共1页/9条首页上一页1下一页尾页
回复:9 阅读:3602
求助 皮肤病例

baixuefeng 离线

帖子:73
粉蓝豆:422
经验:411
注册时间:2006-10-21
加关注  |  发消息
楼主 发表于 2012-02-20 11:52|举报|关注(2)
浏览排序[ 顺序 逆序 楼主 支持 精彩 ]  快捷回复

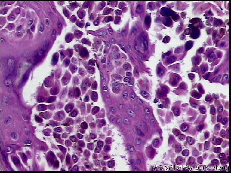
 患者 女性 发现腰部皮肤肿物月余,表面0.5灰褐色结节

  • 求助 皮肤病例图1
    图1*40
  • 求助 皮肤病例图2
    图2*100
  • 求助 皮肤病例图3
    图3*100
  • 求助 皮肤病例图4
    图4*200
标签:
0
添加参考诊断
×参考诊断
  

zwjx 离线

帖子:19
粉蓝豆:1
经验:19
注册时间:2010-01-18
加关注  |  发消息
1 楼    发表于2012-02-20 12:22:32举报|引用
返回顶部 | 快捷回复

没异型性,考虑脂溢性角化

0
回复

kint123 离线

帖子:1620
粉蓝豆:240
经验:2095
注册时间:2009-01-31
加关注  |  发消息
2 楼    发表于2012-02-20 14:57:57举报|引用
返回顶部 | 快捷回复

标记S-100,看看是不是个痣,如Spitz痣

也有可能是毛囊角化病或疣状角化不良瘤或棘层松解性的皮肤病变,图太少,不好确定

0
回复
signature
The More We See, The Less We Know!

一棵小草 离线

帖子:5101
粉蓝豆:12
经验:7184
注册时间:2008-07-07
加关注  |  发消息
3 楼    发表于2012-02-20 21:53:02举报|引用
返回顶部 | 快捷回复

棘层松解性棘皮瘤?

1

夏日
回复

黄祥杰 离线

帖子:216
粉蓝豆:14
经验:220
注册时间:2009-10-04
加关注  |  发消息
4 楼    发表于2012-03-18 21:17:59举报|引用
返回顶部 | 快捷回复

考虑恶黑

0
回复

甜甜 离线

帖子:3184
粉蓝豆:112
经验:3353
注册时间:2012-03-22
加关注  |  发消息
5 楼    发表于2012-03-26 09:10:05举报|引用
返回顶部 | 快捷回复

考虑恶黑.图太少,不好确定

0
回复
signature
我努力,我坚持就会有美好的成果。

tianhui77 离线

帖子:731
粉蓝豆:217
经验:1242
注册时间:2009-08-27
加关注  |  发消息
6 楼    发表于2012-03-26 22:00:23举报|引用
返回顶部 | 快捷回复

棘层松解性棘皮瘤

0
回复

一棵小草 离线

帖子:5101
粉蓝豆:12
经验:7184
注册时间:2008-07-07
加关注  |  发消息
7 楼    发表于2012-04-14 23:07:49举报|引用
返回顶部 | 快捷回复

大家踊跃讨论!

0
回复

lcyxxm 离线

帖子:13332
粉蓝豆:9
经验:14051
注册时间:2006-10-25
加关注  |  发消息
8 楼    发表于2012-04-14 23:40:12举报|引用
返回顶部 | 快捷回复

应该能排除恶黑吧,

0
回复
signature

祝平 离线

帖子:2130
粉蓝豆:19
经验:3720
注册时间:2012-03-10
加关注  |  发消息
9 楼    发表于2012-04-15 07:28:55举报|引用
返回顶部 | 快捷回复

恶黑我不考虑,

支持棘层松解性棘皮瘤。鉴别Spitz痣。

0
回复
signature
病理小笨。我爱病理。
回复:9 阅读:3602
共1页/9条首页上一页1下一页尾页
【免责声明】讨论内容仅作学术交流之用,不作为诊疗依据,由此而引起的法律问题作者及本站不承担任何责任。
快速回复
进入高级回复
您最多可输入10000个汉字,按 "Ctrl" + "Enter" 直接发送
搜索回复/乘电梯 ×
按内容
按会员
乘电梯
合作伙伴
友情链接