共1页/14条首页上一页1下一页尾页
回复:14 阅读:3122
两例头皮肿物有差别么

taoqimao 离线

帖子:286
粉蓝豆:397
经验:679
注册时间:2011-08-20
加关注  |  发消息
楼主 发表于 2012-03-01 19:02|举报|关注(0)
浏览排序[ 顺序 逆序 楼主 支持 精彩 ]  快捷回复

 

  • 两例头皮肿物有差别么图1
    图1
  • 两例头皮肿物有差别么图2
    图2
  • 两例头皮肿物有差别么图3
    图3
  • 两例头皮肿物有差别么图4
    图4
  • 两例头皮肿物有差别么图5
    图5
  • 两例头皮肿物有差别么图6
    图6
  • 两例头皮肿物有差别么图7
    图7
  • 两例头皮肿物有差别么图8
    图8
  • 两例头皮肿物有差别么图9
    图9
  • 两例头皮肿物有差别么图10
    图10
  • 两例头皮肿物有差别么图11
    图11
  • 两例头皮肿物有差别么图12
    图12
  • 两例头皮肿物有差别么图13
    图13
 

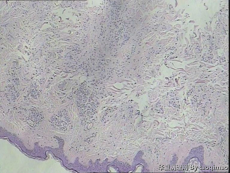
34岁女,头皮肿物,带皮组织一块1x1,皮瓣上可见一灰白结节大小0.6x0.6,皮瓣大小1x0.4 面灰白质软。

门诊患者这一例没有其它更多信息

标签:
0
signature
一个人的心态决定她的生活
×参考诊断
第一:皮内痣 第二:皮内痣并表皮囊肿

taoqimao 离线

帖子:286
粉蓝豆:397
经验:679
注册时间:2011-08-20
加关注  |  发消息
1 楼    发表于2012-03-01 19:10:01举报|引用
返回顶部 | 快捷回复
  • 图1
  • 图2
  • 图3
  • 图4
  • 图5
  • 图6
  • 图7
  • 图8
  • 图9
  • 图10
  • 图11
  • 图12
  • 图13
  • 图14

 这个患者女,24岁,右颞部头皮肿物 24年,带皮的组织一块1.7x1x1,突出于皮肤表面,灰白色肿物,剖面实性灰白,请各位老师给帮忙诊断一下,这两个病例是同一个诊断么

0
回复
signature
一个人的心态决定她的生活

一了 离线

帖子:2138
粉蓝豆:64
经验:2288
注册时间:2009-03-31
加关注  |  发消息
2 楼    发表于2012-03-01 19:58:41举报|引用
返回顶部 | 快捷回复

没差别

皮内痣。

0
回复

一棵小草 离线

帖子:5101
粉蓝豆:12
经验:7184
注册时间:2008-07-07
加关注  |  发消息
3 楼    发表于2012-03-01 20:13:03举报|引用
返回顶部 | 快捷回复

都考虑皮内痣。

但第一例处于退化期了,当然,这没必要写到报告上。

0
回复

lvyinhua 离线

帖子:832
粉蓝豆:35
经验:1180
注册时间:2012-01-09
加关注  |  发消息
4 楼    发表于2012-03-01 20:32:43举报|引用
返回顶部 | 快捷回复
引用 2 楼 一了 在 2012-03-01 19:58:41 的发言:

没差别

皮内痣。


0
回复

brz0001 离线

帖子:3035
粉蓝豆:97
经验:3058
注册时间:2008-05-05
加关注  |  发消息
5 楼    发表于2012-03-01 20:43:34举报|引用
返回顶部 | 快捷回复

都要考虑皮内痣。实在有差别就是第2例上有表皮囊肿,容易伴发。

1

zhangyuy..
回复

taoqimao 离线

帖子:286
粉蓝豆:397
经验:679
注册时间:2011-08-20
加关注  |  发消息
6 楼    发表于2012-03-01 20:44:41举报|引用
返回顶部 | 快捷回复
引用 3 楼 一棵小草 在 2012-03-01 20:13:03 的发言:

