共1页/1条首页上一页1下一页尾页
回复:8 阅读:2207
子宫内膜,请教

琳琳 离线

帖子:72
粉蓝豆:21
经验:116
注册时间:2011-08-23
加关注  |  发消息
楼主 发表于 2012-02-17 15:01|举报|关注(0)
浏览排序[ 顺序 逆序 楼主 支持 精彩 ]  快捷回复

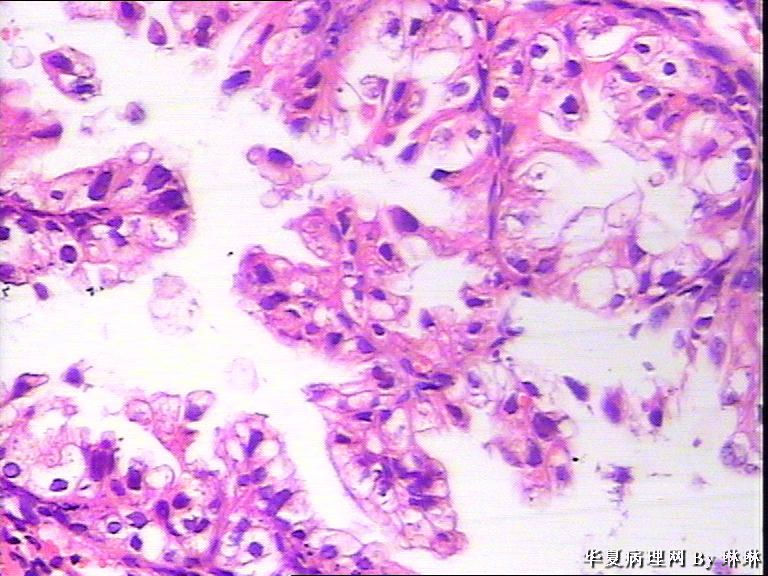
 患者女性,38岁,月经量多4个月,曾服用止血药物,无其他病史。

  • 子宫内膜,请教图1
    图1
  • 子宫内膜,请教图2
    图2
  • 子宫内膜,请教图3
    图3
  • 子宫内膜,请教图4
    图4
  • 子宫内膜,请教图5
    图5
  • 子宫内膜,请教图6
    图6
  • 子宫内膜,请教图7
    图7
  • 子宫内膜,请教图8
    图8
  • 子宫内膜,请教图9
    图9
标签:
0
添加参考诊断
×参考诊断
  

琳琳 离线

帖子:72
粉蓝豆:21
经验:116
注册时间:2011-08-23
加关注  |  发消息
8 楼    发表于2012-02-18 20:19:15举报|引用
返回顶部 | 快捷回复

开始临床没有提供怀孕的病史,后来我们有咨询临床科室,大夫还是说没有用药、月经正常,刚过了经期,月经量多,这次月经持续时间长入院。所以我们开始排除了高度分泌的A-S反应,看到腺体增生呈乳头状,还有异型性,而且镜下部分子宫内膜还有增生期改变的,不完全是高度分泌的。再三考虑后还是要求临床查了血HCG,结果显示HCG370多。最后我们发了单纯性增生伴高度分泌。

0
回复
回复:8 阅读:2207
共1页/1条首页上一页1下一页尾页
【免责声明】讨论内容仅作学术交流之用,不作为诊疗依据,由此而引起的法律问题作者及本站不承担任何责任。
快速回复
进入高级回复
您最多可输入10000个汉字,按 "Ctrl" + "Enter" 直接发送
搜索回复/乘电梯 ×
按内容
按会员
乘电梯
合作伙伴
友情链接