共1页/20条首页上一页1下一页尾页
回复:20 阅读:5213
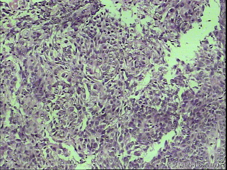
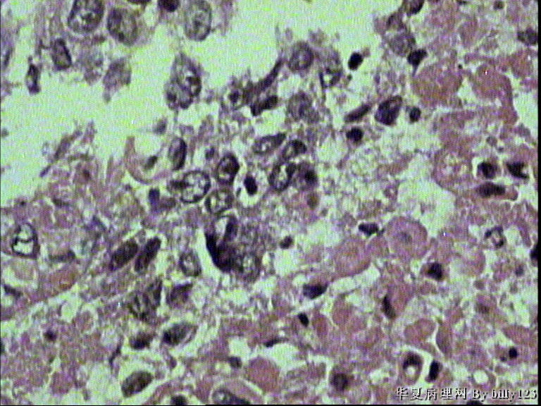
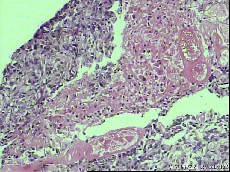
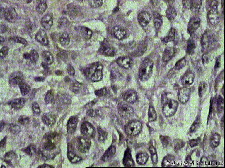
支气管活检,患者,男性,66岁,支气管镜下见息肉样新生物,鳞癌吗?请各位老师指教!

billy123 离线

帖子:45
粉蓝豆:3
经验:103
注册时间:2006-11-11
加关注  |  发消息
楼主 发表于 2012-03-03 08:58|举报|关注(0)
浏览排序[ 顺序 逆序 楼主 支持 精彩 ]  快捷回复
  • 支气管活检,患者,男性,66岁,支气管镜下见息肉样新生物,鳞癌吗?请各位老师指教!图1
    图1
  • 支气管活检,患者,男性,66岁,支气管镜下见息肉样新生物,鳞癌吗?请各位老师指教!图2
    图2
  • 支气管活检,患者,男性,66岁,支气管镜下见息肉样新生物,鳞癌吗?请各位老师指教!图3
    图3
  • 支气管活检,患者,男性,66岁,支气管镜下见息肉样新生物,鳞癌吗?请各位老师指教!图4
    图4
  • 支气管活检,患者,男性,66岁,支气管镜下见息肉样新生物,鳞癌吗?请各位老师指教!图5
    图5
  • 支气管活检,患者,男性,66岁,支气管镜下见息肉样新生物,鳞癌吗?请各位老师指教!图6
    图6
  • 支气管活检,患者,男性,66岁,支气管镜下见息肉样新生物,鳞癌吗?请各位老师指教!图7
    图7
  • 支气管活检,患者,男性,66岁,支气管镜下见息肉样新生物,鳞癌吗?请各位老师指教!图8
    图8


 

标签:
本帖最后由 billy123 于 2012-03-04 19:16:26 编辑
0
添加参考诊断
×参考诊断
  

slf521 离线

帖子:126
粉蓝豆:3
经验:174
注册时间:2012-04-27
加关注  |  发消息
20 楼    发表于2012-04-28 21:58:28举报|引用
返回顶部 | 快捷回复

 重度非典型增生,癌待删,图片不是很清楚

0
回复

刀尖上的舞者 离线

帖子:1763
粉蓝豆:87
经验:3356
注册时间:2010-12-14
加关注  |  发消息
19 楼    发表于2012-03-23 15:21:45举报|引用
返回顶部 | 快捷回复
引用 8 楼 hys_603 在 2012-03-04 21:21:27 的发言:

考虑鳞癌


0
回复

伊恋佳人 离线

帖子:1258
粉蓝豆:505
经验:1714
注册时间:2010-03-13
加关注  |  发消息
18 楼    发表于2012-03-19 23:04:19举报|引用
返回顶部 | 快捷回复

考虑鳞癌

0
回复

weixiao 离线

帖子:90
粉蓝豆:1061
经验:328
注册时间:2011-12-13
加关注  |  发消息
17 楼    发表于2012-03-19 21:49:14举报|引用
返回顶部 | 快捷回复

棘层松解型鳞癌

0
回复

保守蜜蜜 离线

帖子:56
粉蓝豆:419
经验:98
注册时间:2010-11-22
加关注  |  发消息
16 楼    发表于2012-03-19 21:42:19举报|引用
返回顶部 | 快捷回复

从第二,三张图片的组织结构是鳞癌

 

0
回复
signature
努力去做一名优秀的病理医生!

lily-yang 离线

帖子:238
粉蓝豆:19
经验:1253
注册时间:2011-05-16
加关注  |  发消息
15 楼    发表于2012-03-12 14:16:02举报|引用
返回顶部 | 快捷回复
引用 10 楼 meihao 在 2012-03-05 15:55:52 的发言:

