共1页/5条首页上一页1下一页尾页
回复:5 阅读:1969
宫颈肿物

湖北汉子 离线

帖子:92
粉蓝豆:2
经验:265
注册时间:2008-06-11
加关注  |  发消息
楼主 发表于 2012-02-27 13:39|举报|关注(0)
浏览排序[ 顺序 逆序 楼主 支持 精彩 ]  快捷回复
  • 宫颈肿物图1
    图1
  • 宫颈肿物图2
    图2
  • 宫颈肿物图3
    图3
  • 宫颈肿物图4
    图4
  • 宫颈肿物图5
    图5
  • 宫颈肿物图6
    图6
  • 宫颈肿物图7
    图7
  • 宫颈肿物图8
    图8

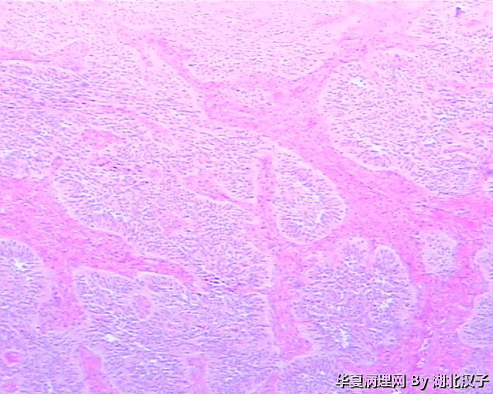
 48岁,宫颈肿物

标签:
0
添加参考诊断
×参考诊断
  

yueban 离线

帖子:623
粉蓝豆:22
经验:636
注册时间:2006-09-11
加关注  |  发消息
5 楼    发表于2012-02-27 17:39:24举报|引用
返回顶部 | 快捷回复

1、没见到正常宫颈组织;2、没见到肿瘤边缘,如果境界不清则不是平滑肌瘤。

1

sxm911
回复

葵葵 离线

帖子:372
粉蓝豆:5529
经验:2880
注册时间:2006-09-25
加关注  |  发消息
4 楼    发表于2012-02-27 17:02:04举报|引用
返回顶部 | 快捷回复

有腺腔样结构,宫颈的上皮状态与图片有相关吗?似巢状浸润。

0
回复

夏日 离线

帖子:1057
粉蓝豆:45
经验:1529
注册时间:2011-04-05
加关注  |  发消息
1 楼    发表于2012-02-27 13:55:54举报|引用
返回顶部 | 快捷回复

平滑肌瘤??

0
回复

xiaogang 离线

帖子:5664
粉蓝豆:48
经验:6068
注册时间:2008-12-18
加关注  |  发消息
2 楼    发表于2012-02-27 13:59:50举报|引用
返回顶部 | 快捷回复

平滑肌瘤,富于细胞。

0
回复

hys_603 离线

帖子:716
粉蓝豆:1
经验:988
注册时间:2008-06-18
加关注  |  发消息
3 楼    发表于2012-02-27 14:02:52举报|引用
返回顶部 | 快捷回复

平滑肌瘤,富于细胞?

0
回复
回复:5 阅读:1969
共1页/5条首页上一页1下一页尾页
【免责声明】讨论内容仅作学术交流之用,不作为诊疗依据,由此而引起的法律问题作者及本站不承担任何责任。
快速回复
进入高级回复
您最多可输入10000个汉字,按 "Ctrl" + "Enter" 直接发送
搜索回复/乘电梯 ×
按内容
按会员
乘电梯
合作伙伴
友情链接