共1页/6条首页上一页1下一页尾页
回复:6 阅读:4589
子宫肌瘤穿刺

十月芙蓉 离线

帖子:103
粉蓝豆:39
经验:150
注册时间:2010-02-17
加关注  |  发消息
楼主 发表于 2012-02-17 08:51|举报|关注(0)
浏览排序[ 顺序 逆序 楼主 支持 精彩 ]  快捷回复

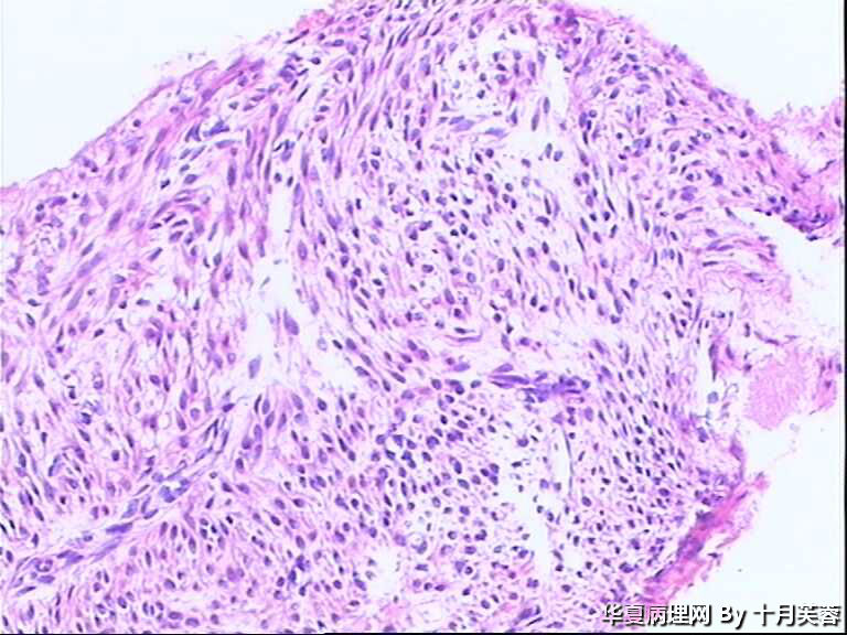
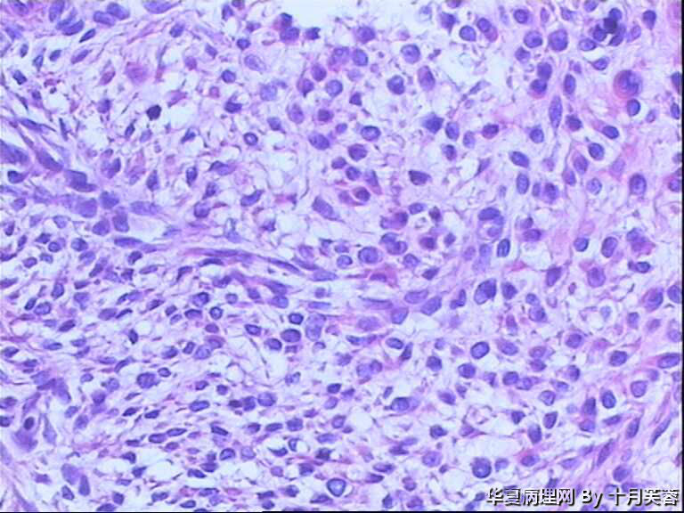
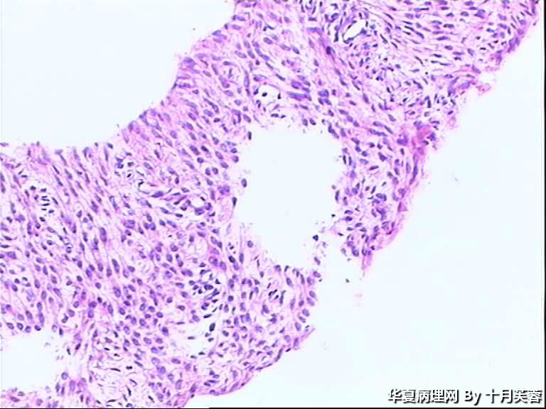
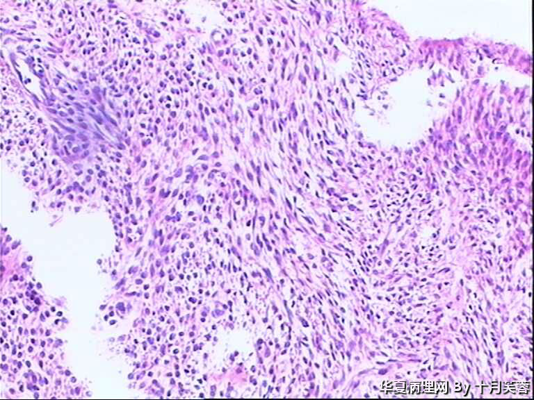
 女性,50岁,临床申请单“子宫肌瘤穿刺”

