共1页/4条首页上一页1下一页尾页
回复:4 阅读:2160
面部皮肤肿物

hanlixia 离线

帖子:91
粉蓝豆:240
经验:847
注册时间:2011-12-09
加关注  |  发消息
楼主 发表于 2012-02-15 21:46|举报|关注(0)
浏览排序[ 顺序 逆序 楼主 支持 精彩 ]  快捷回复

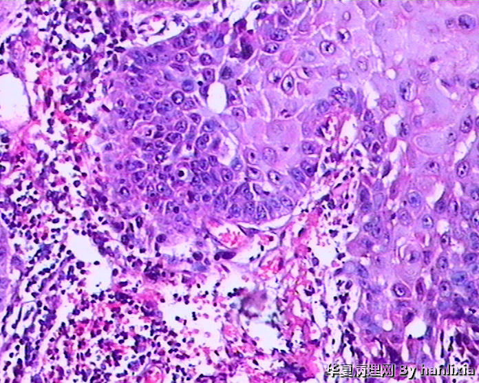
 男性患者,50岁,发现面部皮肤(耳旁)肿物一年余,色黑。

  • 面部皮肤肿物图1
    图1
  • 面部皮肤肿物图2
    图2
  • 面部皮肤肿物图3
    图3
  • 面部皮肤肿物图4
    图4
  • 面部皮肤肿物图5
    图5
  • 面部皮肤肿物图6
    图6
  • 面部皮肤肿物图7
    图7
  • 面部皮肤肿物图8
    图8
  • 面部皮肤肿物图9
    图9
  • 面部皮肤肿物图10
    图10
  • 面部皮肤肿物图11
    图11
  • 面部皮肤肿物图12
    图12
 
标签:
0
添加参考诊断
×参考诊断
  

杏林散客 离线

帖子:2097
粉蓝豆:87
经验:2406
注册时间:2008-05-18
加关注  |  发消息
4 楼    发表于2012-02-17 00:24:07举报|引用
返回顶部 | 快捷回复

部分区域突破基底膜,应该诊断鳞癌,由日光性角化发展过来的!

0
回复
signature
皮毛之事,方寸之间,大千世界!

一棵小草 离线

帖子:5101
粉蓝豆:12
经验:7184
注册时间:2008-07-07
加关注  |  发消息
2 楼    发表于2012-02-15 22:59:10举报|引用
返回顶部 | 快捷回复

高分化鳞癌可能,也可能AK基础上发展而来的浅表型鳞癌?

0
回复

浪漫主义 离线

帖子:918
粉蓝豆:270
经验:1563
注册时间:2007-01-15
加关注  |  发消息
1 楼    发表于2012-02-15 21:49:48举报|引用
返回顶部 | 快捷回复

高分化鳞状细胞癌

0
回复
signature
风雨兼程

慕珊 离线

帖子:36
粉蓝豆:3
经验:36
注册时间:2011-12-03
加关注  |  发消息
3 楼    发表于2012-02-16 23:03:16举报|引用
返回顶部 | 快捷回复

AK ,增生活跃,但好像scc不够?

0
回复
回复:4 阅读:2160
共1页/4条首页上一页1下一页尾页
【免责声明】讨论内容仅作学术交流之用,不作为诊疗依据,由此而引起的法律问题作者及本站不承担任何责任。
快速回复
进入高级回复
您最多可输入10000个汉字,按 "Ctrl" + "Enter" 直接发送
搜索回复/乘电梯 ×
按内容
按会员
乘电梯
合作伙伴
友情链接