| 图片: | |
|---|---|
| 名称: | |
| 描述: | |
男,22岁,下肢肿物数年,无明显症状。
大体:1.5cm×1.2cm×0.8cm 囊肿一个,切开后流出淡红色液体。
临床诊断:肿物性质待查。
本例图片采用麦克奥迪MoticBA410显微镜+MoticPro285A摄像头采集制作。
点评专家:山东省立医院病理科 王家耀老师
专家介绍:http://teach.ipathology.cn/article/4159.html
点评链接:http://bbs.ipathology.cn/article/407410/view/asc/page/3.html
获奖名单:红胜火
点评专家:王家耀(47楼 链接:>>点击查看<< )
获奖名单:红胜火(8楼 链接:>>点击查看<< )

本例具有以下特点:
1、青年男性,下肢肿物,最大径1.5cm
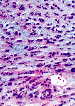
2、低倍镜下见界限清楚,中央囊变,具有肿瘤细胞密集区和疏松黏液样变区,局部有模糊结节状。
3、高倍镜下观察到以下特点:(1)中等大小的血管呈管壁玻璃样变性;(2)细胞核有深染、不规则形,但罕见核分裂,类似于退变性核;(3)细胞呈卵圆形、圆形或多角形,粘液样变区可见细胞界限较清,排列方式巢、索状,细胞浆较丰富,红染;(4)可见纤维性中心的菊形团样结构。
诊断:上皮样神经鞘瘤。
免疫组化:做S-100、IV型胶原、Ki-67
鉴别诊断:主要鉴别上皮样MPNST,需镜下计数核分裂,看Ki-67指数。
参考文献:Kindblom LG, Meis-Kindblom JM, Havel G, Busch C.Benign epithelioid schwannoma.Am J Surg Pathol. 1998 Jun;22(6):762-70.
Abstract
Benign schwannoma (neurilemoma) has various morphologic patterns that may cause problems in differential diagnosis. Although an epithelioid variant of malignant schwannoma simulating carcinoma and melanoma is well recognized, a benign counterpart has not yet been defined. In the current study, we describe five cases of benign epithelioid schwannoma that were in the subcutis (four cases) and the neck of the urinary bladder (one case). The tumors occurred in adults 28-73 years of age, were 1-4.5 cm in diameter, were well circumscribed and cellular, and were composed of epithelioid cells arranged in cords and nests. The benign nature of the lesions was evident by a constellation of features, including small size, sharp circumscription, bland morphology, low proliferative activity (four of five had < or =1% Ki67 immunostaining), and a benign clinical course after either marginal or intralesional excision. All cases had some features of classic schwannoma light microscopically and a high degree of Schwann cell differentiation both ultrastructurally and immunohistochemically. The recognition of benign epithelioid schwannoma is important because it may be misinterpreted as a malignant neuroectodermal, mesenchymal, epithelioid, or melanocytic tumor.
本例不诊断为神经母细胞样神经鞘瘤( Neuroblastoma-like schwannoma )的原因如下:
文献中描述的神经母细胞瘤样神经鞘瘤的组织学特点是具有巨大的菊形团结构,细胞呈淋巴细胞样,细胞浆稀少;部分病例也有上皮样特点区域。因此从形态描述上,神经母细胞样神经鞘瘤与上皮样神经鞘瘤有共同点,有时难以区分。但是从实际诊断的角度,应当抓住病变的主要特征,当以菊形团结构为主时,宜诊断神经母细胞瘤样神经鞘瘤,当以上皮样细胞为主时,宜诊断上皮样神经鞘瘤。本例以上皮样特点为主,所以宜诊断为上皮样神经鞘瘤。
附上一些相关文献中的图:
gzdwanglin 离线
1、肯定是肿瘤。
2、肿物边界尚清,细胞大小较一致,形态较为“良善”,考虑良性的可能性大。
3、细胞之间似乎有边界,围血管聚集,结合细胞核的形态,考虑血管球瘤的可能性大。
4、建议做desmin\actin \vimentin\cd34,。
5、鉴别诊断:A. 皮肤meckle细胞癌(神经内分泌标记+、ck+)。
B。血管外皮细胞瘤:CD34+\desmin_,本例无鹿角样分枝的血管形态不太像。
C。淋巴瘤也要排除以下(做LCA等)。