4
描述:IMG_2434
这是肝的混合性癌吗?图11
名称:图5
描述:IMG_2435
这是肝的混合性癌吗?图12
名称:图6
描述:IMG_2436

标签:
0
添加参考诊断
×参考诊断
  

zhouquan 离线

帖子:7752
粉蓝豆:302
经验:8263
注册时间:2008-11-09
加关注  |  发消息
1 楼    发表于2012-03-05 19:39:34举报|引用
返回顶部 | 快捷回复

低分化肝细胞肝癌

0
回复
signature
成功不是得到多少东西,而是把身上多余的东西的扔掉多少。   

ahhbhzlin 离线

帖子:3090
粉蓝豆:50
经验:11826
注册时间:2008-07-24
加关注  |  发消息
2 楼    发表于2012-03-05 20:01:37举报|引用
返回顶部 | 快捷回复

肝细胞肝癌

0
回复

刀尖上的舞者 离线

帖子:1763
粉蓝豆:87
经验:3356
注册时间:2010-12-14
加关注  |  发消息
3 楼    发表于2012-03-07 07:58:36举报|引用
返回顶部 | 快捷回复
引用 2 楼 ahhbhzlin 在 2012-03-05 20:01:37 的发言:

肝细胞肝癌


0
回复

hys_603 离线

帖子:716
粉蓝豆:1
经验:988
注册时间:2008-06-18
加关注  |  发消息
4 楼    发表于2012-03-07 08:05:36举报|引用
返回顶部 | 快捷回复

肝细胞肝癌

0
回复

liziqiang88 离线

帖子:957
粉蓝豆:262
经验:3935
注册时间:2007-03-15
加关注  |  发消息
5 楼    发表于2012-03-07 08:34:11举报|引用
返回顶部 | 快捷回复

肝细胞肝癌

0
回复
signature
李自强

lily-yang 离线

帖子:238
粉蓝豆:19
经验:1253
注册时间:2011-05-16
加关注  |  发消息
6 楼    发表于2012-03-09 13:50:56举报|引用
返回顶部 | 快捷回复

 肝细胞癌 

0
回复

annisun 离线

帖子:44
粉蓝豆:3
经验:53
注册时间:2011-12-31
加关注  |  发消息
7 楼    发表于2012-03-09 19:55:00举报|引用
返回顶部 | 快捷回复

肝细胞肝癌

 

 

0
回复
回复:7 阅读:3030
共1页/7条首页上一页1下一页尾页
【免责声明】讨论内容仅作学术交流之用,不作为诊疗依据,由此而引起的法律问题作者及本站不承担任何责任。
快速回复
进入高级回复
您最多可输入10000个汉字,按 "Ctrl" + "Enter" 直接发送
搜索回复/乘电梯 ×
按内容
按会员
乘电梯
合作伙伴
友情链接