共1页/13条首页上一页1下一页尾页
回复:13 阅读:2854
求助!胸水。

wolflovepig 离线

帖子:675
粉蓝豆:55
经验:9062
注册时间:2007-08-25
加关注  |  发消息
楼主 发表于 2012-03-01 08:44|举报|关注(0)
浏览排序[ 顺序 逆序 楼主 支持 精彩 ]  快捷回复

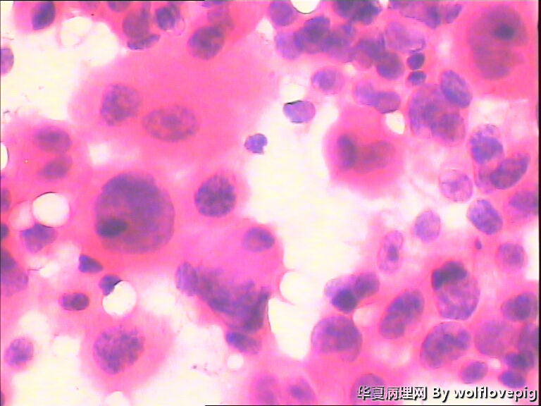
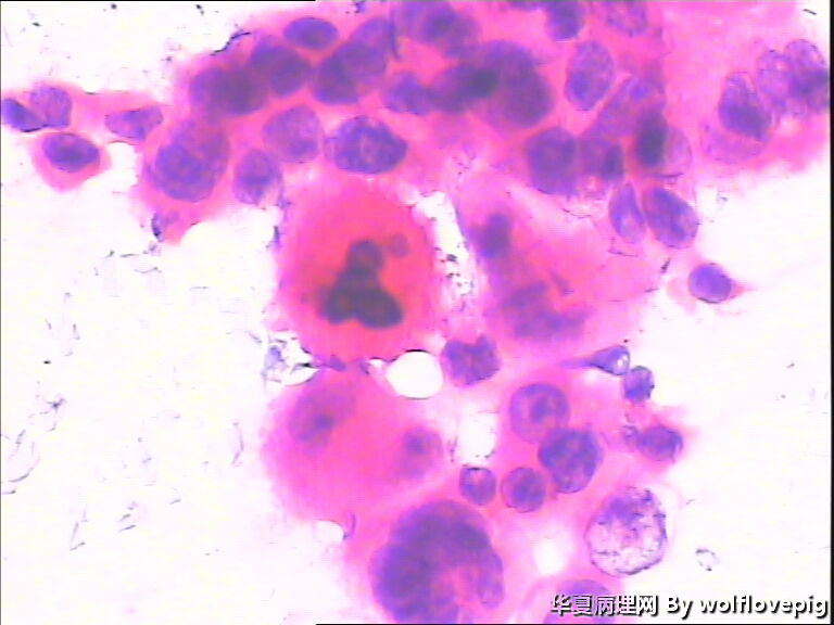
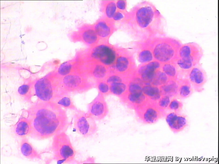
 男,52y,左侧胸腔积液,血性。

  • 求助!胸水。图1
    图1
  • 求助!胸水。图2
    图2
  • 求助!胸水。图3
    图3
  • 求助!胸水。图4
    图4
  • 求助!胸水。图5
    图5
  • 求助!胸水。图6
    图6
  • 求助!胸水。图7
    图7

标签:求助!胸水。
0
添加参考诊断
×参考诊断
  

山川 离线

帖子:324
粉蓝豆:18
经验:926
注册时间:2010-12-28
加关注  |  发消息
13 楼    发表于2012-03-10 19:19:57举报|引用
返回顶部 | 快捷回复

见恶性肿瘤细胞

0
回复
signature
看图识字

a6621837 离线

帖子:617
粉蓝豆:53
经验:623
注册时间:2007-06-18
加关注  |  发消息
12 楼    发表于2012-03-10 18:54:37举报|引用
返回顶部 | 快捷回复

