共3页/58条首页上一页123下一页尾页
回复:58 阅读:12071
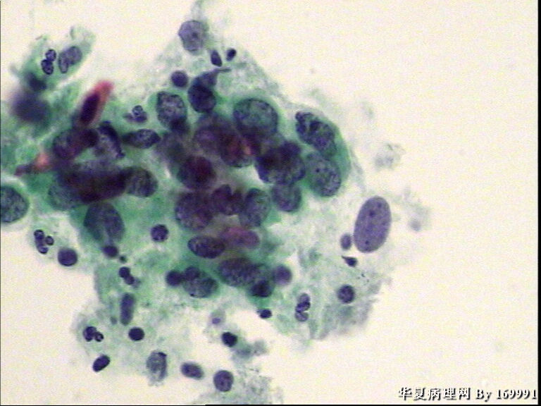
宫颈液基,患者60岁,宫颈轻糜,鳞癌?

169991 离线

帖子:542
粉蓝豆:132
经验:1174
注册时间:2006-11-15
加关注  |  发消息
楼主 发表于 2012-02-20 19:47|举报|关注(2)
浏览排序[ 顺序 逆序 楼主 支持 精彩 ]  快捷回复
  • 宫颈液基,患者60岁,宫颈轻糜,鳞癌?图1
    图1
  • 宫颈液基,患者60岁,宫颈轻糜,鳞癌?图2
    图2
  • 宫颈液基,患者60岁,宫颈轻糜,鳞癌?图3
    图3
  • 宫颈液基,患者60岁,宫颈轻糜,鳞癌?图4
    图4
  • 宫颈液基,患者60岁,宫颈轻糜,鳞癌?图5
    图5
  • 宫颈液基,患者60岁,宫颈轻糜,鳞癌?图6
    图6
  • 宫颈液基,患者60岁,宫颈轻糜,鳞癌?图7
    图7
  • 宫颈液基,患者60岁,宫颈轻糜,鳞癌?图8
    图8
  • 宫颈液基,患者60岁,宫颈轻糜,鳞癌?图9
    图9
  • 宫颈液基,患者60岁,宫颈轻糜,鳞癌?图10
    图10
  • 宫颈液基,患者60岁,宫颈轻糜,鳞癌?图11
    图11
  • 宫颈液基,患者60岁,宫颈轻糜,鳞癌?图12
    图12
  • 宫颈液基,患者60岁,宫颈轻糜,鳞癌?图13
    图13
  • 宫颈液基,患者60岁,宫颈轻糜,鳞癌?图14
    图14
  • 宫颈液基,患者60岁,宫颈轻糜,鳞癌?图15
    图15

 

标签:
0
添加参考诊断
×参考诊断
  

dbz19701110 离线

帖子:384
粉蓝豆:60
经验:817
注册时间:2008-08-23
加关注  |  发消息
21 楼    发表于2012-02-26 09:44:33举报|引用
返回顶部 | 快捷回复

HSIL,疑SCC,建议活检。

0
回复
signature
邹冬梅

xuexiaoqing 离线

帖子:520
粉蓝豆:2252
经验:3795
注册时间:2011-08-29
加关注  |  发消息
22 楼    发表于2012-02-26 10:30:02举报|引用
返回顶部 | 快捷回复

鳞癌

0
回复
signature
XUEXIAOQING

枫叶011 离线

帖子:673
粉蓝豆:11
经验:1549
注册时间:2011-05-19
加关注  |  发消息
23 楼    发表于2012-02-26 10:56:05举报|引用
返回顶部 | 快捷回复
引用 4 楼 二土匪 在 2012-02-20 20:05:45 的发言:

是鳞还是腺,有待研究,建议活检与诊刮 


0
回复

tangguiming 离线

帖子:66
粉蓝豆:2
经验:178
注册时间:2012-02-19
加关注  |  发消息
24 楼    发表于2012-02-26 12:16:50举报|引用
返回顶部 | 快捷回复

考虑鳞癌 但不排除腺癌,建议结合临床观察和病史。

0
回复

zhang840415 离线

帖子:58
粉蓝豆:3
经验:100
注册时间:2011-02-21
加关注  |  发消息
25 楼    发表于2012-02-26 15:03:09举报|引用
返回顶部 | 快捷回复

HSIL不除外SCC

0
回复

fym 离线

帖子:103
粉蓝豆:28
经验:219
注册时间:2008-04-10
加关注  |  发消息
26 楼    发表于2012-02-26 16:27:10举报|引用
返回顶部 | 快捷回复

HSIL,疑SCC,建议活检

0
回复

yzh1234 离线

帖子:5
粉蓝豆:337
经验:1140
注册时间:2011-10-05
加关注  |  发消息
27 楼    发表于2012-02-26 16:33:47举报|引用
返回顶部 | 快捷回复

HSIL不排除SCC

 

