共1页/4条首页上一页1下一页尾页
回复:4 阅读:2421
胸壁肿物

taoqimao 离线

帖子:286
粉蓝豆:397
经验:679
注册时间:2011-08-20
加关注  |  发消息
楼主 发表于 2012-02-24 21:43|举报|关注(1)
浏览排序[ 顺序 逆序 楼主 支持 精彩 ]  快捷回复

 

  • 胸壁肿物图1
    图1
  • 胸壁肿物图2
    图2
  • 胸壁肿物图3
    图3
  • 胸壁肿物图4
    图4
  • 胸壁肿物图5
    图5
  • 胸壁肿物图6
    图6
  • 胸壁肿物图7
    图7
  • 胸壁肿物图8
    图8
  • 胸壁肿物图9
    图9
  • 胸壁肿物图10
    图10
  • 胸壁肿物图11
    图11
  • 胸壁肿物图12
    图12
  • 胸壁肿物图13
    图13
  • 胸壁肿物图14
    图14
  • 胸壁肿物图15
    图15
  • 胸壁肿物图16
    图16
  • 胸壁肿物图17
    图17
  • 胸壁肿物图18
    图18
  • 胸壁肿物图19
    图19
  • 胸壁肿物图20
    图20
  • 胸壁肿物图21
    图21
  • 胸壁肿物图22
    图22
  • 胸壁肿物图23
    图23
  • 胸壁肿物图24
    图24
  • 胸壁肿物图25
    图25
  • 胸壁肿物图26
    图26
  • 胸壁肿物图27
    图27
  • 胸壁肿物图28
    图28
  • 胸壁肿物图29
    图29
  • 胸壁肿物图30
    图30
  • 胸壁肿物图31
    图31
  • 胸壁肿物图32
    图32
  • 胸壁肿物图33
    图33
  • 胸壁肿物图34
    图34
  • 胸壁肿物图35
    图35
  • 胸壁肿物图36
    图36
  • 胸壁肿物图37
    图37
  • 胸壁肿物图38
    图38
  • 胸壁肿物图39
    图39
  • 胸壁肿物图40
    图40
  • 胸壁肿物图41
    图41
  • 胸壁肿物图42
    图42
  • 胸壁肿物图43
    图43
  • 胸壁肿物图44
    图44
  • 胸壁肿物图45
    图45
  • 胸壁肿物图46
    图46
  • 胸壁肿物图47
    图47
  • 胸壁肿物图48
    图48
  • 胸壁肿物图49
    图49
  • 胸壁肿物图50
    图50
 
标签:胸壁肿物
0
signature
一个人的心态决定她的生活

相关帖子

添加参考诊断
×参考诊断
  

安迪 离线

帖子:598
粉蓝豆:3525
经验:849
注册时间:2011-03-04
加关注  |  发消息
4 楼    发表于2012-02-26 20:42:53举报|引用
返回顶部 | 快捷回复