有问题    恶性肿瘤

 

0
回复
signature
学习,提高。

zhouzhenyou 离线

帖子:1643
粉蓝豆:141
经验:2720
注册时间:2008-11-25
加关注  |  发消息
11 楼    发表于2012-03-01 22:43:44举报|引用
返回顶部 | 快捷回复

见恶性肿瘤细胞

0
回复

zhangyajing 离线

帖子:500
粉蓝豆:4
经验:610
注册时间:2008-03-23
加关注  |  发消息
10 楼    发表于2012-03-01 21:40:04举报|引用
返回顶部 | 快捷回复

查见恶性肿瘤细胞

1

贝贝
回复

茉莉花开 离线

帖子:526
粉蓝豆:12
经验:2772
注册时间:2009-06-21
加关注  |  发消息
9 楼    发表于2012-03-01 21:21:35举报|引用
返回顶部 | 快捷回复

腺癌细胞

0
回复

筱筱 离线

帖子:405
粉蓝豆:19
经验:736
注册时间:2009-04-24
加关注  |  发消息
8 楼    发表于2012-03-01 20:46:48举报|引用
返回顶部 | 快捷回复

恶性肿瘤细胞

0
回复

小楠8300 离线

帖子:248
粉蓝豆:2
经验:279
注册时间:2008-07-31
加关注  |  发消息
7 楼    发表于2012-03-01 20:19:12举报|引用
返回顶部 | 快捷回复

找见异型细胞,发几张低倍图片看一下。

0
回复
signature
我要一步一步往上爬,在最高点乘着叶片往前飞,小小的我有大大的梦想,总有一天我要属于我的天。

小沙粒 离线

帖子:83
粉蓝豆:2
经验:156
注册时间:2009-03-29
加关注  |  发消息
6 楼    发表于2012-03-01 19:21:27举报|引用
返回顶部 | 快捷回复

查见癌细胞,不能除外肺腺癌。

0
回复

jani 离线

帖子:1707
粉蓝豆:46
经验:1808
注册时间:2009-03-21
加关注  |  发消息
5 楼    发表于2012-03-01 19:12:04举报|引用
返回顶部 | 快捷回复

查见可疑癌细胞  倾向鳞癌

1

水中鱼儿
回复
signature
只有做你不会做的事 才能做会所有的事

baicai 离线

帖子:395
粉蓝豆:156
经验:410
注册时间:2006-10-19
加关注  |  发消息
4 楼    发表于2012-03-01 16:51:29举报|引用
返回顶部 | 快捷回复

 考虑鳞癌。

0
回复

xb3263 离线

帖子:510
粉蓝豆:3
经验:605
注册时间:2009-01-05
加关注  |  发消息
3 楼    发表于2012-03-01 10:32:39举报|引用
返回顶部 | 快捷回复

未见恶性肿瘤细胞。

0
回复

sunny52082 离线

帖子:623
粉蓝豆:39
经验:1041
注册时间:2010-12-02
加关注  |  发消息
2 楼    发表于2012-03-01 09:58:03举报|引用
返回顶部 | 快捷回复

恶性肿瘤

0
回复

泉水叮咚响 离线

帖子:2163
粉蓝豆:113
经验:11663
注册时间:2010-12-30
加关注  |  发消息
1 楼    发表于2012-03-01 09:55:38举报|引用
返回顶部 | 快捷回复

 涂片中检见肿瘤细胞。

0
回复
signature
刀不磨会生锈,人不学习会落后。
回复:13 阅读:2854
共1页/13条首页上一页1下一页尾页
【免责声明】讨论内容仅作学术交流之用,不作为诊疗依据,由此而引起的法律问题作者及本站不承担任何责任。
快速回复
进入高级回复
您最多可输入10000个汉字,按 "Ctrl" + "Enter" 直接发送
搜索回复/乘电梯 ×
按内容
按会员
乘电梯
合作伙伴
友情链接