共1页/8条首页上一页1下一页尾页
回复:8 阅读:3293
求助 (腹股沟淋巴结活检)这是什麽?

et666 离线

帖子:386
粉蓝豆:18
经验:658
注册时间:2008-03-11
加关注  |  发消息
楼主 发表于 2012-03-02 20:13|举报|关注(1)
浏览排序[ 顺序 逆序 楼主 支持 精彩 ]  快捷回复

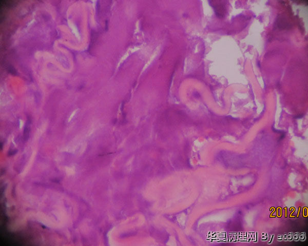
 患者 75 腹股沟淋巴结活检 )送检软组织内可见片状干酪样坏死物,边缘有炎性肉芽组织,形态符合结核性病变。抗酸杆菌染色(-), 结核杆菌DNA检测(+)。在另一部位可见如图物质 不知是 .......请老师专家们赐教。

  • 求助 (腹股沟淋巴结活检)这是什麽?图1
    图1
  • 求助 (腹股沟淋巴结活检)这是什麽?图2
    图2

 

标签:
0
signature
王秀娥
添加参考诊断
×参考诊断
  

3673566 离线

帖子:1879
粉蓝豆:74
经验:3305
注册时间:2006-10-29
加关注  |  发消息
1 楼    发表于2012-03-02 20:36:54举报|引用
返回顶部 | 快捷回复

真菌菌丝?异物?其他?

 

 

0
回复

风吹过 离线

帖子:88
粉蓝豆:30
经验:163
注册时间:2010-11-03
加关注  |  发消息
2 楼    发表于2012-03-04 09:48:30举报|引用
返回顶部 | 快捷回复

有可能是隐球菌

0
回复
signature
好好学习

arhus 离线

帖子:503
粉蓝豆:9
经验:540
注册时间:2006-09-28
加关注  |  发消息
3 楼    发表于2012-03-04 10:23:17举报|引用
返回顶部 | 快捷回复

会不会是寄生虫啊。照几张病变周边的反应性区域看看。

0
回复

fangg 离线

帖子:1426
粉蓝豆:44
经验:1863
注册时间:2007-01-22
加关注  |  发消息
4 楼    发表于2012-03-09 10:34:59举报|引用
返回顶部 | 快捷回复

有点像凉皮。。。

0
回复
signature
境随心转

et666 离线

帖子:386
粉蓝豆:18
经验:658
注册时间:2008-03-11
加关注  |  发消息
5 楼    发表于2012-03-09 20:26:13举报|引用
返回顶部 | 快捷回复

 

再传几张 。 其实我发报告的时候没有看见这些东西。后来有其他原因再看时发现这些物质的,可能这些物质颜色淡不显眼吧.

 
  • 图1
  • 图2
  • 图3
  • 图4
  • 图5
  • 图6
0
回复
signature
王秀娥

二土匪 离线

帖子:771
粉蓝豆:23
经验:1213
注册时间:2011-10-11
加关注  |  发消息
6 楼    发表于2012-03-09 20:27:51举报|引用
返回顶部 | 快捷回复

像是真菌

0
回复
signature
红尘中有独处的心,独处时有红尘的怀抱。

et666 离线

帖子:386
粉蓝豆:18
经验:658
注册时间:2008-03-11
加关注  |  发消息
7 楼    发表于2012-03-09 20:35:17举报|引用
返回顶部 | 快捷回复

有点像凉皮。。。

 

 

是的,而且是中空的。

0
回复
signature
王秀娥

刘斌 离线

帖子:1183
粉蓝豆:34
经验:3966
注册时间:2009-12-22
加关注  |  发消息
8 楼    发表于2012-03-09 20:44:15举报|引用
返回顶部 | 快捷回复

考虑是寄生虫

0
回复
回复:8 阅读:3293
共1页/8条首页上一页1下一页尾页
【免责声明】讨论内容仅作学术交流之用,不作为诊疗依据,由此而引起的法律问题作者及本站不承担任何责任。
快速回复
进入高级回复
您最多可输入10000个汉字,按 "Ctrl" + "Enter" 直接发送
搜索回复/乘电梯 ×
按内容
按会员
乘电梯
合作伙伴
友情链接