共1页/16条首页上一页1下一页尾页
回复:16 阅读:3428
B3937求助!乳腺包块。

wolflovepig 离线

帖子:675
粉蓝豆:55
经验:9062
注册时间:2007-08-25
加关注  |  发消息
楼主 发表于 2012-02-23 16:06|举报|关注(0)
浏览排序[ 顺序 逆序 楼主 支持 精彩 ]  快捷回复

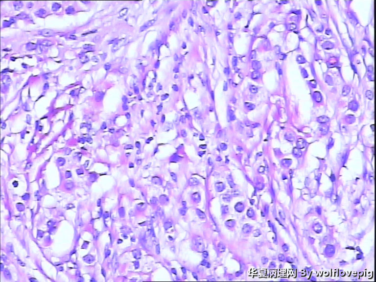
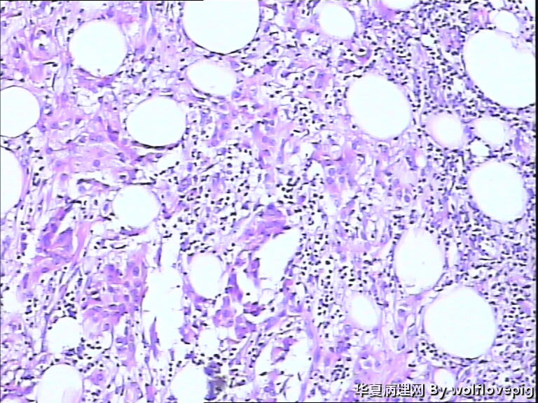
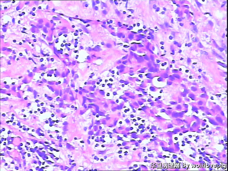
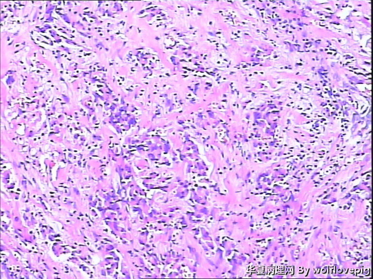
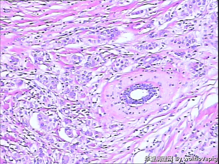
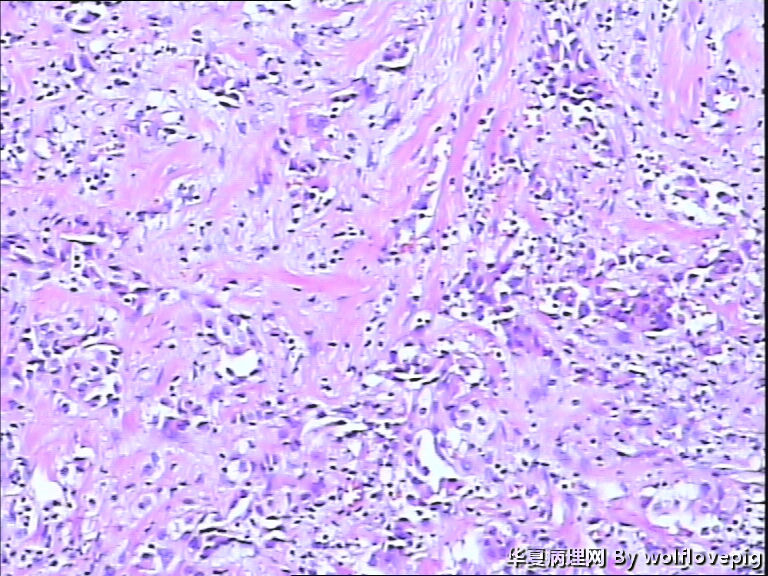
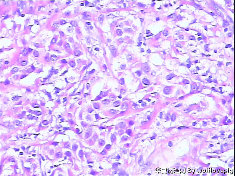
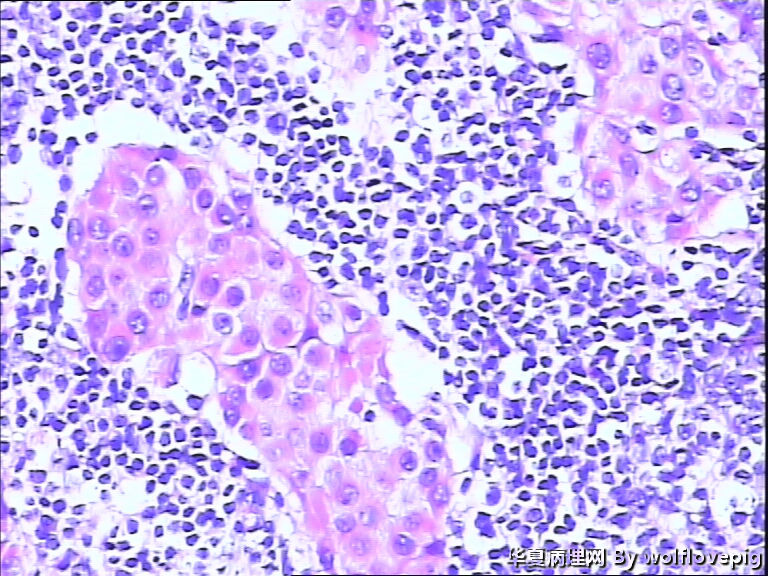
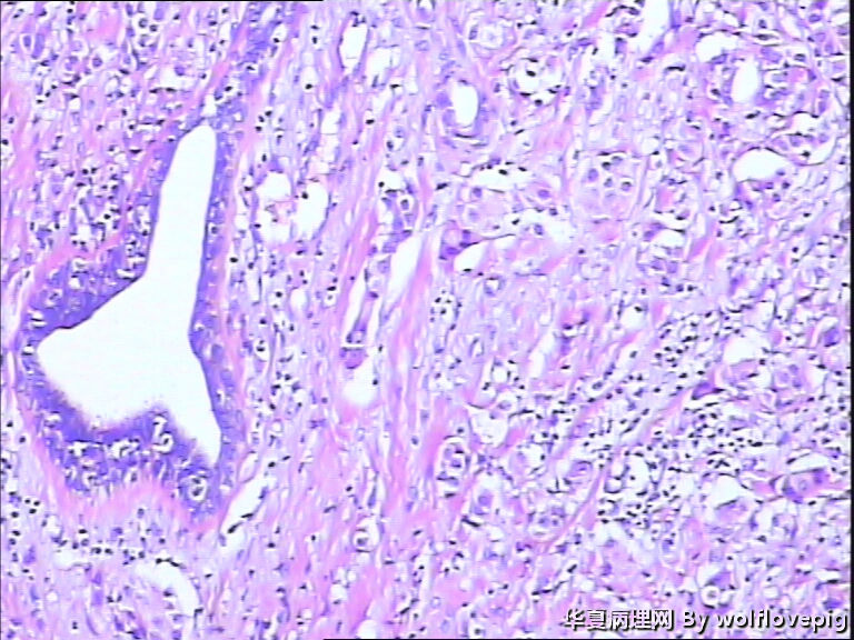
 女,60y,发现右乳包块6+月。