  • 子宫肌瘤穿刺图1
    图1
  • 子宫肌瘤穿刺图2
    图2
  • 子宫肌瘤穿刺图3
    图3
  • 子宫肌瘤穿刺图4
    图4
  • 子宫肌瘤穿刺图5
    图5
  • 子宫肌瘤穿刺图6
    图6
  • 子宫肌瘤穿刺图7
    图7
  • 子宫肌瘤穿刺图8
    图8
  • 子宫肌瘤穿刺图9
    图9
  • 子宫肌瘤穿刺图10
    图10
  • 子宫肌瘤穿刺图11
    图11
  • 子宫肌瘤穿刺图12
    图12
  • 子宫肌瘤穿刺图13
    图13
  • 子宫肌瘤穿刺图14
    图14
  • 子宫肌瘤穿刺图15
    图15
  • 子宫肌瘤穿刺图16
    图16
  • 子宫肌瘤穿刺图17
    图17
  • 子宫肌瘤穿刺图18
    图18
标签:
0
×参考诊断
平滑肌瘤?间质肿瘤?

十月芙蓉 离线

帖子:103
粉蓝豆:39
经验:150
注册时间:2010-02-17
加关注  |  发消息
6 楼    发表于2012-03-02 07:57:58举报|引用
返回顶部 | 快捷回复

 大家的观点我也认同,没办法这是我们妇科承包后上的新项目,最让我们头疼的是有时单纯的描述还不行,临床还非得让给个结论。

听大家这么一说,我觉得临床有时真是坑人,他们现在还在开展子宫肌瘤消融术、卵巢囊肿穿刺术,想起来都觉得后怕。

0
回复

71102031 离线

帖子:305
粉蓝豆:8
经验:407
注册时间:2011-10-19
加关注  |  发消息
5 楼    发表于2012-02-17 20:00:20举报|引用
返回顶部 | 快捷回复

不建议做穿刺,

0
回复
signature
坚持就是胜利

flyaqmt 离线

帖子:134
粉蓝豆:23
经验:211
注册时间:2007-09-18
加关注  |  发消息
4 楼    发表于2012-02-17 10:12:53举报|引用
返回顶部 | 快捷回复

子宫平滑肌瘤,但即使穿刺了,也得手术啊?穿刺需要解决什么问题?

0
回复
signature
虽然偶尔有梦想照进现实,但真正实现梦想却是蜀道难,难于上青天!

ldx849756917 离线

帖子:244
粉蓝豆:5
经验:802
注册时间:2008-04-24
加关注  |  发消息
3 楼    发表于2012-02-17 09:38:25举报|引用
返回顶部 | 快捷回复

具体到这一例,感觉要是子宫肌瘤的话则问题不大。但若是GIST,PECOMA,SFT等则不好说了!

0
回复
signature
Tumors do not read textbooks!肿瘤不厚道,它从不按常规出牌!

ldx849756917 离线

帖子:244
粉蓝豆:5
经验:802
注册时间:2008-04-24
加关注  |  发消息
2 楼    发表于2012-02-17 09:36:47举报|引用
返回顶部 | 快捷回复

刀尖上的舞者有风险,尤其是帖子上的这类“陷阱”,防不胜防啊!

0
回复
signature
Tumors do not read textbooks!肿瘤不厚道,它从不按常规出牌!

ldx849756917 离线

帖子:244
粉蓝豆:5
经验:802
注册时间:2008-04-24
加关注  |  发消息
1 楼    发表于2012-02-17 09:35:48举报|引用
返回顶部 | 快捷回复

穿刺具有很大的局限性,要慎用,尤其是靠核分裂计数及坏死等证据判断良恶性的肿瘤。操作规程上讲,子宫肌瘤即使行快速病理也有局限,难度很大。

0
回复
signature
Tumors do not read textbooks!肿瘤不厚道,它从不按常规出牌!
回复:6 阅读:4589
共1页/6条首页上一页1下一页尾页
【免责声明】讨论内容仅作学术交流之用,不作为诊疗依据,由此而引起的法律问题作者及本站不承担任何责任。
快速回复
进入高级回复
您最多可输入10000个汉字,按 "Ctrl" + "Enter" 直接发送
搜索回复/乘电梯 ×
按内容
按会员
乘电梯
合作伙伴
友情链接