 

 

 

0
回复
signature
杨朝晖

安迪 离线

帖子:598
粉蓝豆:3525
经验:849
注册时间:2011-03-04
加关注  |  发消息
28 楼    发表于2012-02-26 16:49:06举报|引用
返回顶部 | 快捷回复

HSIL。细胞学中尽量不要报鳞癌,等待组织学是明智的。

0
回复

xuanxuan 离线

帖子:266
粉蓝豆:1
经验:547
注册时间:2010-08-22
加关注  |  发消息
29 楼    发表于2012-02-26 17:52:24举报|引用
返回顶部 | 快捷回复

SHIL

0
回复

美美 离线

帖子:2
粉蓝豆:1
经验:2
注册时间:2012-02-26
加关注  |  发消息
30 楼    发表于2012-02-26 22:08:36举报|引用
返回顶部 | 快捷回复

应该是鳞癌

 

0
回复
signature
好好学习

左右逢源 离线

帖子:2052
粉蓝豆:68
经验:2526
注册时间:2009-12-23
加关注  |  发消息
31 楼    发表于2012-02-26 23:46:20举报|引用
返回顶部 | 快捷回复
引用 15 楼 琳琳 在 2012-02-24 19:46:26 的发言:

细胞是有问题,细胞核体积增大,核浆比增大,核的异型性也有。但是我们一般不敢打得太过,我觉得是HSIL,建议组织活检。


1

懒人一个
回复
signature
不憧憬明天,不留念昨天,只把握今天。

xymady 离线

帖子:1887
粉蓝豆:27
经验:2057
注册时间:2007-04-24
加关注  |  发消息
32 楼    发表于2012-02-27 08:31:36举报|引用
返回顶部 | 快捷回复

这例如果有临床检查或者病史的提示,如:数月的不规则出血或菜花样宫颈或临床高度怀疑宫颈癌等,可直接诊断鳞癌;如果临床未见明显的异常,那还是判读为HSIL,建议活检稳妥些。

0
回复

泉水叮咚响 离线

帖子:2163
粉蓝豆:113
经验:11663
注册时间:2010-12-30
加关注  |  发消息
33 楼    发表于2012-02-27 10:13:30举报|引用
返回顶部 | 快捷回复

 HSIL

0
回复
signature
刀不磨会生锈,人不学习会落后。

zjyfly120 离线

帖子:365
粉蓝豆:20
经验:474
注册时间:2011-05-25
加关注  |  发消息
34 楼    发表于2012-02-27 19:47:13举报|引用
返回顶部 | 快捷回复

除鳞外腺也有问题

0
回复

XUESHENG 离线

帖子:5
粉蓝豆:1
经验:9
注册时间:2012-02-24
加关注  |  发消息
35 楼    发表于2012-02-28 10:06:14举报|引用
返回顶部 | 快捷回复

新手不知对不对,认为腺也有问题。

0
回复

meihao 离线

帖子:635
粉蓝豆:275
经验:1820
注册时间:2011-10-12
加关注  |  发消息
36 楼    发表于2012-02-28 10:47:27举报|引用
返回顶部 | 快捷回复

HSIL,建议宫颈活检。

 

0
回复
signature
感谢华夏病理网!

csx学习 离线

帖子:198
粉蓝豆:5
经验:605
注册时间:2009-08-21
加关注  |  发消息
37 楼    发表于2012-02-28 11:22:46举报|引用
返回顶部 | 快捷回复

鳞癌

0
回复

筷子 离线

帖子:2819
粉蓝豆:899
经验:8895
注册时间:2010-01-01
加关注  |  发消息
38 楼    发表于2012-02-28 14:05:53举报|引用
返回顶部 | 快捷回复

拙见:鳞癌。

0
回复
signature
G→A

169991 离线

帖子:542
粉蓝豆:132
经验:1174
注册时间:2006-11-15
加关注  |  发消息
39 楼    发表于2012-02-28 19:51:25举报|引用
返回顶部 | 快捷回复

 宫颈活检结果:宫颈原位癌,累腺。

0
回复

金易龙 离线

帖子:14679
粉蓝豆:45
经验:17262
注册时间:2012-02-28
加关注  |  发消息
40 楼    发表于2012-02-28 21:43:45举报|引用
返回顶部 | 快捷回复

起码是个典型的HSIL  细胞病理一般 好像直接报癌症还是不多吧 病检必须

0
回复
signature

经典再现


回复:58 阅读:12071
共3页/58条首页上一页123下一页尾页
【免责声明】讨论内容仅作学术交流之用,不作为诊疗依据,由此而引起的法律问题作者及本站不承担任何责任。
快速回复
进入高级回复
您最多可输入10000个汉字,按 "Ctrl" + "Enter" 直接发送
搜索回复/乘电梯 ×
按内容
按会员
乘电梯
合作伙伴
友情链接