共1页/9条首页上一页1下一页尾页
回复:9 阅读:2541
鼻根部增生物3月。

weiguopfk 离线

帖子:605
粉蓝豆:66
经验:817
注册时间:2008-10-25
加关注  |  发消息
楼主 发表于 2012-03-02 09:09|举报|关注(0)
浏览排序[ 顺序 逆序 楼主 支持 精彩 ]  快捷回复

 男性患者,52岁。鼻根部增生物3月余,无自觉症状。

自述3月前鼻根部出现一黑褐色丘疹,自行抠掉后,很快又有新生物长出,并逐渐增大。

  • 鼻根部增生物3月。图1
    图1
  • 鼻根部增生物3月。图2
    图2
  • 鼻根部增生物3月。图3
    图3
  • 鼻根部增生物3月。图4
    图4
  • 鼻根部增生物3月。图5
    图5
 
标签:
0
添加参考诊断
×参考诊断
  

雪上飞扬 离线

帖子:49
粉蓝豆:7
经验:87
注册时间:2011-01-19
加关注  |  发消息
1 楼    发表于2012-03-02 09:42:01举报|引用
返回顶部 | 快捷回复

发过来 高倍镜下

 

0
回复

brz0001 离线

帖子:3035
粉蓝豆:97
经验:3058
注册时间:2008-05-05
加关注  |  发消息
2 楼    发表于2012-03-02 12:47:41举报|引用
返回顶部 | 快捷回复

要考虑倒置性毛囊角化

1

一棵小草
回复

杏林散客 离线

帖子:2097
粉蓝豆:87
经验:2406
注册时间:2008-05-18
加关注  |  发消息
3 楼    发表于2012-03-03 15:11:07举报|引用
返回顶部 | 快捷回复

角化棘皮瘤?倒置性毛囊角化症?

0
回复
signature
皮毛之事,方寸之间,大千世界!

小点 离线

帖子:1926
粉蓝豆:142
经验:3071
注册时间:2009-02-22
加关注  |  发消息
4 楼    发表于2012-03-03 16:29:10举报|引用
返回顶部 | 快捷回复

角化棘皮瘤

0
回复

whj0902 在线

帖子:187
粉蓝豆:16
经验:325
注册时间:2011-11-27
加关注  |  发消息
5 楼    发表于2012-03-03 17:22:59举报|引用
返回顶部 | 快捷回复

角化棘皮瘤

 

0
回复

weiguopfk 离线

帖子:605
粉蓝豆:66
经验:817
注册时间:2008-10-25
加关注  |  发消息
6 楼    发表于2012-03-04 14:33:13举报|引用
返回顶部 | 快捷回复

大家还有什么其他的意见?我倾向倒毛

0
回复

weiguopfk 离线

帖子:605
粉蓝豆:66
经验:817
注册时间:2008-10-25
加关注  |  发消息
7 楼    发表于2012-03-14 19:24:42举报|引用
返回顶部 | 快捷回复
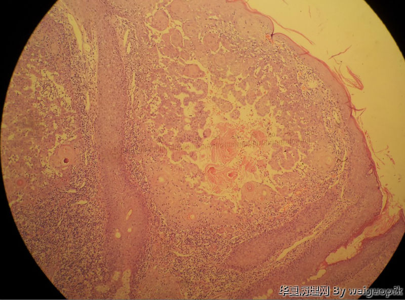
本帖最后由 weiguopfk 于 2012-03-14 19:25:24 编辑

  • 图1
  • 图2
  • 图3
  • 图4
  • 图5

 患者全切后病理

0
回复

weiguopfk 离线

帖子:605
粉蓝豆:66
经验:817
注册时间:2008-10-25
加关注  |  发消息
8 楼    发表于2012-03-14 19:26:25举报|引用
返回顶部 | 快捷回复

 另一切面

  • 图1
  • 图2
  • 图3
  • 图4
0
回复

weiguopfk 离线

帖子:605
粉蓝豆:66
经验:817
注册时间:2008-10-25
加关注  |  发消息
9 楼    发表于2012-03-14 22:00:12举报|引用
返回顶部 | 快捷回复

我的最终诊断是,激惹型脂溢性角化病并囊肿破裂继发异物反应。

0
回复
回复:9 阅读:2541
共1页/9条首页上一页1下一页尾页
【免责声明】讨论内容仅作学术交流之用,不作为诊疗依据,由此而引起的法律问题作者及本站不承担任何责任。
快速回复
进入高级回复
您最多可输入10000个汉字,按 "Ctrl" + "Enter" 直接发送
搜索回复/乘电梯 ×
按内容
按会员
乘电梯
合作伙伴
友情链接