共1页/19条首页上一页1下一页尾页
回复:19 阅读:3967
左肩胛部肿物

泉水叮咚响 离线

帖子:2163
粉蓝豆:113
经验:11663
注册时间:2010-12-30
加关注  |  发消息
楼主 发表于 2012-03-01 09:37|举报|关注(2)
浏览排序[ 顺序 逆序 楼主 支持 精彩 ]  快捷回复

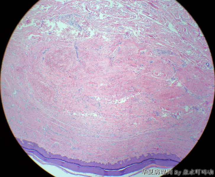
男,49岁,左肩胛部肿物。

  • 左肩胛部肿物图1
    图1
  • 左肩胛部肿物图2
    图2
  • 左肩胛部肿物图3
    图3
  • 左肩胛部肿物图4
    图4
  • 左肩胛部肿物图5
    图5
  • 左肩胛部肿物图6
    图6
  • 左肩胛部肿物图7
    图7
  • 左肩胛部肿物图8
    图8
  • 左肩胛部肿物图9
    图9
  • 左肩胛部肿物图10
    图10
  • 左肩胛部肿物图11
    图11

 

标签:
0
signature
刀不磨会生锈,人不学习会落后。
×参考诊断
是血管瘤吗?

林业病理 离线

帖子:40
粉蓝豆:138
经验:187
注册时间:2011-12-01
加关注  |  发消息
1 楼    发表于2012-03-01 10:07:39举报|引用
返回顶部 | 快捷回复

纤维瘤

0
回复

hello-ayuan 离线

帖子:126
粉蓝豆:44
经验:175
注册时间:2009-10-07
加关注  |  发消息
2 楼    发表于2012-03-01 11:55:32举报|引用
返回顶部 | 快捷回复

血管瘤

0
回复

TK1905 离线

帖子:962
粉蓝豆:283
经验:1054
注册时间:2010-03-14
加关注  |  发消息
3 楼    发表于2012-03-01 12:16:44举报|引用
返回顶部 | 快捷回复

卡波西斯?

1

yhw
回复

Renghis 离线

帖子:2530
粉蓝豆:92
经验:4081
注册时间:2007-12-13
加关注  |  发消息
4 楼    发表于2012-03-01 12:21:58举报|引用
返回顶部 | 快捷回复

韧带样型纤维瘤病

0
回复
signature
重归学生时代!

zhanglei 离线

帖子:3751
粉蓝豆:2077
经验:3901
注册时间:2006-09-26
加关注  |  发消息
5 楼    发表于2012-03-01 13:15:32举报|引用
返回顶部 | 快捷回复

良性。

0
回复

梦想的海洋 离线

帖子:178
粉蓝豆:278
经验:621
注册时间:2011-05-12
加关注  |  发消息
6 楼    发表于2012-03-01 13:40:49举报|引用
返回顶部 | 快捷回复

项型纤维瘤

0
回复

zhuyb72 离线

帖子:12
粉蓝豆:1
经验:17
注册时间:2012-02-14
加关注  |  发消息
7 楼    发表于2012-03-01 14:34:31举报|引用
返回顶部 | 快捷回复

Palisaded myofibroblastoma 也要排除一下。

0
回复

zhouquan 离线

帖子:7752
粉蓝豆:302
经验:8263
注册时间:2008-11-09
加关注  |  发消息
8 楼    发表于2012-03-01 17:20:45举报|引用
返回顶部 | 快捷回复

纤维组织增生,应该是类似疤痕的东西

2

hyl76

东北鱼
回复
signature
成功不是得到多少东西,而是把身上多余的东西的扔掉多少。   

tangguiming 离线

帖子:66
粉蓝豆:2
经验:178
注册时间:2012-02-19
加关注  |  发消息
9 楼    发表于2012-03-01 17:39:19举报|引用
返回顶部 | 快捷回复

我也同意卡波西斯

0
回复

一棵小草 离线

帖子:5101
粉蓝豆:12
经验:7184
注册时间:2008-07-07
加关注  |  发消息
10 楼    发表于2012-03-01 20:03:28举报|引用
返回顶部 | 快捷回复

有点类似动脉瘤样纤维组织细胞瘤,但是细胞成分少了点,期待版主指点!

