共1页/11条首页上一页1下一页尾页
回复:11 阅读:2473
求助!阴囊包块。

wolflovepig 离线

帖子:675
粉蓝豆:55
经验:9062
注册时间:2007-08-25
加关注  |  发消息
楼主 发表于 2012-02-16 17:15|举报|关注(0)
浏览排序[ 顺序 逆序 楼主 支持 精彩 ]  快捷回复

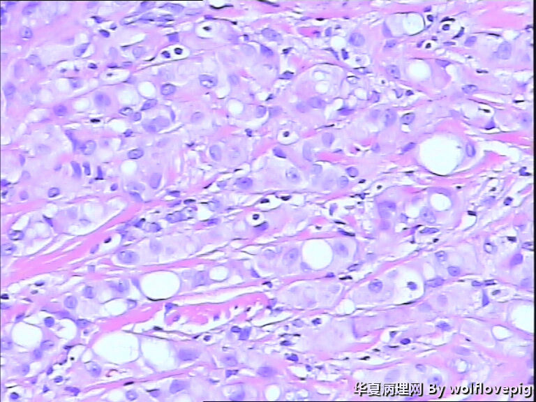
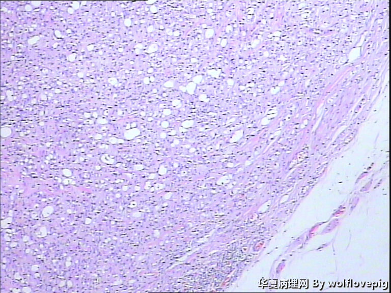
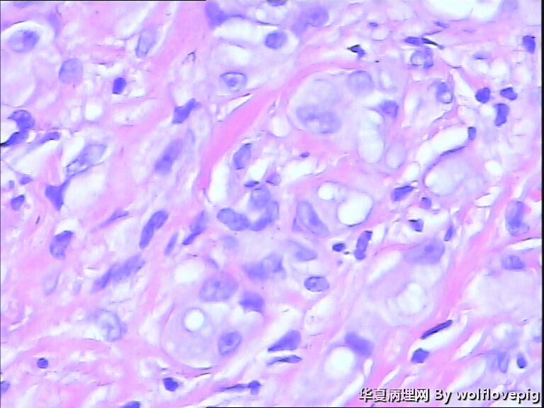
 男,60y,左阴囊包块6月,位于附睾尾与睾丸之间,无粘连。灰白结节一个0.7*0.3*0.3,切面灰白、实体 、质韧。

  • 求助!阴囊包块。图1
    图1
  • 求助!阴囊包块。图2
    图2
  • 求助!阴囊包块。图3
    图3
  • 求助!阴囊包块。图4
    图4
  • 求助!阴囊包块。图5
    图5
  • 求助!阴囊包块。图6
    图6
  • 求助!阴囊包块。图7
    图7
  • 求助!阴囊包块。图8
    图8
  • 求助!阴囊包块。图9
    图9
  • 求助!阴囊包块。图10
    图10
  • 求助!阴囊包块。图11
    图11
  • 求助!阴囊包块。图12
    图12
  • 求助!阴囊包块。图13
    图13

标签:阴囊包块。
0
添加参考诊断
×参考诊断
  

zhouquan 离线

帖子:7752
粉蓝豆:302
经验:8263
注册时间:2008-11-09
加关注  |  发消息
1 楼    发表于2012-02-16 19:50:32举报|引用
返回顶部 | 快捷回复

典型的腺瘤样瘤

1

学浅
回复
signature
成功不是得到多少东西,而是把身上多余的东西的扔掉多少。   

lantian0508 离线

帖子:1250
粉蓝豆:42
经验:1495
注册时间:2007-08-01
加关注  |  发消息
5 楼    发表于2012-02-17 15:37:04举报|引用
返回顶部 | 快捷回复

腺瘤样瘤

1

cklas
回复

绿色心情 离线

帖子:418
粉蓝豆:6
经验:524
注册时间:2010-01-09
加关注  |  发消息
9 楼    发表于2012-02-17 20:31:02举报|引用
返回顶部 | 快捷回复

腺瘤样瘤

0
回复

指环王 离线

帖子:570
粉蓝豆:15
经验:577
注册时间:2007-06-10
加关注  |  发消息
11 楼    发表于2012-02-19 15:37:28举报|引用
返回顶部 | 快捷回复

腺瘤样瘤

0
回复

binghongcha 离线

帖子:311
粉蓝豆:452
经验:334
注册时间:2011-08-02
加关注  |  发消息
10 楼    发表于2012-02-17 22:03:32举报|引用
返回顶部 | 快捷回复

腺瘤样瘤

0
回复

蓝云 离线

帖子:8
粉蓝豆:1
经验:8
注册时间:2012-02-16
加关注  |  发消息
2 楼    发表于2012-02-16 20:17:29举报|引用
返回顶部 | 快捷回复

同意腺瘤样瘤

0
回复

月儿 离线

帖子:1877
粉蓝豆:67
经验:2039
注册时间:2006-09-25
加关注  |  发消息
3 楼    发表于2012-02-16 20:41:34举报|引用
返回顶部 | 快捷回复

典型的腺瘤样瘤

0
回复

一了 离线

帖子:2138
粉蓝豆:64
经验:2288
注册时间:2009-03-31
加关注  |  发消息
6 楼    发表于2012-02-17 15:46:08举报|引用
返回顶部 | 快捷回复

腺瘤样瘤

0
回复

新手010 离线

帖子:1335
粉蓝豆:160
经验:2456
注册时间:2012-02-05
加关注  |  发消息
7 楼    发表于2012-02-17 15:50:50举报|引用
返回顶部 | 快捷回复

学习

0
回复

lvyinhua 离线

帖子:832
粉蓝豆:35
经验:1180
注册时间:2012-01-09
加关注  |  发消息
8 楼    发表于2012-02-17 16:18:59举报|引用
返回顶部 | 快捷回复
引用 5 楼 lantian0508 在 2012-02-17 15:37:04 的发言:

腺瘤样瘤


0
回复

伊恋佳人 离线

帖子:1258
粉蓝豆:505
经验:1714
注册时间:2010-03-13
加关注  |  发消息
4 楼    发表于2012-02-16 22:31:18举报|引用
返回顶部 | 快捷回复

腺瘤样瘤

0
回复
回复:11 阅读:2473
共1页/11条首页上一页1下一页尾页
【免责声明】讨论内容仅作学术交流之用,不作为诊疗依据,由此而引起的法律问题作者及本站不承担任何责任。
快速回复
进入高级回复
您最多可输入10000个汉字,按 "Ctrl" + "Enter" 直接发送
搜索回复/乘电梯 ×
按内容
按会员
乘电梯
合作伙伴
友情链接