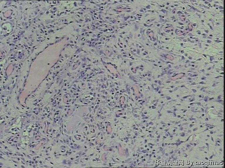
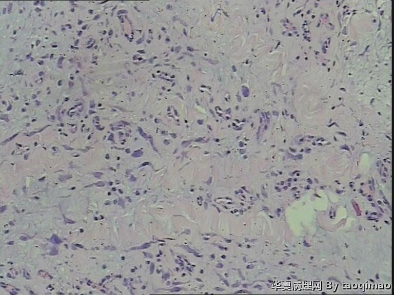
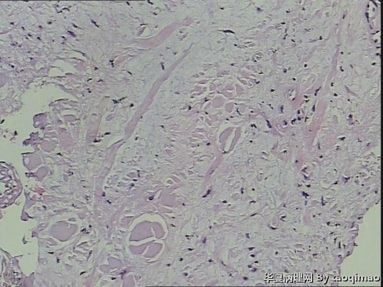
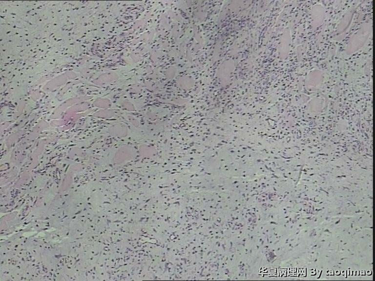
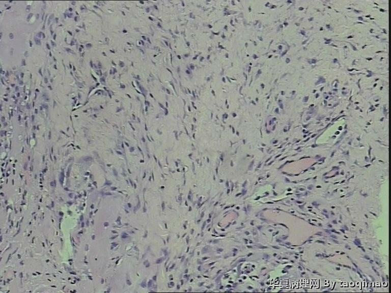
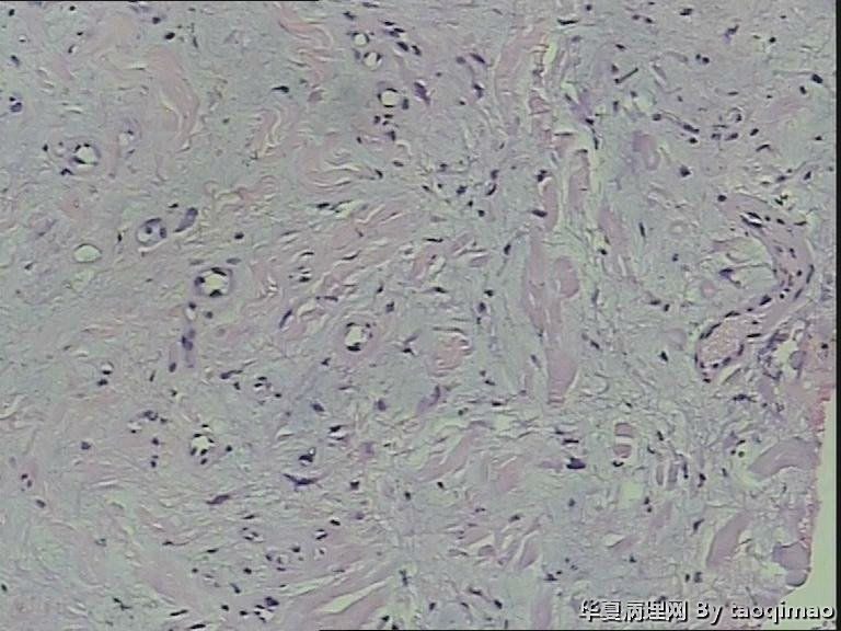
结节性筋膜炎+神经节样细胞+肌肉浸润=增生性肌炎。

0
回复

wfbjwt 离线

帖子:6628
粉蓝豆:163
经验:7418
注册时间:2006-10-08
加关注  |  发消息
3 楼    发表于2012-02-26 20:27:09举报|引用
返回顶部 | 快捷回复

 考虑:坏死性筋膜炎,结节性筋膜炎,粘液瘤,脂肪肉瘤,神经纤维瘤等。

0
回复
signature
嫁人就嫁灰太狼,学习要上华夏网。

greatcyz 离线

帖子:158
粉蓝豆:25
经验:168
注册时间:2008-04-01
加关注  |  发消息
2 楼    发表于2012-02-24 22:05:46举报|引用
返回顶部 | 快捷回复

 粗略看了下,对软组织病变不是很在行,初步印象是增生性肌炎,几个图像里小血管内皮肿胀,周围炎细胞浸润,结合临床除外血管炎或者自身免疫相关疾病。

关注学习本例最终结果哈。

0
回复
signature
幸福就是每天变得比昨天更智慧,更健康,更博爱,更宽怀。

taoqimao 离线

帖子:286
粉蓝豆:397
经验:679
注册时间:2011-08-20
加关注  |  发消息
1 楼    发表于2012-02-24 21:45:56举报|引用
返回顶部 | 快捷回复

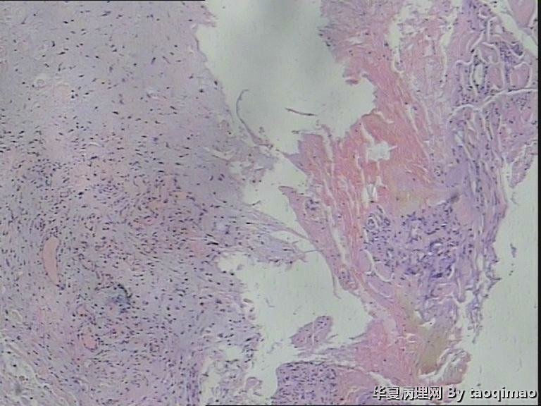
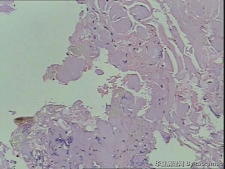
男,54岁,右侧胸壁肿物发现1月余,取材:灰白色不规则组织一块2*1.7*0.5cm,剖面实性灰白色,质韧。

0
回复
signature
一个人的心态决定她的生活
回复:4 阅读:2421
共1页/4条首页上一页1下一页尾页
【免责声明】讨论内容仅作学术交流之用,不作为诊疗依据,由此而引起的法律问题作者及本站不承担任何责任。
快速回复
进入高级回复
您最多可输入10000个汉字,按 "Ctrl" + "Enter" 直接发送
搜索回复/乘电梯 ×
按内容
按会员
乘电梯
合作伙伴
友情链接