0
回复

brz0001 离线

帖子:3035
粉蓝豆:97
经验:3058
注册时间:2008-05-05
加关注  |  发消息
11 楼    发表于2012-03-01 20:46:41举报|引用
返回顶部 | 快捷回复

考虑硬化性血管瘤

0
回复

lvyinhua 离线

帖子:832
粉蓝豆:35
经验:1180
注册时间:2012-01-09
加关注  |  发消息
12 楼    发表于2012-03-01 21:24:19举报|引用
返回顶部 | 快捷回复
引用 11 楼 brz0001 在 2012-03-01 20:46:41 的发言:

考虑硬化性血管瘤


0
回复

zhangyajing 离线

帖子:500
粉蓝豆:4
经验:610
注册时间:2008-03-23
加关注  |  发消息
13 楼    发表于2012-03-01 21:33:34举报|引用
返回顶部 | 快捷回复

皮肤良性纤维组织细胞瘤(硬化性血管瘤)

0
回复

杏林散客 离线

帖子:2097
粉蓝豆:87
经验:2406
注册时间:2008-05-18
加关注  |  发消息
14 楼    发表于2012-03-02 00:16:46举报|引用
返回顶部 | 快捷回复

动脉瘤样纤维组织细胞瘤,同意这个诊断,卡波氏不是特别像!

1

林学徒
回复
signature
皮毛之事,方寸之间,大千世界!

dongguoyou 离线

帖子:253
粉蓝豆:9
经验:4133
注册时间:2007-11-04
加关注  |  发消息
15 楼    发表于2012-03-02 08:43:09举报|引用
返回顶部 | 快捷回复

皮肤良性纤维组织细胞瘤(硬化性血管瘤)

0
回复

weiguopfk 离线

帖子:605
粉蓝豆:66
经验:817
注册时间:2008-10-25
加关注  |  发消息
16 楼    发表于2012-03-02 09:18:17举报|引用
返回顶部 | 快捷回复
引用 11 楼 brz0001 在 2012-03-01 20:46:41 的发言:

考虑硬化性血管瘤


同意

0
回复

whj0902 在线

帖子:187
粉蓝豆:16
经验:325
注册时间:2011-11-27
加关注  |  发消息
17 楼    发表于2012-03-03 18:50:54举报|引用
返回顶部 | 快捷回复

皮肤良性纤维组织细胞瘤

0
回复

梦飞 离线

帖子:213
粉蓝豆:38
经验:440
注册时间:2011-11-17
加关注  |  发消息
18 楼    发表于2012-03-24 22:26:11举报|引用
返回顶部 | 快捷回复
卡波西斯是可以排除的,图像是个良性病变。同意 皮肤良性纤维组织细胞瘤(硬化性血管瘤)。还请版主指点。
0
回复
signature
医学是我的生命。

林学徒 离线

帖子:121
粉蓝豆:11
经验:157
注册时间:2012-03-17
加关注  |  发消息
19 楼    发表于2012-03-24 23:13:43举报|引用
返回顶部 | 快捷回复
引用 14 楼 杏林散客 在 2012-03-02 00:16:46 的发言:

动脉瘤样纤维组织细胞瘤,同意这个诊断,卡波氏不是特别像!


0
回复
signature
岂能尽人如意?但求问心无愧!
回复:19 阅读:3967
共1页/19条首页上一页1下一页尾页
【免责声明】讨论内容仅作学术交流之用,不作为诊疗依据,由此而引起的法律问题作者及本站不承担任何责任。
快速回复
进入高级回复
您最多可输入10000个汉字,按 "Ctrl" + "Enter" 直接发送
搜索回复/乘电梯 ×
按内容
按会员
乘电梯
合作伙伴
友情链接