共1页/14条首页上一页1下一页尾页
回复:14 阅读:4310
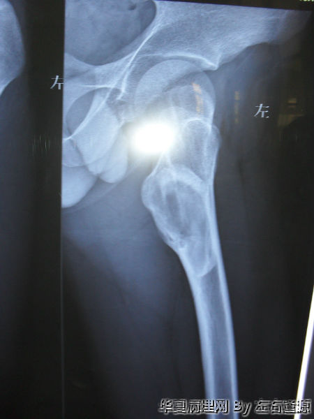
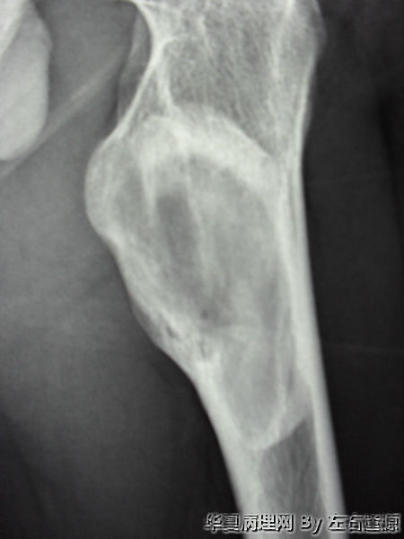
男19岁 左股骨上段异常增殖

左右逢源 离线

帖子:2052
粉蓝豆:68
经验:2526
注册时间:2009-12-23
加关注  |  发消息
楼主 发表于 2012-03-01 12:08|举报|关注(1)
浏览排序[ 顺序 逆序 楼主 支持 精彩 ]  快捷回复
  • 男19岁 左股骨上段异常增殖图1
    图1
  • 男19岁 左股骨上段异常增殖图2
    图2
  • 男19岁 左股骨上段异常增殖图3
    图3
  • 男19岁 左股骨上段异常增殖图4
    图4
  • 男19岁 左股骨上段异常增殖图5
    图1
  • 男19岁 左股骨上段异常增殖图6
    图2
  • 男19岁 左股骨上段异常增殖图7
    图3
  • 男19岁 左股骨上段异常增殖图8
    图4
  • 男19岁 左股骨上段异常增殖图9
    图5
  • 男19岁 左股骨上段异常增殖图10
    图6
  • 男19岁 左股骨上段异常增殖图11
    图7
  • 男19岁 左股骨上段异常增殖图12
    图8
  • 男19岁 左股骨上段异常增殖图13
    图9
  • 男19岁 左股骨上段异常增殖图14
    图10
  • 男19岁 左股骨上段异常增殖图15
    图11
  • 男19岁 左股骨上段异常增殖图16
    图12
  • 男19岁 左股骨上段异常增殖图17
    图13
  • 男19岁 左股骨上段异常增殖图18
    图14
  • 男19岁 左股骨上段异常增殖图19
    图15
  • 男19岁 左股骨上段异常增殖图20
    图16
  • 男19岁 左股骨上段异常增殖图21
    图17
  • 男19岁 左股骨上段异常增殖图22
    图18
  • 男19岁 左股骨上段异常增殖图23
    图19

 

标签:
本帖最后由 左右逢源 于 2012-03-01 13:24:02 编辑
0
signature
不憧憬明天,不留念昨天,只把握今天。
添加参考诊断
×参考诊断
  

梦想的海洋 离线

帖子:178
粉蓝豆:278
经验:621
注册时间:2011-05-12
加关注  |  发消息
1 楼    发表于2012-03-01 13:45:55举报|引用
返回顶部 | 快捷回复

骨纤维结构不良

0
回复

zhuyb72 离线

帖子:12
粉蓝豆:1
经验:17
注册时间:2012-02-14
加关注  |  发消息
2 楼    发表于2012-03-01 14:04:46举报|引用
返回顶部 | 快捷回复

同意纤维结构不良,而不是骨纤维结构不良。

1

XLJin..
回复

诺贝儿 离线

帖子:1045
粉蓝豆:0
经验:1856
注册时间:2007-10-12
加关注  |  发消息
3 楼    发表于2012-03-03 19:16:03举报|引用
返回顶部 | 快捷回复

典型。

纤维结构不良。

0
回复
signature
人如其名

200406 离线

帖子:1385
粉蓝豆:145
经验:2735
注册时间:2011-08-08
加关注  |  发消息
4 楼    发表于2012-03-03 19:23:02举报|引用
返回顶部 | 快捷回复

