共1页/20条首页上一页1下一页尾页
回复:20 阅读:4699
腺体非典型增生?是宫腔还是宫颈??

kdyd 离线

帖子:175
粉蓝豆:1424
经验:411
注册时间:2009-09-26
加关注  |  发消息
楼主 发表于 2012-02-18 18:34|举报|关注(0)
浏览排序[ 顺序 逆序 楼主 支持 精彩 ]  快捷回复

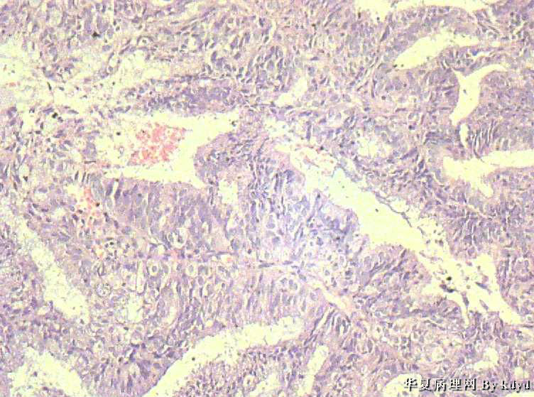
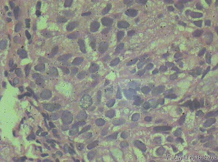
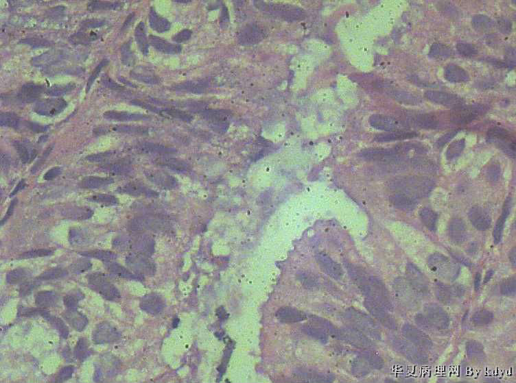
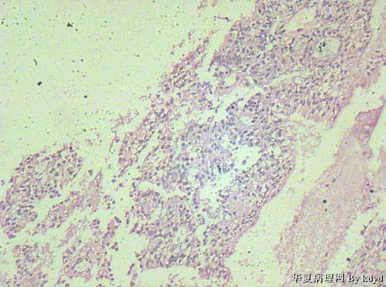
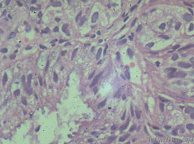
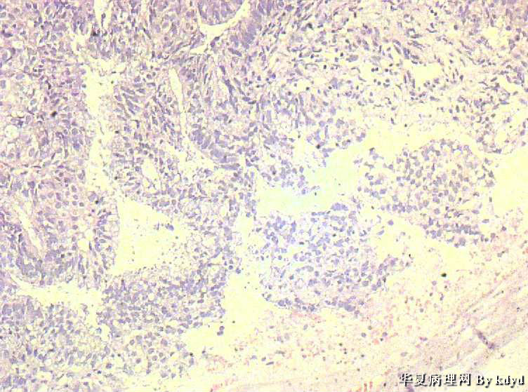
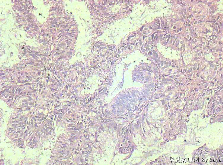
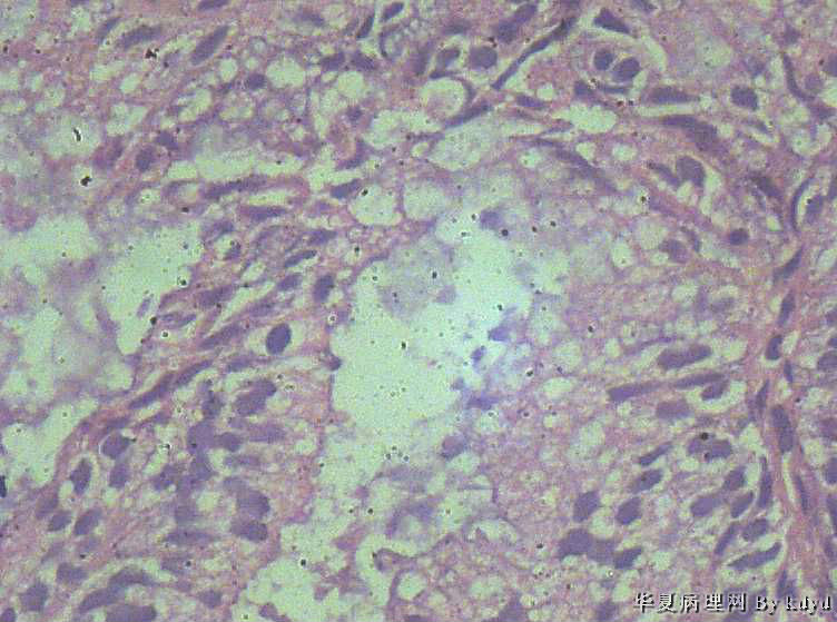
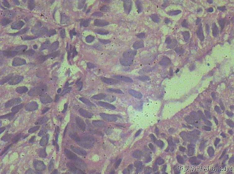
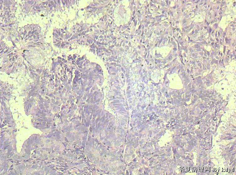
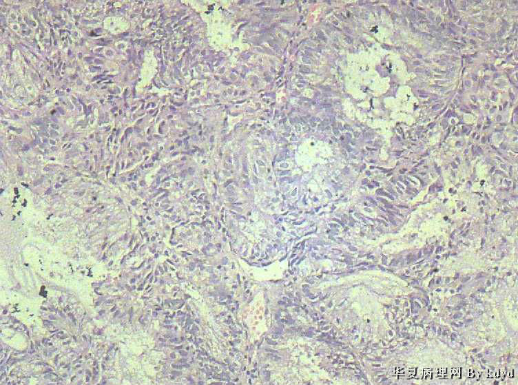
 51岁,停经一年后,阴道流血。行宫腔诊刮。

