共1页/15条首页上一页1下一页尾页
回复:15 阅读:3933
B3933右乳腺肿物

泉水叮咚响 离线

帖子:2163
粉蓝豆:113
经验:11663
注册时间:2010-12-30
加关注  |  发消息
楼主 发表于 2012-02-18 17:43|举报|关注(0)
浏览排序[ 顺序 逆序 楼主 支持 精彩 ]  快捷回复

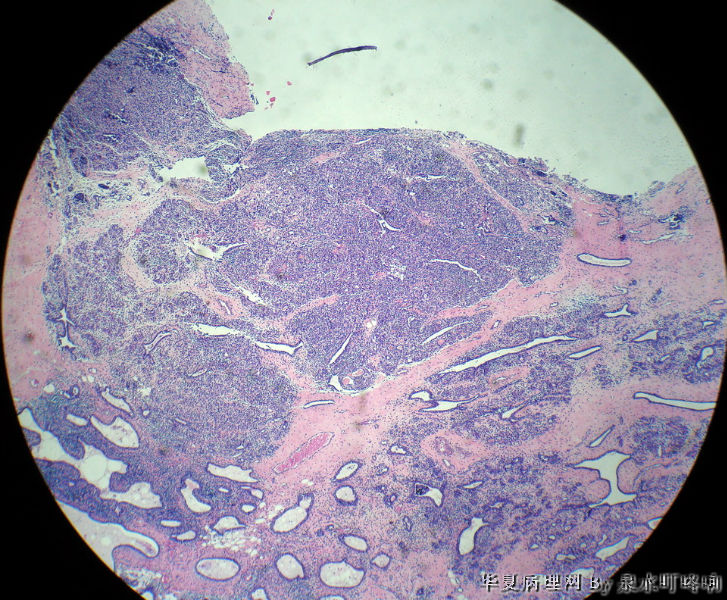
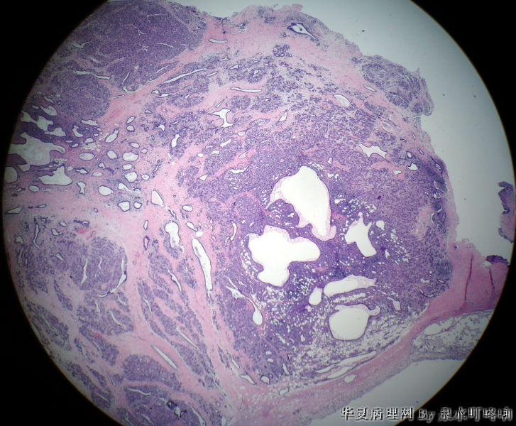
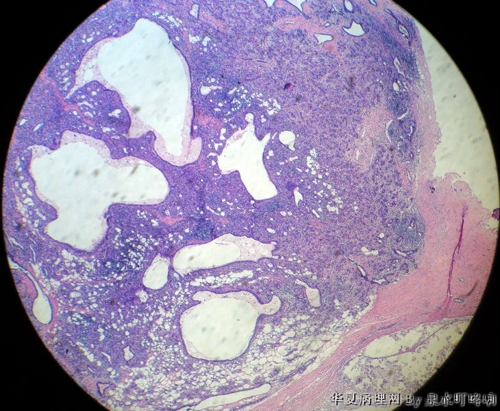
 120213,女,23岁,右乳腺肿物半年,术中见肿物为多房性囊性肿物,内容黄色粘稠液体。
大体:灰白囊性肿物一个,大小约3×2×1.9厘米,局部囊壁增厚。

  • 右乳腺肿物图1
    图1
  • 右乳腺肿物图2
    图2
  • 右乳腺肿物图3
    图3
  • 右乳腺肿物图4
    图4
  • 右乳腺肿物图5
    图5
  • 右乳腺肿物图6
    图6
  • 右乳腺肿物图7
    图7
  • 右乳腺肿物图8
    图8
  • 右乳腺肿物图9
    图9
  • 右乳腺肿物图10
    图10
  • 右乳腺肿物图11
    图11
  • 右乳腺肿物图12
    图12
  • 右乳腺肿物图13
    图13
  • 右乳腺肿物图14
    图14
  • 右乳腺肿物图15
    图15
标签:乳腺腺病 导管扩张囊性变 淋巴细胞性乳腺炎
0
signature
刀不磨会生锈,人不学习会落后。
添加参考诊断
×参考诊断
  

hyl76 离线

帖子:781
粉蓝豆:656
经验:3771
注册时间:2007-06-05
加关注  |  发消息
9 楼    发表于2012-02-20 09:12:44举报|引用
返回顶部 | 快捷回复

良性病变,乳腺导管扩张症

1

dongguoy..
回复
signature
学无止境,不进则退!

zhouquan 离线

帖子:7752
粉蓝豆:302
经验:8263
注册时间:2008-11-09
加关注  |  发消息
8 楼    发表于2012-02-19 11:55:40举报|引用
返回顶部 | 快捷回复

淋巴细胞性乳腺小叶炎伴囊肿形成

0
回复
signature
成功不是得到多少东西,而是把身上多余的东西的扔掉多少。   

zhanglei 离线

帖子:3751
粉蓝豆:2077
经验:3901
注册时间:2006-09-26
加关注  |  发消息
1 楼    发表于2012-02-18 17:47:38举报|引用
返回顶部 | 快捷回复

低倍小叶结构存在,炎细胞,导管扩张=炎症,考虑导管扩张症。

0
回复

cklas 离线

帖子:880
粉蓝豆:0
经验:1016
注册时间:2011-05-19
加关注  |  发消息
2 楼    发表于2012-02-18 18:01:04举报|引用
返回顶部 | 快捷回复

囊性增生

0
回复
signature
从事病理需要付出更多!并非人人都适合本专业!

