共1页/7条首页上一页1下一页尾页
回复:7 阅读:6810
Case 1 - cytology FNA

HtYang 离线

帖子:46
粉蓝豆:6
经验:51
注册时间:2012-02-28
加关注  |  发消息
楼主 发表于 2012-02-28 12:08|举报|关注(0)
浏览排序[ 顺序 逆序 楼主 支持 精彩 ]  快捷回复
  • Case 1 - cytology FNA图1
    图1
  • Case 1 - cytology FNA图2
    图2
  • Case 1 - cytology FNA图3
    图3
  • Case 1 - cytology FNA图4
    图4
  • Case 1 - cytology FNA图5
    图5

 UPMC Case:

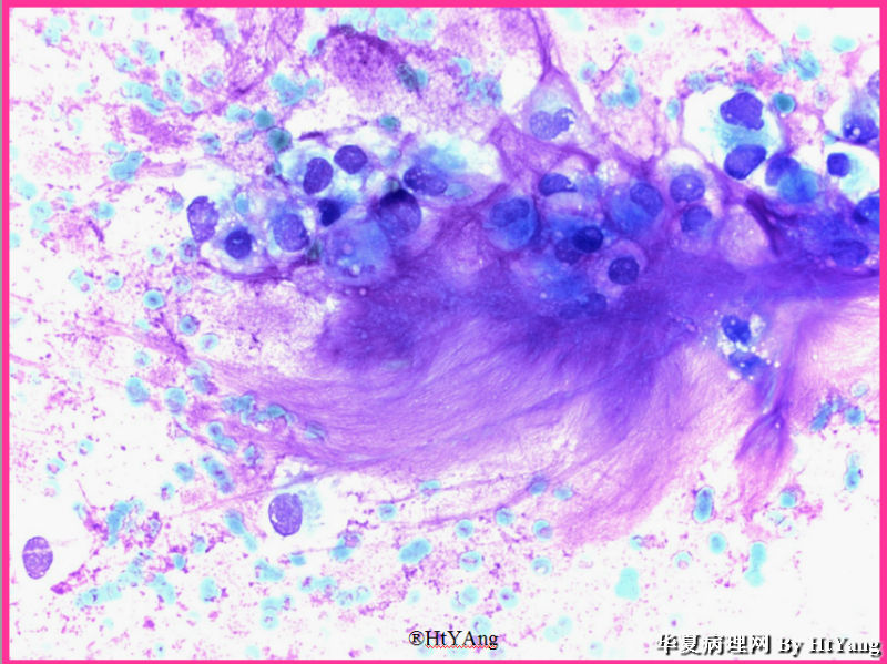
-- 59-year-old man, left chest wall/axilla mass, with history of chest wall  tumor,  US-guided FNA was performed.

标签:Soft Tissue FNA - Please make your primary diagnosis
0
添加参考诊断
×参考诊断
  

HtYang 离线

帖子:46
粉蓝豆:6
经验:51
注册时间:2012-02-28
加关注  |  发消息
7 楼    发表于2012-05-09 22:39:08举报|引用
返回顶部 | 快捷回复

 The final diagnosis is parachordoma.

Parachordoma:

-- rare soft-tissue tumor resembling extraskeletal myxoid chondrosarcoma and chordoma

-- age from 7 to 62 years (mean, 35 years)

-- Sites: subfascial masses of the thigh, arm, chest wall, and buttocks 

-- Histopath: large, rounded eosinophilic cells embedded in a matrix that varied from myxoid to densely hyaline and multivacuolated (physaliferouslike)

 cells

-- Special stains: matrix stained with Alcian blue (ph2.0)

-- IHC: 

* strongly expressed CK 8/18, but not the others 

* also positive for: expressed EMA, S-100, and vimentin

-- D/Dx: 

* chordoma --> Positive for CK 8/18 (15 of 15) and CK 1/10

extraskeletal myxoid chondrosarcoma --> consistently lacked CK



0
回复

HtYang 离线

帖子:46
粉蓝豆:6
经验:51
注册时间:2012-02-28
加关注  |  发消息
6 楼    发表于2012-05-09 22:30:14举报|引用
返回顶部 | 快捷回复

强子, thanks for your help. 

0
回复

强子 离线

帖子:950
粉蓝豆:535
经验:1218
注册时间:2007-10-28
加关注  |  发消息
5 楼    发表于2012-03-04 17:55:30举报|引用
返回顶部 | 快捷回复
本帖最后由 cqzhao 于 2012-03-04 23:19:43 编辑

弄成中文,供各位只看中文的老师指导。

59岁男性,左胸壁/腋窝肿物。曾有胸壁肿瘤病史。超声引导下行FNA

镜下如图

yang 老师提供补充信息如下

肿瘤细胞EMA, S-100, Vimentin, CK8/18 阳性,CK19阴性。

 

0
回复
signature
赚点散碎银子养家,乐呵呵的穿衣吃饭

TK1905 离线

帖子:962
粉蓝豆:283
经验:1054
注册时间:2010-03-14
加关注  |  发消息
4 楼    发表于2012-03-03 14:16:00举报|引用
返回顶部 | 快捷回复

Parachordoma/myoepithelioma?

Mucinous Carcinoma?

0
回复

cwang668 离线

帖子:53
粉蓝豆:3
经验:388
注册时间:2012-02-20
加关注  |  发消息
3 楼    发表于2012-03-03 07:18:58举报|引用
返回顶部 | 快捷回复

Some types of foreign body granuloma?

0
回复

HtYang 离线

帖子:46
粉蓝豆:6
经验:51
注册时间:2012-02-28
加关注  |  发消息
2 楼    发表于2012-03-03 03:29:43举报|引用
返回顶部 | 快捷回复

 Additional informtion of Case 1:
The immunohistochemical studies show the neoplastic cells are positive for EMA, S-100, Vimentin, CK8/18 but negative for CK19.

What is the most possible diagnosis (please think out side the box)?

0
回复

cqzhao 离线

帖子:5518
粉蓝豆:1071
经验:5755
注册时间:2008-09-29
加关注  |  发消息
1 楼    发表于2012-02-29 02:40:27举报|引用
返回顶部 | 快捷回复

 Thanks

1

HtYang
回复
回复:7 阅读:6810
共1页/7条首页上一页1下一页尾页
【免责声明】讨论内容仅作学术交流之用,不作为诊疗依据,由此而引起的法律问题作者及本站不承担任何责任。
快速回复
进入高级回复
您最多可输入10000个汉字,按 "Ctrl" + "Enter" 直接发送
搜索回复/乘电梯 ×
按内容
按会员
乘电梯
合作伙伴
友情链接