共1页/9条首页上一页1下一页尾页
回复:9 阅读:5073
左侧颞叶及胼胝体膝部占位

下弦月 离线

帖子:161
粉蓝豆:25
经验:256
注册时间:2007-04-12
加关注  |  发消息
楼主 发表于 2012-02-23 23:34|举报|关注(0)
浏览排序[ 顺序 逆序 楼主 支持 精彩 ]  快捷回复

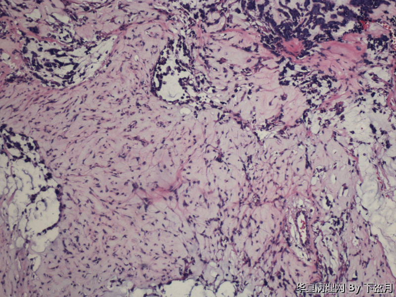
 左侧颞叶及胼胝体膝部占位图1

名称:图1
描述:HE 40倍
左侧颞叶及胼胝体膝部占位图2
名称:图2
描述:HE 100倍
左侧颞叶及胼胝体膝部占位图3
名称:图3
描述:HE 100倍-2
左侧颞叶及胼胝体膝部占位图4
名称:图4
描述:HE 100-3
左侧颞叶及胼胝体膝部占位图5
名称:图5
描述:HE 100倍-4
左侧颞叶及胼胝体膝部占位图6
名称:图6
描述:HE 400倍
左侧颞叶及胼胝体膝部占位图7
名称:图7
描述:HE 400-2
左侧颞叶及胼胝体膝部占位图8
名称:图8
描述:HE 400倍-3
左侧颞叶及胼胝体膝部占位图9
名称:图9
描述:400-4
左侧颞叶及胼胝体膝部占位图10
名称:图10
描述:CK 100倍
左侧颞叶及胼胝体膝部占位图11
名称:图11
描述:EMA 100倍
左侧颞叶及胼胝体膝部占位图12
名称:图12
描述:GFAP 100倍
左侧颞叶及胼胝体膝部占位图13
名称:图13
描述:GFAP 200倍
左侧颞叶及胼胝体膝部占位图14
名称:图14
描述:Ki67 100倍
左侧颞叶及胼胝体膝部占位图15
名称:图15
描述:S100 100倍
左侧颞叶及胼胝体膝部占位图16
名称:图16
描述:S100 200倍
左侧颞叶及胼胝体膝部占位图17
名称:图17
描述:无标题
左侧颞叶及胼胝体膝部占位图18
名称:图18
描述:无标题2
左侧颞叶及胼胝体膝部占位图19
名称:图19
描述:无标题3
左侧颞叶及胼胝体膝部占位图20
名称:图20
描述:无标题4
标签:脑肿瘤
0
添加参考诊断
×参考诊断
  

何生 离线

帖子:1281
粉蓝豆:68
经验:6304
注册时间:2009-04-18
加关注  |  发消息
7 楼    发表于2012-02-28 09:46:22举报|引用
返回顶部 | 快捷回复

从图1可见肿瘤似位于脑皮质外围,有粘液背景,部分如脊索瘤样,倾向于脊索瘤样脑膜瘤。

0
回复
signature
何生

江湖 离线

帖子:195
粉蓝豆:1500
经验:423
注册时间:2009-02-15
加关注  |  发消息
4 楼    发表于2012-02-25 19:58:37举报|引用
返回顶部 | 快捷回复

chordoid meningioma

0
回复

亚梦 离线

帖子:239
粉蓝豆:12
经验:275
注册时间:2010-09-26
加关注  |  发消息
9 楼    发表于2012-02-28 21:51:50举报|引用
返回顶部 | 快捷回复

EMA阴性,考虑脊索瘤样胶质瘤

0
回复

蝴蝶兰dali2003 离线

帖子:12529
粉蓝豆:2448
经验:13098
注册时间:2009-09-06
加关注  |  发消息
5 楼    发表于2012-02-26 22:41:31举报|引用
返回顶部 | 快捷回复

