共1页/11条首页上一页1下一页尾页
回复:11 阅读:3057
求助,子宫内膜!

wolflovepig 离线

帖子:675
粉蓝豆:55
经验:9062
注册时间:2007-08-25
加关注  |  发消息
楼主 发表于 2012-03-05 11:39|举报|关注(0)
浏览排序[ 顺序 逆序 楼主 支持 精彩 ]  快捷回复

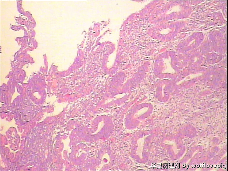
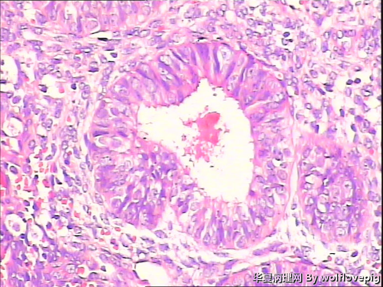
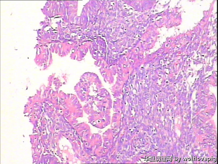
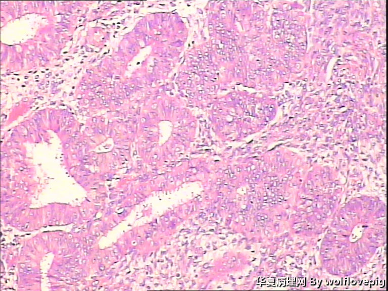
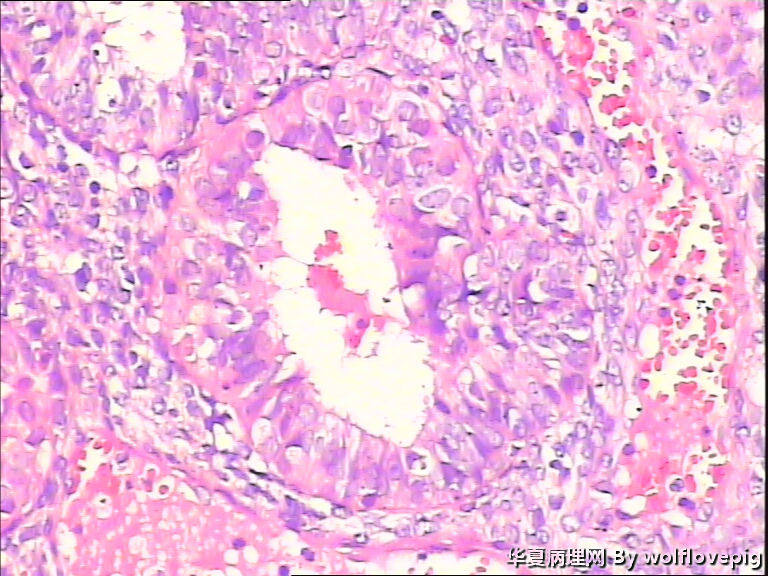
 48y

  • 求助,子宫内膜!图1
    图1
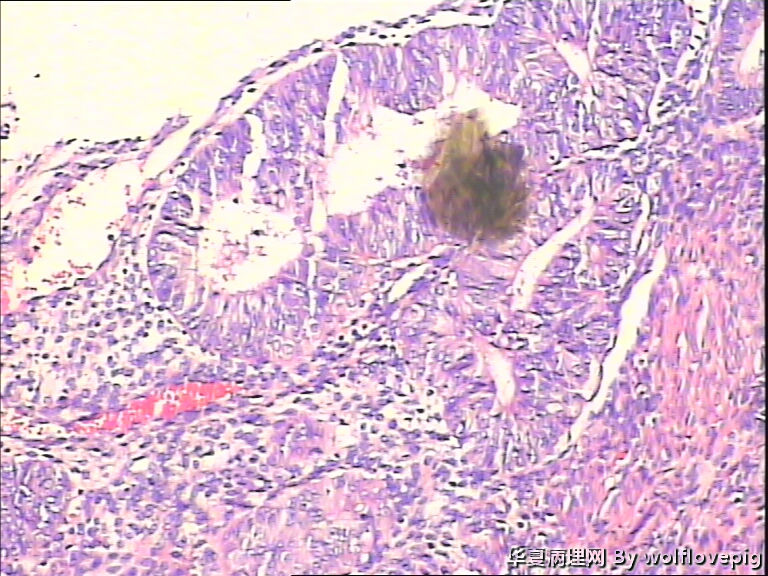
  • 求助,子宫内膜!图2
    图2
  • 求助,子宫内膜!图3
    图3
  • 求助,子宫内膜!图4
    图4
  • 求助,子宫内膜!图5
    图5
  • 求助,子宫内膜!图6
    图6
  • 求助,子宫内膜!图7
    图7
  • 求助,子宫内膜!图8
    图8
  • 求助,子宫内膜!图9
    图9
  • 求助,子宫内膜!图10
    图10
  • 求助,子宫内膜!图11
    图11
  • 求助,子宫内膜!图12
    图12
  • 求助,子宫内膜!图13
    图13
  • 求助,子宫内膜!图14
    图14
  • 求助,子宫内膜!图15
    图1
  • 求助,子宫内膜!图16
    图2
  • 求助,子宫内膜!图17
    图3
  • 求助,子宫内膜!图18
    图4
  • 求助,子宫内膜!图19
    图5
  • 求助,子宫内膜!图20
    图6
  • 求助,子宫内膜!图21
    图7
  • 求助,子宫内膜!图22
    图8
  • 求助,子宫内膜!图23
    图9
  • 求助,子宫内膜!图24
    图10
  • 求助,子宫内膜!图25
    图11
  • 求助,子宫内膜!图26
    图12
  • 求助,子宫内膜!图27
    图13
  • 求助,子宫内膜!图28
    图14

