共1页/8条首页上一页1下一页尾页
回复:8 阅读:2208
子宫内膜,请教

琳琳 离线

帖子:72
粉蓝豆:21
经验:116
注册时间:2011-08-23
加关注  |  发消息
楼主 发表于 2012-02-17 15:01|举报|关注(0)
浏览排序[ 顺序 逆序 楼主 支持 精彩 ]  快捷回复

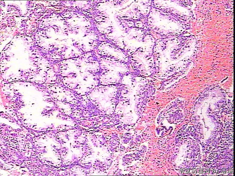
 患者女性,38岁,月经量多4个月,曾服用止血药物,无其他病史。

  • 子宫内膜,请教图1
    图1
  • 子宫内膜,请教图2
    图2
  • 子宫内膜,请教图3
    图3
  • 子宫内膜,请教图4
    图4
  • 子宫内膜,请教图5
    图5
  • 子宫内膜,请教图6
    图6
  • 子宫内膜,请教图7
    图7
  • 子宫内膜,请教图8
    图8
  • 子宫内膜,请教图9
    图9
标签:
0
添加参考诊断
×参考诊断
  

琳琳 离线

帖子:72
粉蓝豆:21
经验:116
注册时间:2011-08-23
加关注  |  发消息
8 楼    发表于2012-02-18 20:19:15举报|引用
返回顶部 | 快捷回复

开始临床没有提供怀孕的病史,后来我们有咨询临床科室,大夫还是说没有用药、月经正常,刚过了经期,月经量多,这次月经持续时间长入院。所以我们开始排除了高度分泌的A-S反应,看到腺体增生呈乳头状,还有异型性,而且镜下部分子宫内膜还有增生期改变的,不完全是高度分泌的。再三考虑后还是要求临床查了血HCG,结果显示HCG370多。最后我们发了单纯性增生伴高度分泌。

0
回复

duhua 离线

帖子:1206
粉蓝豆:152
经验:1738
注册时间:2008-08-19
加关注  |  发消息
7 楼    发表于2012-02-17 22:06:41举报|引用
返回顶部 | 快捷回复

晚泌期宫内膜,并见A-S现象

0
回复

binghongcha 离线

帖子:311
粉蓝豆:452
经验:334
注册时间:2011-08-02
加关注  |  发消息
6 楼    发表于2012-02-17 21:40:09举报|引用
返回顶部 | 快捷回复

腺体呈高度分泌反应,我们必须结合病史,考虑是否药源性反应,或持续黄体期子宫内膜.

3

宁静致远

伯牙绝弦

夏日
回复

二土匪 离线

帖子:771
粉蓝豆:23
经验:1213
注册时间:2011-10-11
加关注  |  发消息
5 楼    发表于2012-02-17 21:28:07举报|引用
返回顶部 | 快捷回复

再了解了解病史更好

0
回复
signature
红尘中有独处的心,独处时有红尘的怀抱。

浪漫主义 离线

帖子:918
粉蓝豆:270
经验:1563
注册时间:2007-01-15
加关注  |  发消息
4 楼    发表于2012-02-17 20:13:04举报|引用
返回顶部 | 快捷回复

A-S反应

0
回复
signature
风雨兼程

71102031 离线

帖子:305
粉蓝豆:8
经验:407
注册时间:2011-10-19
加关注  |  发消息
3 楼    发表于2012-02-17 19:46:29举报|引用
返回顶部 | 快捷回复

我是新手,仅仅做为参考:   分泌反应子宫内膜

0
回复
signature
坚持就是胜利

cklas 离线

帖子:880
粉蓝豆:0
经验:1016
注册时间:2011-05-19
加关注  |  发消息
2 楼    发表于2012-02-17 18:33:38举报|引用
返回顶部 | 快捷回复

复杂性增生伴分泌反应

0
回复
signature
从事病理需要付出更多!并非人人都适合本专业!

wfbjwt 离线

帖子:6628
粉蓝豆:163
经验:7418
注册时间:2006-10-08
加关注  |  发消息
1 楼    发表于2012-02-17 18:02:33举报|引用
返回顶部 | 快捷回复

A-S反应?

0
回复
signature
嫁人就嫁灰太狼,学习要上华夏网。
回复:8 阅读:2208
共1页/8条首页上一页1下一页尾页
【免责声明】讨论内容仅作学术交流之用,不作为诊疗依据,由此而引起的法律问题作者及本站不承担任何责任。
快速回复
进入高级回复
您最多可输入10000个汉字,按 "Ctrl" + "Enter" 直接发送
搜索回复/乘电梯 ×
按内容
按会员
乘电梯
合作伙伴
友情链接