B超示:宫腔有一赘生物大小1.5*2.5大小。

肉眼观:少许粘液及碎组织。(全包)

疑问:1。腺体呈复杂性增生伴不典型增生?

           2。腺体有分泌反应,有些腺体看上去又像是宫颈的腺体(手术医生说是宫腔取的)?

           3。怎样报告???

  • 腺体非典型增生?是宫腔还是宫颈??图1
    图1
  • 腺体非典型增生?是宫腔还是宫颈??图2
    图2
  • 腺体非典型增生?是宫腔还是宫颈??图3
    图3
  • 腺体非典型增生?是宫腔还是宫颈??图4
    图4
  • 腺体非典型增生?是宫腔还是宫颈??图5
    图5
  • 腺体非典型增生?是宫腔还是宫颈??图6
    图1
  • 腺体非典型增生?是宫腔还是宫颈??图7
    图2
  • 腺体非典型增生?是宫腔还是宫颈??图8
    图3
  • 腺体非典型增生?是宫腔还是宫颈??图9
    图4
  • 腺体非典型增生?是宫腔还是宫颈??图10
    图5
  • 腺体非典型增生?是宫腔还是宫颈??图11
    图6
  • 腺体非典型增生?是宫腔还是宫颈??图12
    图7
  • 腺体非典型增生?是宫腔还是宫颈??图13
    图8
  • 腺体非典型增生?是宫腔还是宫颈??图14
    图9
  • 腺体非典型增生?是宫腔还是宫颈??图15
    图10
标签:
本帖最后由 kdyd 于 2012-02-20 17:41:30 编辑
0
添加参考诊断
×参考诊断
  

jiangxiaoyu 离线

帖子:978
粉蓝豆:15
经验:1226
注册时间:2007-10-31
加关注  |  发消息
1 楼    发表于2012-02-18 19:42:24举报|引用
返回顶部 | 快捷回复

复杂性增生

0
回复

cklas 离线

帖子:880
粉蓝豆:0
经验:1016
注册时间:2011-05-19
加关注  |  发消息
2 楼    发表于2012-02-18 19:48:58举报|引用
返回顶部 | 快捷回复

复杂性增生伴中-重度不典型增生

0
回复
signature
从事病理需要付出更多!并非人人都适合本专业!

夏日 离线

帖子:1057
粉蓝豆:45
经验:1529
注册时间:2011-04-05
加关注  |  发消息
3 楼    发表于2012-02-18 20:02:56举报|引用
返回顶部 | 快捷回复

复杂性增生

0
回复

开心辞典 离线

帖子:966
粉蓝豆:345
经验:5049
注册时间:2009-09-09
加关注  |  发消息
4 楼    发表于2012-02-18 20:59:43举报|引用
返回顶部 | 快捷回复

复杂性增生,低倍图太少

0
回复

kdyd 离线

帖子:175
粉蓝豆:1424
经验:411
注册时间:2009-09-26
加关注  |  发消息
5 楼    发表于2012-02-20 17:42:45举报|引用
返回顶部 | 快捷回复

 朋友  现上传了几张低倍的

0
回复

亡羊补牢 离线

帖子:1304
粉蓝豆:2
经验:2118
注册时间:2010-09-29
加关注  |  发消息
6 楼    发表于2012-02-20 20:02:55举报|引用
返回顶部 | 快捷回复

腺体密集,有背靠背、共壁,有乳头状结构,有核异性性,有病理核分裂:

