共1页/4条首页上一页1下一页尾页
回复:4 阅读:1754
葡萄胎?

小鬼难缠 离线

帖子:393
粉蓝豆:510
经验:2502
注册时间:2009-01-24
加关注  |  发消息
楼主 发表于 2012-02-27 12:58|举报|关注(0)
浏览排序[ 顺序 逆序 楼主 支持 精彩 ]  快捷回复
  • 葡萄胎?图1
    图1
  • 葡萄胎?图2
    图2
  • 葡萄胎?图3
    图3
  • 葡萄胎?图4
    图4
  • 葡萄胎?图5
    图5
  • 葡萄胎?图6
    图6
  • 葡萄胎?图7
    图7
  • 葡萄胎?图8
    图8

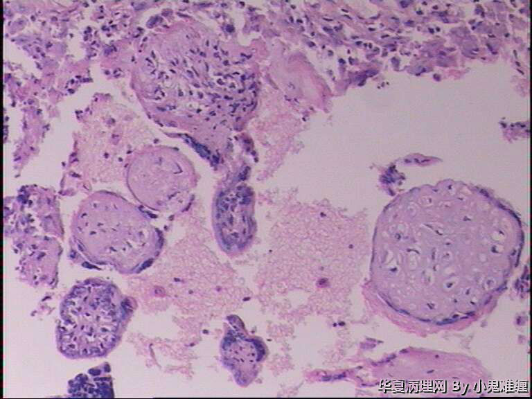
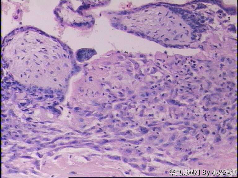
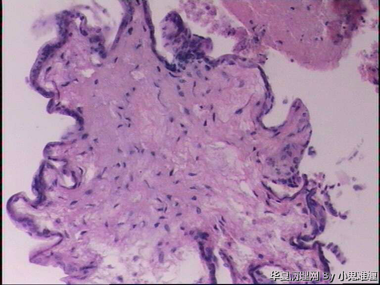
 女42岁,葡萄胎还是不全流产,如何鉴别

标签:
本帖最后由 小鬼难缠 于 2012-02-27 12:59:35 编辑
0
添加参考诊断
×参考诊断
  

夏日 离线

帖子:1057
粉蓝豆:45
经验:1529
注册时间:2011-04-05
加关注  |  发消息
1 楼    发表于2012-02-27 13:54:20举报|引用
返回顶部 | 快捷回复

不像葡萄胎

1

wfbjwt
回复

hys_603 离线

帖子:716
粉蓝豆:1
经验:988
注册时间:2008-06-18
加关注  |  发消息
2 楼    发表于2012-02-27 14:07:58举报|引用
返回顶部 | 快捷回复

不全流产。葡萄胎的绒毛间质水肿,血管消失,大小不一,滋养叶细胞再生。

0
回复

lvyinhua 离线

帖子:832
粉蓝豆:35
经验:1180
注册时间:2012-01-09
加关注  |  发消息
3 楼    发表于2012-02-27 15:49:43举报|引用
返回顶部 | 快捷回复

不全流产

0
回复

yueban 离线

帖子:623
粉蓝豆:22
经验:636
注册时间:2006-09-11
加关注  |  发消息
4 楼    发表于2012-02-27 17:41:46举报|引用
返回顶部 | 快捷回复

肉眼见到水泡了吗?

镜下没见到绒毛水肿及滋养叶细胞增生,不宜诊断葡萄胎。

0
回复
回复:4 阅读:1754
共1页/4条首页上一页1下一页尾页
【免责声明】讨论内容仅作学术交流之用,不作为诊疗依据,由此而引起的法律问题作者及本站不承担任何责任。
快速回复
进入高级回复
您最多可输入10000个汉字,按 "Ctrl" + "Enter" 直接发送
搜索回复/乘电梯 ×
按内容
按会员
乘电梯
合作伙伴
友情链接