标签:求助 子宫内膜!
0
添加参考诊断
×参考诊断
  

duhua 离线

帖子:1206
粉蓝豆:152
经验:1738
注册时间:2008-08-19
加关注  |  发消息
11 楼    发表于2012-03-07 09:05:59举报|引用
返回顶部 | 快捷回复

简单型增生伴轻度非典型增生

0
回复

黄果树 离线

帖子:143
粉蓝豆:335
经验:262
注册时间:2009-02-15
加关注  |  发消息
10 楼    发表于2012-03-06 22:04:32举报|引用
返回顶部 | 快捷回复

子宫内膜复杂性非典型增生

0
回复

二土匪 离线

帖子:771
粉蓝豆:23
经验:1213
注册时间:2011-10-11
加关注  |  发消息
9 楼    发表于2012-03-05 22:24:06举报|引用
返回顶部 | 快捷回复

复杂性增生伴轻度非典

0
回复
signature
红尘中有独处的心,独处时有红尘的怀抱。

夏日 离线

帖子:1057
粉蓝豆:45
经验:1529
注册时间:2011-04-05
加关注  |  发消息
8 楼    发表于2012-03-05 21:31:05举报|引用
返回顶部 | 快捷回复

复杂性伴非典型增生

0
回复

ahhbhzlin 离线

帖子:3090
粉蓝豆:50
经验:11826
注册时间:2008-07-24
加关注  |  发消息
7 楼    发表于2012-03-05 20:41:00举报|引用
返回顶部 | 快捷回复

复杂性非典型增生(EIN)

0
回复

爱上了你 离线

帖子:59
粉蓝豆:143
经验:143
注册时间:2006-12-12
加关注  |  发消息
6 楼    发表于2012-03-05 15:03:20举报|引用
返回顶部 | 快捷回复

复杂型增生伴腺体增生活跃。

0
回复

hj 离线

帖子:74
粉蓝豆:20
经验:186
注册时间:2011-11-17
加关注  |  发消息
5 楼    发表于2012-03-05 14:28:29举报|引用
返回顶部 | 快捷回复

简单型增生过长,48岁的女性,可能是转型的时候,而且内膜的共壁不是很明显,腺管的上皮增生层次也不是很明显,腺、间质比例较正常,所以有一点的异型不用太担心。同时刮宫既是诊断、又是治疗,可以妇科激素用药。

0
回复

wjf9548 离线

帖子:277
粉蓝豆:634
经验:659
注册时间:2011-09-20
加关注  |  发消息
4 楼    发表于2012-03-05 14:20:44举报|引用
返回顶部 | 快捷回复

个人认为有不典型增生。

0
回复

泉水叮咚响 离线

帖子:2163
粉蓝豆:113
经验:11663
注册时间:2010-12-30
加关注  |  发消息
3 楼    发表于2012-03-05 14:19:31举报|引用
返回顶部 | 快捷回复

 复杂性非典型增生

0
回复
signature
刀不磨会生锈,人不学习会落后。

冰冰 离线

帖子:264
粉蓝豆:6
经验:512
注册时间:2007-05-15
加关注  |  发消息
2 楼    发表于2012-03-05 14:18:02举报|引用
返回顶部 | 快捷回复

子宫内膜单纯性增生

0
回复

病理020 离线

帖子:1344
粉蓝豆:5581
经验:1814
注册时间:2011-10-02
加关注  |  发消息
1 楼    发表于2012-03-05 13:37:22举报|引用
返回顶部 | 快捷回复

子宫内膜复杂性非典型增生(有没有癌变,待制作优良的切片再诊断吧)。

1

微观世界..
回复
signature
邓学田
回复:11 阅读:3057
共1页/11条首页上一页1下一页尾页
【免责声明】讨论内容仅作学术交流之用,不作为诊疗依据,由此而引起的法律问题作者及本站不承担任何责任。
快速回复
进入高级回复
您最多可输入10000个汉字,按 "Ctrl" + "Enter" 直接发送
搜索回复/乘电梯 ×
按内容
按会员
乘电梯
合作伙伴
友情链接