子宫内膜中-重度不典型增生,癌变不能排除

2

kdyd

huocheng..
回复
signature

一花一世界,一木一浮生

流波上的舞爱豆豆 离线

帖子:14
粉蓝豆:1
经验:16
注册时间:2012-02-20
加关注  |  发消息
7 楼    发表于2012-02-20 20:04:04举报|引用
返回顶部 | 快捷回复

复杂性增生伴不典型增生。

1

meihao
回复

二土匪 离线

帖子:771
粉蓝豆:23
经验:1213
注册时间:2011-10-11
加关注  |  发消息
8 楼    发表于2012-02-20 20:22:48举报|引用
返回顶部 | 快捷回复

够癌了吧

0
回复
signature
红尘中有独处的心,独处时有红尘的怀抱。

chenzhenwei110 离线

帖子:275
粉蓝豆:131
经验:383
注册时间:2009-05-31
加关注  |  发消息
9 楼    发表于2012-02-20 20:27:27举报|引用
返回顶部 | 快捷回复

应该够癌了。

0
回复
signature
做好自己。

东北鱼 离线

帖子:442
粉蓝豆:212
经验:538
注册时间:2011-11-06
加关注  |  发消息
10 楼    发表于2012-02-20 20:27:59举报|引用
返回顶部 | 快捷回复

复杂性增生

0
回复
signature
不经一番寒彻骨,哪得梅花扑鼻香!

kdyd 离线

帖子:175
粉蓝豆:1424
经验:411
注册时间:2009-09-26
加关注  |  发消息
11 楼    发表于2012-02-20 23:13:03举报|引用
返回顶部 | 快捷回复
 报了个 复杂性增生伴轻-中度不典型增生。 以跟医生交代了一下,叫病人最好 进一步检查 。
0
回复

zhangyajing 离线

帖子:500
粉蓝豆:4
经验:610
注册时间:2008-03-23
加关注  |  发消息
12 楼    发表于2012-02-20 23:44:21举报|引用
返回顶部 | 快捷回复

宫内膜间质消失,子宫内膜癌

0
回复

流波上的舞爱豆豆 离线

帖子:14
粉蓝豆:1
经验:16
注册时间:2012-02-20
加关注  |  发消息
13 楼    发表于2012-02-29 20:16:32举报|引用
返回顶部 | 快捷回复

现在回过头来看这个片子,又觉得够上癌了呢。

0
回复

xuexiaoqing 离线

帖子:520
粉蓝豆:2252
经验:3795
注册时间:2011-08-29
加关注  |  发消息
14 楼    发表于2012-02-29 20:28:28举报|引用
返回顶部 | 快捷回复

子宫内膜样癌

0
回复
signature
XUEXIAOQING

200406 离线

帖子:1385
粉蓝豆:145
经验:2735
注册时间:2011-08-08
加关注  |  发消息
15 楼    发表于2012-02-29 21:16:21举报|引用
返回顶部 | 快捷回复

宫内膜样癌(高分化)。组织腺体拥挤、背靠背、血管纤维轴心乳头状,间质细胞消失代之纤维。

0
回复

zcm729868 离线

帖子:200
粉蓝豆:95
经验:210
注册时间:2011-11-27
加关注  |  发消息
16 楼    发表于2012-02-29 22:07:27举报|引用
返回顶部 | 快捷回复

复杂性增生伴不典型增生,可疑癌变

0
回复

山川 离线

帖子:324
粉蓝豆:18
经验:926
注册时间:2010-12-28
加关注  |  发消息
17 楼    发表于2012-02-29 22:26:07举报|引用
返回顶部 | 快捷回复

子宫内膜重度不典型增生,癌变。

0
回复
signature
看图识字

greenlover2011 离线

帖子:6
粉蓝豆:1
经验:65
注册时间:2011-02-22
加关注  |  发消息
18 楼    发表于2012-03-01 10:20:04举报|引用
返回顶部 | 快捷回复

图太少,不敢诊断

0
回复

charles 离线

帖子:220
粉蓝豆:3
经验:1949
注册时间:2011-01-21
加关注  |  发消息
19 楼    发表于2012-03-01 10:31:51举报|引用
返回顶部 | 快捷回复

子宫内膜样癌。

0
回复

林业病理 离线

帖子:40
粉蓝豆:138
经验:187
注册时间:2011-12-01
加关注  |  发消息
20 楼    发表于2012-03-01 11:16:59举报|引用
返回顶部 | 快捷回复

腺癌,内膜和宫颈的很难区分,可结合免疫组化,ER\PR,上色就应该是内膜来源,不上色就是宫颈了

0
回复
回复:20 阅读:4699
共1页/20条首页上一页1下一页尾页
【免责声明】讨论内容仅作学术交流之用,不作为诊疗依据,由此而引起的法律问题作者及本站不承担任何责任。
快速回复
进入高级回复
您最多可输入10000个汉字,按 "Ctrl" + "Enter" 直接发送
搜索回复/乘电梯 ×
按内容
按会员
乘电梯
合作伙伴
友情链接