共1页/2条首页上一页1下一页尾页
回复:22 阅读:4601
左卵巢肿物

泉水叮咚响 离线

帖子:2163
粉蓝豆:113
经验:11663
注册时间:2010-12-30
加关注  |  发消息
楼主 发表于 2012-02-14 16:40|举报|关注(0)
浏览排序[ 顺序 逆序 楼主 支持 精彩 ]  快捷回复

 左卵巢肿物图1

名称:图1
描述:1
左卵巢肿物图2
名称:图2
描述:2
左卵巢肿物图3
名称:图3
描述:3
左卵巢肿物图4
名称:图4
描述:4
左卵巢肿物图5
名称:图5
描述:5
左卵巢肿物图6
名称:图6
描述:6
左卵巢肿物图7
名称:图7
描述:7
左卵巢肿物图8
名称:图8
描述:8
左卵巢肿物图9
名称:图9
描述:9
左卵巢肿物图10
名称:图10
描述:10
左卵巢肿物图11
名称:图11
描述:11
左卵巢肿物图12
名称:图12
描述:12
标签:
0
signature
刀不磨会生锈,人不学习会落后。
添加参考诊断
×参考诊断
  

泉水叮咚响 离线

帖子:2163
粉蓝豆:113
经验:11663
注册时间:2010-12-30
加关注  |  发消息
19 楼    发表于2012-02-20 16:29:10举报|引用
返回顶部 | 快捷回复

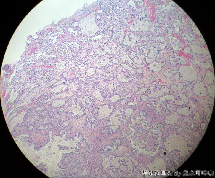
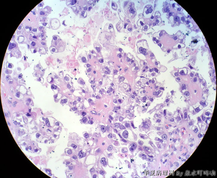
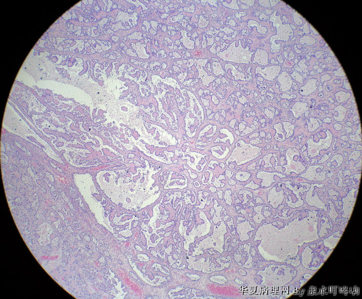
天津肿瘤医院会诊:混合细胞上皮癌(透明细胞癌+浆液性囊腺瘤+勃勒那氏瘤)。

0
回复
signature
刀不磨会生锈,人不学习会落后。

泉水叮咚响 离线

帖子:2163
粉蓝豆:113
经验:11663
注册时间:2010-12-30
加关注  |  发消息
1 楼    发表于2012-02-14 16:42:15举报|引用
返回顶部 | 快捷回复

 女,42岁,左卵巢肿物。
大体,灰褐色囊性肿物一个,大小约13×9×8厘米,临床已切开,内容物流失,肿物内壁可见多发乳头,最大4×3×3厘米,小者如绿豆大。

0
回复
signature
刀不磨会生锈,人不学习会落后。
回复:22 阅读:4601
共1页/2条首页上一页1下一页尾页
【免责声明】讨论内容仅作学术交流之用,不作为诊疗依据,由此而引起的法律问题作者及本站不承担任何责任。
快速回复
进入高级回复
您最多可输入10000个汉字,按 "Ctrl" + "Enter" 直接发送
搜索回复/乘电梯 ×
按内容
按会员
乘电梯
合作伙伴
友情链接