共1页/2条首页上一页1下一页尾页
回复:2 阅读:2009
结膜痣?

student1 离线

帖子:1
粉蓝豆:1
经验:1
注册时间:2008-06-30
加关注  |  发消息
楼主 发表于 2012-02-15 23:10|举报|关注(0)
浏览排序[ 顺序 逆序 楼主 支持 精彩 ]  快捷回复

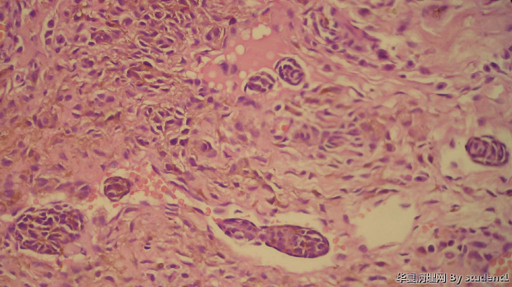
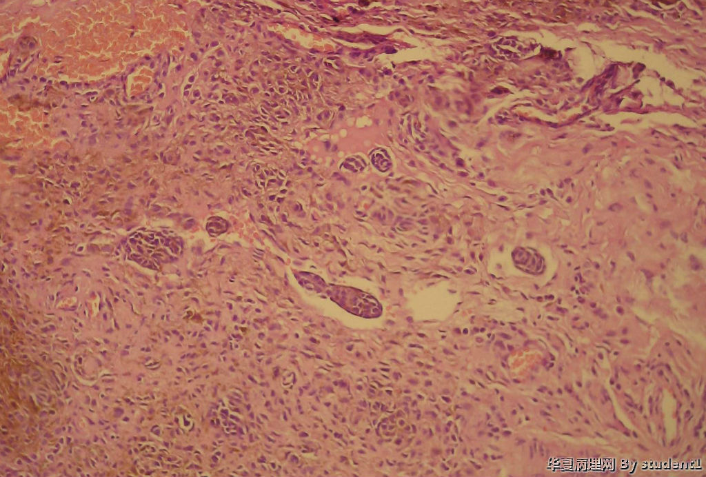
 男,35岁,结膜痣切除

送检小组织,直径0.2cm

请教:是否侵犯血管淋巴管?有何意义?

结膜痣?图1
名称:图1
描述:4倍
结膜痣?图2
名称:图2
描述:10倍
结膜痣?图3
名称:图3
描述:20倍
结膜痣?图4
名称:图4
描述:40倍
 
标签:
0
添加参考诊断
×参考诊断
  

zhouquan 离线

帖子:7752
粉蓝豆:302
经验:8263
注册时间:2008-11-09
加关注  |  发消息
1 楼    发表于2012-02-15 23:51:13举报|引用
返回顶部 | 快捷回复

皮内痣

0
回复
signature
成功不是得到多少东西,而是把身上多余的东西的扔掉多少。   

一棵小草 离线

帖子:5101
粉蓝豆:12
经验:7184
注册时间:2008-07-07
加关注  |  发消息
2 楼    发表于2012-02-15 23:55:26举报|引用
返回顶部 | 快捷回复

考虑皮内痣,那些痣细胞巢周围未见内皮细胞,不考虑侵犯血管淋巴管。

0
回复
回复:2 阅读:2009
共1页/2条首页上一页1下一页尾页
【免责声明】讨论内容仅作学术交流之用,不作为诊疗依据,由此而引起的法律问题作者及本站不承担任何责任。
快速回复
进入高级回复
您最多可输入10000个汉字,按 "Ctrl" + "Enter" 直接发送
搜索回复/乘电梯 ×
按内容
按会员
乘电梯
合作伙伴
友情链接