灰白不整形组织一块:3*2*1.5cm,切面有一灰白区域,边界欠清,质韧。

  • 求助!乳腺包块。图1
    图1
  • 求助!乳腺包块。图2
    图2
  • 求助!乳腺包块。图3
    图3
  • 求助!乳腺包块。图4
    图4
  • 求助!乳腺包块。图5
    图5
  • 求助!乳腺包块。图6
    图6
  • 求助!乳腺包块。图7
    图7
  • 求助!乳腺包块。图8
    图8
  • 求助!乳腺包块。图9
    图9
  • 求助!乳腺包块。图10
    图10
  • 求助!乳腺包块。图11
    图11
  • 求助!乳腺包块。图12
    图12
  • 求助!乳腺包块。图13
    图13

标签:乳腺浸润性癌
0
添加参考诊断
×参考诊断
  

泉水叮咚响 离线

帖子:2163
粉蓝豆:113
经验:11663
注册时间:2010-12-30
加关注  |  发消息
1 楼    发表于2012-02-23 16:12:08举报|引用
返回顶部 | 快捷回复

 需要标记了

0
回复
signature
刀不磨会生锈,人不学习会落后。

刀尖上的舞者 离线

帖子:1763
粉蓝豆:87
经验:3356
注册时间:2010-12-14
加关注  |  发消息
2 楼    发表于2012-02-23 16:16:17举报|引用
返回顶部 | 快捷回复

学习了,

0
回复

hazzjun 离线

帖子:167
粉蓝豆:31
经验:202
注册时间:2007-01-17
加关注  |  发消息
3 楼    发表于2012-02-24 16:11:20举报|引用
返回顶部 | 快捷回复