纤维结构不良。

0
回复

东北鱼 离线

帖子:442
粉蓝豆:212
经验:538
注册时间:2011-11-06
加关注  |  发消息
5 楼    发表于2012-03-03 19:25:15举报|引用
返回顶部 | 快捷回复

骨性纤维结构不良

0
回复
signature
不经一番寒彻骨,哪得梅花扑鼻香!

ydsyblgm 离线

帖子:153
粉蓝豆:7
经验:154
注册时间:2011-10-02
加关注  |  发消息
6 楼    发表于2012-03-03 21:11:51举报|引用
返回顶部 | 快捷回复

X线可见病变界限较清,应考虑骨化性纤维瘤。

0
回复

XLJin8 离线

帖子:2275
粉蓝豆:1531
经验:2417
注册时间:2009-03-04
加关注  |  发消息
7 楼    发表于2012-03-04 21:52:06举报|引用
返回顶部 | 快捷回复
引用 1 楼 梦想的海洋 在 2012-03-01 13:45:55 的发言:

骨纤维结构不良

要明确“纤维结构不良”和“骨纤维结构不良”不是一个概念。

0
回复
signature
xljin8

晓明 离线

帖子:1630
粉蓝豆:56
经验:1784
注册时间:2010-02-02
加关注  |  发消息
8 楼    发表于2012-03-12 21:33:25举报|引用
返回顶部 | 快捷回复

周围有骨母细胞,是骨纤维结构不良。

0
回复
signature
典型中看不典型,不典型中找典型。

SYWCF321 离线

帖子:21
粉蓝豆:1
经验:21
注册时间:2009-12-28
加关注  |  发消息
9 楼    发表于2012-03-19 22:40:51举报|引用
返回顶部 | 快捷回复

“纤维结构不良”和“骨纤维结构不良”确实不是一个概念,后者骨小梁周围有骨母细胞,并且有特殊的发病部位。本例骨小梁周围大部分没有骨母细胞,是纤维结构不良。,而不是骨纤维结构不良。

3

诺贝儿

whwwhw

echohanx..
回复

伊恋佳人 离线

帖子:1258
粉蓝豆:505
经验:1714
注册时间:2010-03-13
加关注  |  发消息
10 楼    发表于2012-03-19 23:07:29举报|引用
返回顶部 | 快捷回复

纤维结构不良。

0
回复

gyy_613 离线

帖子:321
粉蓝豆:1
经验:484
注册时间:2010-09-01
加关注  |  发消息
11 楼    发表于2012-04-06 21:46:53举报|引用
返回顶部 | 快捷回复

骨纤维结构不良

0
回复

dozengye 离线

帖子:10
粉蓝豆:48
经验:19
注册时间:2009-12-08
加关注  |  发消息
12 楼    发表于2012-04-08 20:42:13举报|引用
返回顶部 | 快捷回复

纤维结构不良吧,应该是

0
回复
signature
签名

duhua 离线

帖子:1206
粉蓝豆:152
经验:1738
注册时间:2008-08-19
加关注  |  发消息
13 楼    发表于2012-04-08 22:14:55举报|引用
返回顶部 | 快捷回复

纤维结构不良

0
回复

echohanxiao 离线

帖子:367
粉蓝豆:1
经验:386
注册时间:2010-01-09
加关注  |  发消息
14 楼    发表于2012-04-08 22:44:38举报|引用
返回顶部 | 快捷回复
引用 9 楼 SYWCF321 在 2012-03-19 22:40:51 的发言:

“纤维结构不良”和“骨纤维结构不良”确实不是一个概念,后者骨小梁周围有骨母细胞,并且有特殊的发病部位。本例骨小梁周围大部分没有骨母细胞,是纤维结构不良。,而不是骨纤维结构不良。


1

牡丹古都
回复
回复:14 阅读:4310
共1页/14条首页上一页1下一页尾页
【免责声明】讨论内容仅作学术交流之用,不作为诊疗依据,由此而引起的法律问题作者及本站不承担任何责任。
快速回复
进入高级回复
您最多可输入10000个汉字,按 "Ctrl" + "Enter" 直接发送
搜索回复/乘电梯 ×
按内容
按会员
乘电梯
合作伙伴
友情链接