共2页/26条首页上一页12下一页尾页
回复:26 阅读:6947
椎管内肿物

taoqimao 离线

帖子:286
粉蓝豆:397
经验:679
注册时间:2011-08-20
加关注  |  发消息
楼主 发表于 2012-02-20 19:45|举报|关注(0)
浏览排序[ 顺序 逆序 楼主 支持 精彩 ]  快捷回复

 

  • 椎管内肿物图1
    图1
  • 椎管内肿物图2
    图2
  • 椎管内肿物图3
    图3
  • 椎管内肿物图4
    图4
  • 椎管内肿物图5
    图5
  • 椎管内肿物图6
    图6
  • 椎管内肿物图7
    图7
  • 椎管内肿物图8
    图8
  • 椎管内肿物图9
    图9
  • 椎管内肿物图10
    图10
  • 椎管内肿物图11
    图11
  • 椎管内肿物图12
    图12
  • 椎管内肿物图13
    图13
  • 椎管内肿物图14
    图14
  • 椎管内肿物图15
    图15
  • 椎管内肿物图16
    图16
  • 椎管内肿物图17
    图17
  • 椎管内肿物图18
    图18
  • 椎管内肿物图19
    图19
  • 椎管内肿物图20
    图20
  • 椎管内肿物图21
    图21
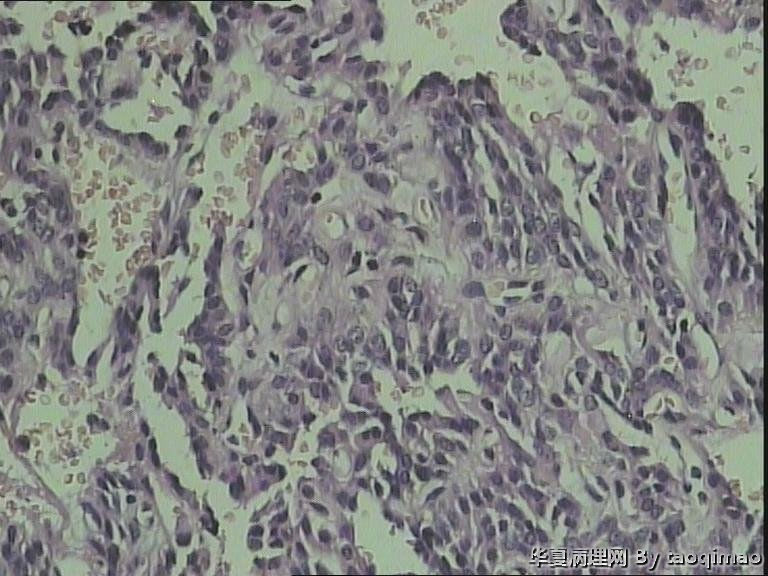
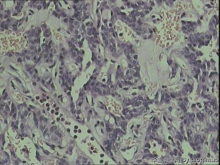
  女 49岁,腰部及右下肢麻木坠胀1月
术中在椎管内,拨开马尾神经,可见椎体后缘约2*1cm实性肿物,与马尾神经粘连,边界清晰。
肉眼:红褐色不规则组织一块,2.5*1cm。剖面暗红兼灰白质软。
标签:椎管肿物
0
signature
一个人的心态决定她的生活
添加参考诊断
×参考诊断
  

taoqimao 离线

帖子:286
粉蓝豆:397
经验:679
注册时间:2011-08-20
加关注  |  发消息
1 楼    发表于2012-02-20 19:48:25举报|引用
返回顶部 | 快捷回复

希望各位老师帮助诊断一下,等待学习

0
回复
signature
一个人的心态决定她的生活

wfbjwt 离线

帖子:6628
粉蓝豆:163
经验:7418
注册时间:2006-10-08
加关注  |  发消息
2 楼    发表于2012-02-20 19:51:52举报|引用
返回顶部 | 快捷回复

室管膜瘤?