鳞状上皮重度不典型增生,局部可疑浸润。


0
回复

rddlr 离线

帖子:79
粉蓝豆:4
经验:696
注册时间:2009-03-27
加关注  |  发消息
14 楼    发表于2012-03-12 11:32:00举报|引用
返回顶部 | 快捷回复

鳞癌给了

0
回复

zhangyajing 离线

帖子:500
粉蓝豆:4
经验:610
注册时间:2008-03-23
加关注  |  发消息
13 楼    发表于2012-03-11 14:14:02举报|引用
返回顶部 | 快捷回复

鳞癌

0
回复

一了 离线

帖子:2138
粉蓝豆:64
经验:2288
注册时间:2009-03-31
加关注  |  发消息
12 楼    发表于2012-03-05 16:54:14举报|引用
返回顶部 | 快捷回复

鳞癌

0
回复

dragon 离线

帖子:207
粉蓝豆:5
经验:268
注册时间:2011-02-17
加关注  |  发消息
11 楼    发表于2012-03-05 16:03:46举报|引用
返回顶部 | 快捷回复

考虑鳞癌,但老兄的图片拍的不太清楚,能否搞点清楚地上来!

0
回复
signature
将生命本质里最真实的想法付诸实践的勇气

meihao 离线

帖子:635
粉蓝豆:275
经验:1820
注册时间:2011-10-12
加关注  |  发消息
10 楼    发表于2012-03-05 15:55:52举报|引用
返回顶部 | 快捷回复

鳞状上皮重度不典型增生,局部可疑浸润。

0
回复
signature
感谢华夏病理网!

病理020 离线

帖子:1344
粉蓝豆:5580
经验:1814
注册时间:2011-10-02
加关注  |  发消息
9 楼    发表于2012-03-05 13:45:49举报|引用
返回顶部 | 快捷回复

如果全面观察过切片确实没有浸润,可诊断为原位鳞癌。

0
回复
signature
邓学田

hys_603 离线

帖子:716
粉蓝豆:1
经验:988
注册时间:2008-06-18
加关注  |  发消息
8 楼    发表于2012-03-04 21:21:27举报|引用
返回顶部 | 快捷回复

考虑鳞癌

0
回复

duhua 离线

帖子:1206
粉蓝豆:152
经验:1738
注册时间:2008-08-19
加关注  |  发消息
7 楼    发表于2012-03-04 20:51:43举报|引用
返回顶部 | 快捷回复

鳞状上皮重度不典型增生,局部疑为癌

0
回复

xiaoyan0290 离线

帖子:1179
粉蓝豆:517
经验:2063
注册时间:2008-07-15
加关注  |  发消息
6 楼    发表于2012-03-04 20:13:30举报|引用
返回顶部 | 快捷回复
引用 2 楼 米迷 在 2012-03-04 13:03:46 的发言:

全层有不典型增生 有坏死 考虑鳞癌


0
回复

laowon 离线

帖子:438
粉蓝豆:12
经验:1886
注册时间:2010-07-31
加关注  |  发消息
5 楼    发表于2012-03-04 19:26:44举报|引用
返回顶部 | 快捷回复

鳞癌。

2

脑积水00

hlkkekex..
回复

200406 离线

帖子:1385
粉蓝豆:145
经验:2735
注册时间:2011-08-08
加关注  |  发消息
4 楼    发表于2012-03-04 19:21:35举报|引用
返回顶部 | 快捷回复
引用 2 楼 米迷 在 2012-03-04 13:03:46 的发言:

全层有不典型增生 有坏死 考虑鳞癌


0
回复

泉水叮咚响 离线

帖子:2163
粉蓝豆:113
经验:11663
注册时间:2010-12-30
加关注  |  发消息
3 楼    发表于2012-03-04 14:35:42举报|引用
返回顶部 | 快捷回复

再多来几张低倍的,感觉不好。

0
回复
signature
刀不磨会生锈,人不学习会落后。

米迷 离线

帖子:9
粉蓝豆:1
经验:381
注册时间:2011-12-08
加关注  |  发消息
2 楼    发表于2012-03-04 13:03:46举报|引用
返回顶部 | 快捷回复

全层有不典型增生 有坏死 考虑鳞癌

1

寿小燕
回复

xiaogang 离线

帖子:5664
粉蓝豆:48
经验:6068
注册时间:2008-12-18
加关注  |  发消息
1 楼    发表于2012-03-03 09:12:41举报|引用
返回顶部 | 快捷回复

鳞状上皮不典型增生,炎症明显,还不能诊断癌,建议密切随访观察。

0
回复
回复:20 阅读:5213
共1页/20条首页上一页1下一页尾页
【免责声明】讨论内容仅作学术交流之用,不作为诊疗依据,由此而引起的法律问题作者及本站不承担任何责任。
快速回复
进入高级回复
您最多可输入10000个汉字,按 "Ctrl" + "Enter" 直接发送
搜索回复/乘电梯 ×
按内容
按会员
乘电梯
合作伙伴
友情链接