都考虑皮内痣。

但第一例处于退化期了,当然,这没必要写到报告上。


我的问题是为什么是白色的呢,呵呵,我查了些资料没说是白色的

0
回复
signature
一个人的心态决定她的生活

笑傲江湖 离线

帖子:548
粉蓝豆:14
经验:748
注册时间:2009-04-07
加关注  |  发消息
7 楼    发表于2012-03-01 20:48:59举报|引用
返回顶部 | 快捷回复

皮内痣,第2例伴表皮囊肿,1处于退化期,倒是该学学

1

贝贝
回复

taoqimao 离线

帖子:286
粉蓝豆:397
经验:679
注册时间:2011-08-20
加关注  |  发消息
8 楼    发表于2012-03-01 20:52:16举报|引用
返回顶部 | 快捷回复

谢谢各位老师

0
回复
signature
一个人的心态决定她的生活

一棵小草 离线

帖子:5101
粉蓝豆:12
经验:7184
注册时间:2008-07-07
加关注  |  发消息
9 楼    发表于2012-03-01 20:52:38举报|引用
返回顶部 | 快捷回复

第二例合并的有个小的表皮样囊肿,或说粟丘疹。

灰白色,我想是由于有的皮内痣本身没有太多色素吧,不少皮内痣是皮色的。你的俩病例,片子里都没啥见到色素,应该可以解释了吧。

0
回复

taoqimao 离线

帖子:286
粉蓝豆:397
经验:679
注册时间:2011-08-20
加关注  |  发消息
10 楼    发表于2012-03-01 21:00:33举报|引用
返回顶部 | 快捷回复
引用 9 楼 一棵小草 在 2012-03-01 20:52:38 的发言:

第二例合并的有个小的表皮样囊肿,或说粟丘疹。

灰白色,我想是由于有的皮内痣本身没有太多色素吧,不少皮内痣是皮色的。你的俩病例,片子里都没啥见到色素,应该可以解释了吧。

非常感谢:)学习了

0
回复
signature
一个人的心态决定她的生活

小楠8300 离线

帖子:248
粉蓝豆:2
经验:279
注册时间:2008-07-31
加关注  |  发消息
11 楼    发表于2012-03-01 21:57:26举报|引用
返回顶部 | 快捷回复

皮内痣。

0
回复
signature
我要一步一步往上爬,在最高点乘着叶片往前飞,小小的我有大大的梦想,总有一天我要属于我的天。

杏林散客 离线

帖子:2097
粉蓝豆:87
经验:2406
注册时间:2008-05-18
加关注  |  发消息
12 楼    发表于2012-03-02 00:22:19举报|引用
返回顶部 | 快捷回复

头皮皮内痣常呈皮赘样,质软有蒂,很多时候退化后呈正常肤色,切片中常有成熟的脂肪细胞,临床很容易误诊,诊断皮内痣应该没有问题的!

0
回复
signature
皮毛之事,方寸之间,大千世界!

taoqimao 离线

帖子:286
粉蓝豆:397
经验:679
注册时间:2011-08-20
加关注  |  发消息
13 楼    发表于2012-03-02 19:47:31举报|引用
返回顶部 | 快捷回复
引用 12 楼 杏林散客 在 2012-03-02 00:22:19 的发言:

头皮皮内痣常呈皮赘样,质软有蒂,很多时候退化后呈正常肤色,切片中常有成熟的脂肪细胞,临床很容易误诊,诊断皮内痣应该没有问题的!


谢谢:)老师

0
回复
signature
一个人的心态决定她的生活

taoqimao 离线

帖子:286
粉蓝豆:397
经验:679
注册时间:2011-08-20
加关注  |  发消息
14 楼    发表于2012-03-02 19:48:12举报|引用
返回顶部 | 快捷回复
引用 5 楼 brz0001 在 2012-03-01 20:43:34 的发言:

都要考虑皮内痣。实在有差别就是第2例上有表皮囊肿,容易伴发。


谢谢:)

0
回复
signature
一个人的心态决定她的生活
回复:14 阅读:3122
共1页/14条首页上一页1下一页尾页
【免责声明】讨论内容仅作学术交流之用,不作为诊疗依据,由此而引起的法律问题作者及本站不承担任何责任。
快速回复
进入高级回复
您最多可输入10000个汉字,按 "Ctrl" + "Enter" 直接发送
搜索回复/乘电梯 ×
按内容
按会员
乘电梯
合作伙伴
友情链接