0
回复
signature
嫁人就嫁灰太狼,学习要上华夏网。

dl789521 离线

帖子:20
粉蓝豆:21
经验:100
注册时间:2008-09-04
加关注  |  发消息
3 楼    发表于2012-02-20 19:55:18举报|引用
返回顶部 | 快捷回复

考虑粘液乳头型室管膜瘤。好发部位为圆锥和终丝

6

yangsi03

jinsongl..

lg7391

whwwhw

200406

wang4160
回复

亚梦 离线

帖子:239
粉蓝豆:12
经验:275
注册时间:2010-09-26
加关注  |  发消息
4 楼    发表于2012-02-20 21:39:40举报|引用
返回顶部 | 快捷回复

室管膜瘤

0
回复

江湖 离线

帖子:195
粉蓝豆:1500
经验:423
注册时间:2009-02-15
加关注  |  发消息
5 楼    发表于2012-02-20 22:17:18举报|引用
返回顶部 | 快捷回复

Paraganglioma

0
回复

taoqimao 离线

帖子:286
粉蓝豆:397
经验:679
注册时间:2011-08-20
加关注  |  发消息
6 楼    发表于2012-02-20 22:35:38举报|引用
返回顶部 | 快捷回复
引用 5 楼 江湖 在 2012-02-20 22:17:18 的发言:

Paraganglioma

那么免疫组化要做什么么

0
回复
signature
一个人的心态决定她的生活

zhouquan 离线

帖子:7752
粉蓝豆:302
经验:8263
注册时间:2008-11-09
加关注  |  发消息
7 楼    发表于2012-02-20 22:38:17举报|引用
返回顶部 | 快捷回复

粘液乳头型室管膜瘤

0
回复
signature
成功不是得到多少东西,而是把身上多余的东西的扔掉多少。   

广秀 离线

帖子:2711
粉蓝豆:1246
经验:3502
注册时间:2009-09-15
加关注  |  发消息
8 楼    发表于2012-02-20 22:47:05举报|引用
返回顶部 | 快捷回复

乳头型室管膜瘤

1、瘤细胞低柱状或立方形,大小形态较一致,围绕血管形成乳头状或假菊形团样,部分胞浆突起形成明显的无核区。

2、脊髓是室管膜的好发部位,经常会有相应的运动和感觉神经障碍。

3、鉴别:脉络丛乳头状瘤。免疫组化:室管膜瘤 CK(-),EMA(+),GFAP(+);而脉络丛乳头状瘤CK(+),GFAP(-).

2

yangsi03

jinsongl..
回复
signature
人淡如菊,心素如简。

fyshan 离线

帖子:910
粉蓝豆:0
经验:968
注册时间:2006-10-04
加关注  |  发消息
9 楼    发表于2012-02-21 01:29:31举报|引用
返回顶部 | 快捷回复

From your description, the first choice should be myxopapillary ependymoma.

0
回复

Danrs 离线

帖子:1445
粉蓝豆:176
经验:3050
注册时间:2008-12-09
加关注  |  发消息
10 楼    发表于2012-02-21 08:34:43举报|引用
返回顶部 | 快捷回复

片中可以看见假菊形团结构,结合部位,应该是室管膜瘤。学习了。

0
回复

hyl76 离线

帖子:781
粉蓝豆:656
经验:3771
注册时间:2007-06-05
加关注  |  发消息
11 楼    发表于2012-02-21 10:09:26举报|引用
返回顶部 | 快捷回复

室管膜瘤乳头型

0
回复
signature
学无止境,不进则退!

taoqimao 离线

帖子:286
粉蓝豆:397
经验:679
注册时间:2011-08-20
加关注  |  发消息
12 楼    发表于2012-02-21 19:57:58举报|引用
返回顶部 | 快捷回复

各位老师不好意思,忘记把u盘拿回来了,今天做了5项免疫组化,CgA(+),S-100(+),CD34(-),EMA(-),Ki-67(-)。请各位老师进一步指教,我们没有CK,所以做的EMA。

0
回复
signature
一个人的心态决定她的生活

fyshan 离线

帖子:910
粉蓝豆:0
经验:968
注册时间:2006-10-04
加关注  |  发消息
13 楼    发表于2012-02-22 01:04:05举报|引用
返回顶部 | 快捷回复

If you have GFAP, you may do it but the diagnosis should be based on H&E stained slides, and this is a WHO grade 1 myxopapillary ependymoma.