浸润性癌。

0
回复

阿娇 离线

帖子:2054
粉蓝豆:3318
经验:2384
注册时间:2008-05-31
加关注  |  发消息
4 楼    发表于2012-02-24 17:20:09举报|引用
返回顶部 | 快捷回复

发癌应该没有问题。

0
回复

tingke 离线

帖子:62
粉蓝豆:3
经验:127
注册时间:2007-12-23
加关注  |  发消息
5 楼    发表于2012-02-24 17:24:17举报|引用
返回顶部 | 快捷回复

浸润性导管癌,最好标记肌上皮。

1

强子
回复

何生 离线

帖子:1281
粉蓝豆:68
经验:6304
注册时间:2009-04-18
加关注  |  发消息
6 楼    发表于2012-02-25 09:34:45举报|引用
返回顶部 | 快捷回复

浸润性导管癌

0
回复
signature
何生

美人鱼2003 离线

帖子:375
粉蓝豆:374
经验:503
注册时间:2011-08-09
加关注  |  发消息
7 楼    发表于2012-02-25 09:37:49举报|引用
返回顶部 | 快捷回复

浸润性导管癌

1

寿小燕
回复

greatcyz 离线

帖子:158
粉蓝豆:25
经验:168
注册时间:2008-04-01
加关注  |  发消息
8 楼    发表于2012-02-25 16:35:36举报|引用
返回顶部 | 快捷回复

 浸润性导管癌,分化差,除外混合癌(导管癌+小叶癌),免疫组化证实。(本例图像很多,局部炎症反应重,瘤细胞还成合体样无腺管形成似髓样癌,局部似炎性乳癌,局部似小叶癌,呵呵)

0
回复
signature
幸福就是每天变得比昨天更智慧,更健康,更博爱,更宽怀。

刀尖上的舞者 离线

帖子:1763
粉蓝豆:87
经验:3356
注册时间:2010-12-14
加关注  |  发消息
9 楼    发表于2012-02-25 18:06:31举报|引用
返回顶部 | 快捷回复

在各位老师的指导下,我稍微能看出一些恶性特征了。

0
回复

tianhui77 离线

帖子:731
粉蓝豆:217
经验:1242
注册时间:2009-08-27
加关注  |  发消息
10 楼    发表于2012-02-25 18:08:10举报|引用
返回顶部 | 快捷回复

浸润性导管癌,标记肌上皮

0
回复

二土匪 离线

帖子:771
粉蓝豆:23
经验:1213
注册时间:2011-10-11
加关注  |  发消息
11 楼    发表于2012-02-25 19:45:44举报|引用
返回顶部 | 快捷回复

浸润性导管癌

0
回复
signature
红尘中有独处的心,独处时有红尘的怀抱。

zysy 离线

帖子:71
粉蓝豆:21
经验:267
注册时间:2009-05-10
加关注  |  发消息
12 楼    发表于2012-02-25 20:06:47举报|引用
返回顶部 | 快捷回复

浸润性导管癌

0
回复

1394361892 离线

帖子:655
粉蓝豆:12
经验:1275
注册时间:2011-09-04
加关注  |  发消息
13 楼    发表于2012-02-25 20:14:20举报|引用
返回顶部 | 快捷回复

浸润性导管癌

0
回复

ahhbhzlin 离线

帖子:3090
粉蓝豆:50
经验:11826
注册时间:2008-07-24
加关注  |  发消息
14 楼    发表于2012-02-25 20:16:45举报|引用
返回顶部 | 快捷回复

浸润性导管癌

0
回复

未知陨石 离线

帖子:479
粉蓝豆:13
经验:559
注册时间:2010-09-11
加关注  |  发消息
15 楼    发表于2012-02-25 21:01:09举报|引用
返回顶部 | 快捷回复

 图不是很清楚,浸润性癌

0
回复
signature

笑傲江湖 离线

帖子:548
粉蓝豆:14
经验:748
注册时间:2009-04-07
加关注  |  发消息
16 楼    发表于2012-02-25 22:55:09举报|引用
返回顶部 | 快捷回复

浸润性癌,采集图片时显微镜光线太亮,以致片子不清楚。

0
回复
回复:16 阅读:3428
共1页/16条首页上一页1下一页尾页
【免责声明】讨论内容仅作学术交流之用,不作为诊疗依据,由此而引起的法律问题作者及本站不承担任何责任。
快速回复
进入高级回复
您最多可输入10000个汉字,按 "Ctrl" + "Enter" 直接发送
搜索回复/乘电梯 ×
按内容
按会员
乘电梯
合作伙伴
友情链接