伊恋佳人 离线

帖子:1258
粉蓝豆:505
经验:1714
注册时间:2010-03-13
加关注  |  发消息
3 楼    发表于2012-02-18 19:00:51举报|引用
返回顶部 | 快捷回复

考虑乳腺囊性增生症。

0
回复

1394361892 离线

帖子:655
粉蓝豆:12
经验:1275
注册时间:2011-09-04
加关注  |  发消息
4 楼    发表于2012-02-18 19:05:36举报|引用
返回顶部 | 快捷回复
引用 3 楼 伊恋佳人 在 2012-02-18 19:00:51 的发言:

考虑乳腺囊性增生症。


0
回复

ths35 离线

帖子:271
粉蓝豆:7047
经验:765
注册时间:2010-04-15
加关注  |  发消息
13 楼    发表于2012-02-20 23:00:15举报|引用
返回顶部 | 快捷回复

乳腺腺病+导管扩张+慢性炎症

0
回复

zhangyajing 离线

帖子:500
粉蓝豆:4
经验:610
注册时间:2008-03-23
加关注  |  发消息
14 楼    发表于2012-02-20 23:48:14举报|引用
返回顶部 | 快捷回复

乳腺腺病伴导管扩张

0
回复

xiaocaodi 离线

帖子:855
粉蓝豆:46
经验:1917
注册时间:2006-10-21
加关注  |  发消息
5 楼    发表于2012-02-18 21:42:01举报|引用
返回顶部 | 快捷回复

乳腺囊性增生症

0
回复

qiaoqiao 离线

帖子:4186
粉蓝豆:143
经验:6715
注册时间:2011-08-04
加关注  |  发消息
15 楼    发表于2012-02-22 21:00:00举报|引用
返回顶部 | 快捷回复

考虑乳腺囊性增生症。

0
回复
signature
天生我才必我用

大为 离线

帖子:78
粉蓝豆:29
经验:199
注册时间:2010-10-25
加关注  |  发消息
6 楼    发表于2012-02-19 01:00:56举报|引用
返回顶部 | 快捷回复

腺病

0
回复

gbitpathology 离线

帖子:71
粉蓝豆:1
经验:145
注册时间:2012-02-18
加关注  |  发消息
7 楼    发表于2012-02-19 08:01:11举报|引用
返回顶部 | 快捷回复

考虑导管扩张症

0
回复
signature
微观看世界

hj 离线

帖子:74
粉蓝豆:20
经验:186
注册时间:2011-11-17
加关注  |  发消息
10 楼    发表于2012-02-20 11:02:31举报|引用
返回顶部 | 快捷回复

1.图像中有囊性增生,2.有腺病的结构,3.同时在低倍中可以看到有瘤样的结构,高倍中以腺肌上皮增生为主,未见核分裂,也未见恶性的现象,因此诊断乳腺的腺病瘤更为合适。

0
回复

方舟 离线

帖子:43
粉蓝豆:32
经验:1981
注册时间:2010-08-31
加关注  |  发消息
11 楼    发表于2012-02-20 11:47:07举报|引用
返回顶部 | 快捷回复

淋巴细胞性乳腺炎并导管扩张性囊性变。

乳腺小叶炎症导致小叶结构发生变形,有的腺泡萎缩,有的导管扩张,间质内淋巴细胞、纤维组织增生,都是炎症性适应性病变。

0
回复

shihong4699 离线

帖子:1024
粉蓝豆:43
经验:2917
注册时间:2009-01-20
加关注  |  发消息
12 楼    发表于2012-02-20 11:48:08举报|引用
返回顶部 | 快捷回复
引用 11 楼 方舟 在 2012-02-20 11:47:07 的发言:

淋巴细胞性乳腺炎并导管扩张性囊性变。

乳腺小叶炎症导致小叶结构发生变形,有的腺泡萎缩,有的导管扩张,间质内淋巴细胞、纤维组织增生,都是炎症性适应性病变。


0
回复
回复:15 阅读:3933
共1页/15条首页上一页1下一页尾页
【免责声明】讨论内容仅作学术交流之用,不作为诊疗依据,由此而引起的法律问题作者及本站不承担任何责任。
快速回复
进入高级回复
您最多可输入10000个汉字,按 "Ctrl" + "Enter" 直接发送
搜索回复/乘电梯 ×
按内容
按会员
乘电梯
合作伙伴
友情链接