共1页/5条首页上一页1下一页尾页
回复:5 阅读:2446
右肾肿瘤,请教!

琳琳 离线

帖子:72
粉蓝豆:21
经验:116
注册时间:2011-08-23
加关注  |  发消息
楼主 发表于 2012-02-17 14:44|举报|关注(0)
浏览排序[ 顺序 逆序 楼主 支持 精彩 ]  快捷回复

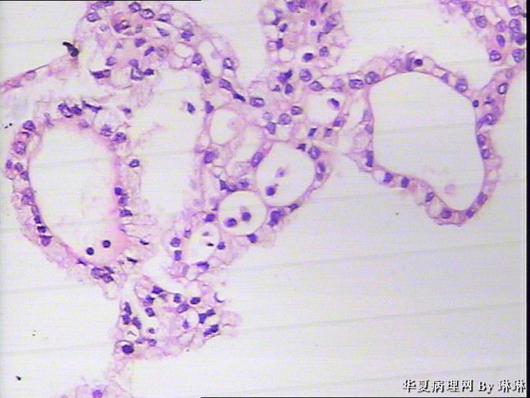
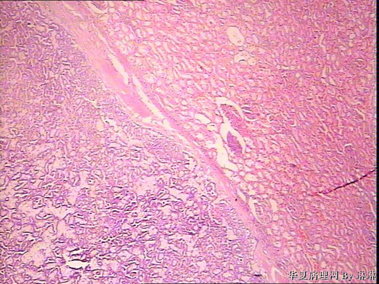
 患者男性,50岁,右肾外伤可见一淡黄色圆形肿物,包膜完整,部分突出于肾表面,直径约3.5cm,切面淡黄色,质软。请各位看看,多多发表见解。

  • 右肾肿瘤,请教!图1
    图1
  • 右肾肿瘤,请教!图2
    图2
  • 右肾肿瘤,请教!图3
    图3
  • 右肾肿瘤,请教!图4
    图4
  • 右肾肿瘤,请教!图5
    图5
  • 右肾肿瘤,请教!图6
    图6
标签:
0
添加参考诊断
×参考诊断
  

寂静山林 离线

帖子:179
粉蓝豆:35
经验:331
注册时间:2011-03-03
加关注  |  发消息
1 楼    发表于2012-02-17 18:34:15举报|引用
返回顶部 | 快捷回复

仔细看看有没有乳头状结构,要先考虑乳头状肾细胞癌,1 型。

1

quhong
回复
signature
淡淡地再一次聆听过去,如亲临阿尔卑斯山的原始天籁!

绿色心情 离线

帖子:418
粉蓝豆:6
经验:524
注册时间:2010-01-09
加关注  |  发消息
2 楼    发表于2012-02-17 20:09:22举报|引用
返回顶部 | 快捷回复

考虑乳头状肾细胞癌

0
回复

珠江人家 离线

帖子:356
粉蓝豆:1856
经验:887
注册时间:2008-03-19
加关注  |  发消息
3 楼    发表于2012-02-17 22:48:10举报|引用
返回顶部 | 快捷回复

感觉还像透明细胞肾癌。

0
回复

夏日 离线

帖子:1057
粉蓝豆:45
经验:1529
注册时间:2011-04-05
加关注  |  发消息
4 楼    发表于2012-02-18 07:57:33举报|引用
返回顶部 | 快捷回复

乳头状肾细胞癌

0
回复

zhangyajing 离线

帖子:500
粉蓝豆:4
经验:610
注册时间:2008-03-23
加关注  |  发消息
5 楼    发表于2012-02-18 08:01:27举报|引用
返回顶部 | 快捷回复

肾细胞癌

0
回复
回复:5 阅读:2446
共1页/5条首页上一页1下一页尾页
【免责声明】讨论内容仅作学术交流之用,不作为诊疗依据,由此而引起的法律问题作者及本站不承担任何责任。
快速回复
进入高级回复
您最多可输入10000个汉字,按 "Ctrl" + "Enter" 直接发送
搜索回复/乘电梯 ×
按内容
按会员
乘电梯
合作伙伴
友情链接