共1页/3条首页上一页1下一页尾页
回复:3 阅读:3040
子宫肌瘤坏死,是何性质?!请指教!

dama0609 离线

帖子:613
粉蓝豆:1474
经验:708
注册时间:2008-09-08
加关注  |  发消息
楼主 发表于 2012-02-25 20:07|举报|关注(1)
浏览排序[ 顺序 逆序 楼主 支持 精彩 ]  快捷回复

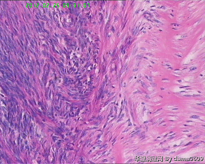
患者女性,48岁。临床未提供病史。
        妇科以“子宫肌瘤”手术,术中子宫光滑、与周围无粘连。
        追问患者家属病史,曾以药物治疗子宫肌瘤,具体情况不详。
        巨检:次全切子宫,v:9.0x7.0x5.5cm,肌壁间见两枚肌瘤样结节,一直径0.6cm,无特殊;另一直径7.0cm,切面实性、质中、灰白、编织状、隆起、与周围肌层界限清。二者均呈典型平滑肌瘤外观。但体积大者,中心处局部见灰黄绿色坏死灶,直径约2.0cm,不规则,中间有点状红色区。

学生问题:1、这样的坏死在子宫平滑肌瘤中常见到,肉眼观界清,镜下坏死灶与周围正常组织陡然分界,无移行带,又不见明显炎细胞浸润,故怀疑是否为凝固性坏死??坏死灶内坏死平滑肌细胞无异形性,但轮廓清晰可辨,是否为“鬼影细胞”?

2、此例坏死灶周围平滑肌组织核分裂像很容易见到,时而一个高倍视野竟有四个,如何解释、诊断?再者学生对平滑肌细胞核分裂像也不肯定,请老师指教,应该不是核固缩。

  • 子宫肌瘤坏死,是何性质?!请指教!图1
    图1
  • 子宫肌瘤坏死,是何性质?!请指教!图2
    图2
  • 子宫肌瘤坏死,是何性质?!请指教!图3
    图3
  • 子宫肌瘤坏死,是何性质?!请指教!图4
    图4
  • 子宫肌瘤坏死,是何性质?!请指教!图5
    图5
  • 子宫肌瘤坏死,是何性质?!请指教!图6
    图6
  • 子宫肌瘤坏死,是何性质?!请指教!图7
    图7
  • 子宫肌瘤坏死,是何性质?!请指教!图8
    图8
  • 子宫肌瘤坏死,是何性质?!请指教!图9
    图9
  • 子宫肌瘤坏死,是何性质?!请指教!图10
    图10
  • 子宫肌瘤坏死,是何性质?!请指教!图11
    图11
  • 子宫肌瘤坏死,是何性质?!请指教!图12
    图12
  • 子宫肌瘤坏死,是何性质?!请指教!图13
    图13
  • 子宫肌瘤坏死,是何性质?!请指教!图14
    图14
  • 子宫肌瘤坏死,是何性质?!请指教!图15
    图15
  • 子宫肌瘤坏死,是何性质?!请指教!图16
    图16
  • 子宫肌瘤坏死,是何性质?!请指教!图17
    图17
  • 子宫肌瘤坏死,是何性质?!请指教!图18
    图18
  • 子宫肌瘤坏死,是何性质?!请指教!图19
    图19
  • 子宫肌瘤坏死,是何性质?!请指教!图20
    图20
  • 子宫肌瘤坏死,是何性质?!请指教!图21
    图21
  • 子宫肌瘤坏死,是何性质?!请指教!图22
    图22
  • 子宫肌瘤坏死,是何性质?!请指教!图23
    图23
 
标签:
本帖最后由 dama0609 于 2012-02-25 20:16:34 编辑
0
signature
过河小马!
添加参考诊断
×参考诊断
  

fdnl 离线

帖子:18
粉蓝豆:1
经验:24
注册时间:2008-09-27
加关注  |  发消息
1 楼    发表于2012-02-25 21:29:46举报|引用
返回顶部 | 快捷回复

应为梗死.

0
回复

红胜火 离线

帖子:279
粉蓝豆:391
经验:432
注册时间:2010-07-12
加关注  |  发消息
3 楼    发表于2014-02-09 14:04:48举报|引用
返回顶部 | 快捷回复

此贴应与

http://bbs.ipathology.cn/article/135917.html

共同学习。

本例应为平滑肌瘤伴玻璃样坏死。

0
回复

蝴蝶兰dali2003 离线

帖子:12529
粉蓝豆:2448
经验:13098
注册时间:2009-09-06
加关注  |  发消息
2 楼    发表于2012-02-28 22:37:10举报|引用
返回顶部 | 快捷回复

细胞的轮廓还在,是梗死。

0
回复
signature
相逢是首歌,同行是你和我。
回复:3 阅读:3040
共1页/3条首页上一页1下一页尾页
【免责声明】讨论内容仅作学术交流之用,不作为诊疗依据,由此而引起的法律问题作者及本站不承担任何责任。
快速回复
进入高级回复
您最多可输入10000个汉字,按 "Ctrl" + "Enter" 直接发送
搜索回复/乘电梯 ×
按内容
按会员
乘电梯
合作伙伴
友情链接