 

0
回复

hxxtl 离线

帖子:709
粉蓝豆:565
经验:3217
注册时间:2009-01-07
加关注  |  发消息
14 楼    发表于2012-02-22 17:04:48举报|引用
返回顶部 | 快捷回复

粘液乳头型室管膜瘤。此病人发病部位特殊(马尾),组织学(乳头+粘液)也非常典型,是个很好的病例,可以作为教学片了,明确诊断应该没问题。

本病本质上为生长缓慢的胶质瘤(WHO I级)。免疫组化:GFAP(+),S-100(+),Vim(+),CK(-)。

0
回复
signature
集腋成裘 厚积薄发

hxxtl 离线

帖子:709
粉蓝豆:565
经验:3217
注册时间:2009-01-07
加关注  |  发消息
15 楼    发表于2012-02-22 17:09:48举报|引用
返回顶部 | 快捷回复

粘液乳头型室管膜瘤几乎毫无例外地发生于马尾终丝。

0
回复
signature
集腋成裘 厚积薄发

阿娇 离线

帖子:2054
粉蓝豆:3320
经验:2384
注册时间:2008-05-31
加关注  |  发消息
16 楼    发表于2012-02-22 17:25:51举报|引用
返回顶部 | 快捷回复

粘液乳头型室管膜瘤

0
回复

mugua 离线

帖子:262
粉蓝豆:731
经验:506
注册时间:2010-05-11
加关注  |  发消息
17 楼    发表于2012-02-22 17:42:28举报|引用
返回顶部 | 快捷回复

很好的病例,学习了

0
回复

taoqimao 离线

帖子:286
粉蓝豆:397
经验:679
注册时间:2011-08-20
加关注  |  发消息
18 楼    发表于2012-02-22 19:13:26举报|引用
返回顶部 | 快捷回复

谢谢各位老师帮助解答,我学习了,感谢hxxtl,fyshan,和广秀老师的详细解答。

0
回复
signature
一个人的心态决定她的生活

亚梦 离线

帖子:239
粉蓝豆:12
经验:275
注册时间:2010-09-26
加关注  |  发消息
19 楼    发表于2012-02-22 22:59:46举报|引用
返回顶部 | 快捷回复
引用 12 楼 taoqimao 在 2012-02-21 19:57:58 的发言:

各位老师不好意思,忘记把u盘拿回来了,今天做了5项免疫组化,CgA(+),S-100(+),CD34(-),EMA(-),Ki-67(-)。请各位老师进一步指教,我们没有CK,所以做的EMA。

室管膜瘤EMA应为阳性,本例为阴性?GFAP?

本例乳头状结构明显,但黏液背景不明显。

不典型病例。

0
回复

taoqimao 离线

帖子:286
粉蓝豆:397
经验:679
注册时间:2011-08-20
加关注  |  发消息
20 楼    发表于2012-02-22 23:04:39举报|引用
返回顶部 | 快捷回复
引用 19 楼 亚梦 在 2012-02-22 22:59:46 的发言:
引用 12 楼 taoqimao 在 2012-02-21 19:57:58 的发言:

各位老师不好意思,忘记把u盘拿回来了,今天做了5项免疫组化,CgA(+),S-100(+),CD34(-),EMA(-),Ki-67(-)。请各位老师进一步指教,我们没有CK,所以做的EMA。

室管膜瘤EMA应为阳性,本例为阴性?GFAP?

本例乳头状结构明显,但黏液背景不明显。

不典型病例。

本来主任要做GFAP的可是上级医院没给出这个诊断,让我们做的那几个指标,嗨,这病人是医保所以比较麻烦每多做一项

0
回复
signature
一个人的心态决定她的生活
回复:26 阅读:6947
共2页/26条首页上一页12下一页尾页
【免责声明】讨论内容仅作学术交流之用,不作为诊疗依据,由此而引起的法律问题作者及本站不承担任何责任。
快速回复
进入高级回复
您最多可输入10000个汉字,按 "Ctrl" + "Enter" 直接发送
搜索回复/乘电梯 ×
按内容
按会员
乘电梯
合作伙伴
友情链接