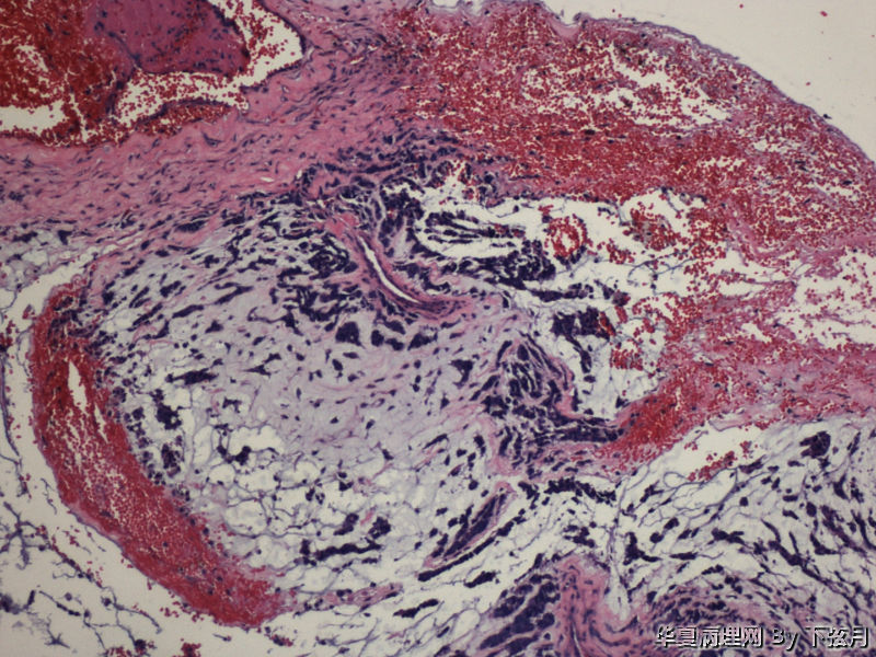
有血管轴乳头,粘液样物中漂浮的细胞呈团块状和小乳头状。支持粘液型乳头状室管膜瘤。

0
回复
signature
相逢是首歌,同行是你和我。

下弦月 离线

帖子:161
粉蓝豆:25
经验:256
注册时间:2007-04-12
加关注  |  发消息
6 楼    发表于2012-02-27 08:35:14举报|引用
返回顶部 | 快捷回复

 粘液型乳头状室管膜瘤:好发于年轻人,几乎毫无例外位于圆锥-马尾终丝区。组织学Ⅰ肿瘤细胞围绕血管粘液样间质为轴心,排列成乳头状为特点。本例是老年人,位于左侧颞叶及胼胝体膝部,年龄和位置不太相符。另外本例Ki-67指数有点高。有点疑惑

0
回复

下弦月 离线

帖子:161
粉蓝豆:25
经验:256
注册时间:2007-04-12
加关注  |  发消息
8 楼    发表于2012-02-28 19:47:06举报|引用
返回顶部 | 快捷回复

 AT/RT有可能吗?

0
回复

下弦月 离线

帖子:161
粉蓝豆:25
经验:256
注册时间:2007-04-12
加关注  |  发消息
1 楼    发表于2012-02-23 23:36:14举报|引用
返回顶部 | 快捷回复
求诊断?谢谢
0
回复

fyshan 离线

帖子:910
粉蓝豆:0
经验:968
注册时间:2006-10-04
加关注  |  发消息
2 楼    发表于2012-02-24 04:36:21举报|引用
返回顶部 | 快捷回复

This enhancing lesion with GFAP positive cells and should consider some type of glioma, probably high-grade.

 

But some cells in fig 7 and 8 are worrisome, need to rule out other type tumors, like chordoma. Other small round blue cell tumors.

 

 

0
回复

广秀 离线

帖子:2711
粉蓝豆:1246
经验:3502
注册时间:2009-09-15
加关注  |  发消息
3 楼    发表于2012-02-24 06:39:49举报|引用
返回顶部 | 快捷回复

考虑黏液型乳头状室管膜瘤

丰富黏液背景,漂浮乳头状或簇状分布的瘤细胞,免疫组化GFAP,S-100阳性。

0
回复
signature
人淡如菊,心素如简。
回复:9 阅读:5073
共1页/9条首页上一页1下一页尾页
【免责声明】讨论内容仅作学术交流之用,不作为诊疗依据,由此而引起的法律问题作者及本站不承担任何责任。
快速回复
进入高级回复
您最多可输入10000个汉字,按 "Ctrl" + "Enter" 直接发送
搜索回复/乘电梯 ×
按内容
按会员
乘电梯
合作伙伴
友情链接