共2页/22条首页上一页12下一页尾页
回复:22 阅读:4635
左卵巢肿物

泉水叮咚响 离线

帖子:2163
粉蓝豆:113
经验:11663
注册时间:2010-12-30
加关注  |  发消息
楼主 发表于 2012-02-14 16:40|举报|关注(0)
浏览排序[ 顺序 逆序 楼主 支持 精彩 ]  快捷回复

 左卵巢肿物图1

名称:图1
描述:1
左卵巢肿物图2
名称:图2
描述:2
左卵巢肿物图3
名称:图3
描述:3
左卵巢肿物图4
名称:图4
描述:4
左卵巢肿物图5
名称:图5
描述:5
左卵巢肿物图6
名称:图6
描述:6
左卵巢肿物图7
名称:图7
描述:7
左卵巢肿物图8
名称:图8
描述:8
左卵巢肿物图9
名称:图9
描述:9
左卵巢肿物图10
名称:图10
描述:10
左卵巢肿物图11
名称:图11
描述:11
左卵巢肿物图12
名称:图12
描述:12
标签:
0
signature
刀不磨会生锈,人不学习会落后。
添加参考诊断
×参考诊断
  

泉水叮咚响 离线

帖子:2163
粉蓝豆:113
经验:11663
注册时间:2010-12-30
加关注  |  发消息
1 楼    发表于2012-02-14 16:42:15举报|引用
返回顶部 | 快捷回复

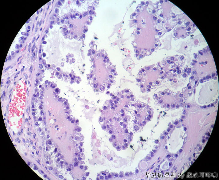
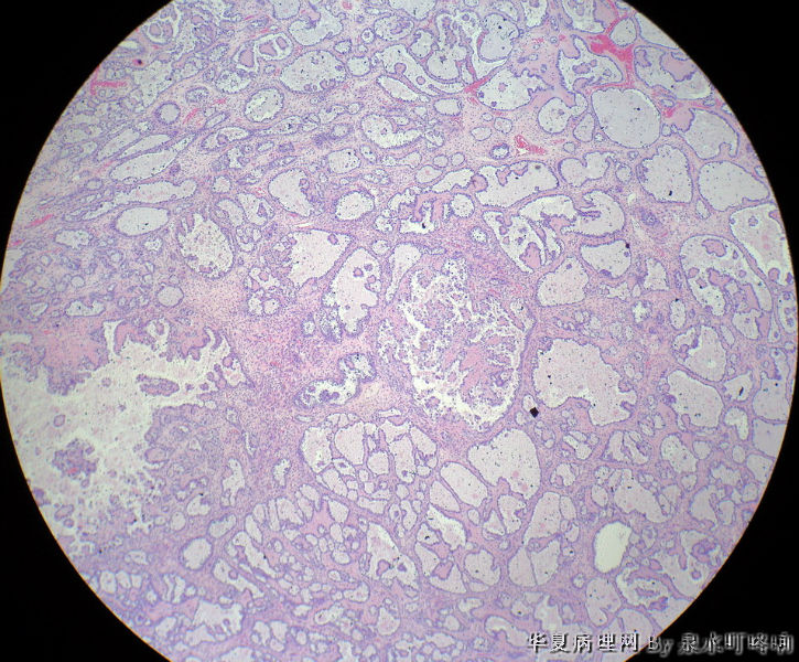
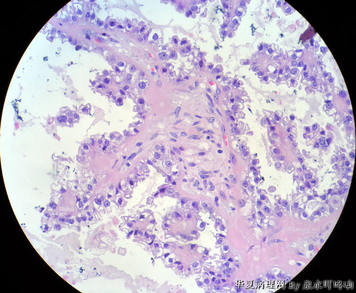
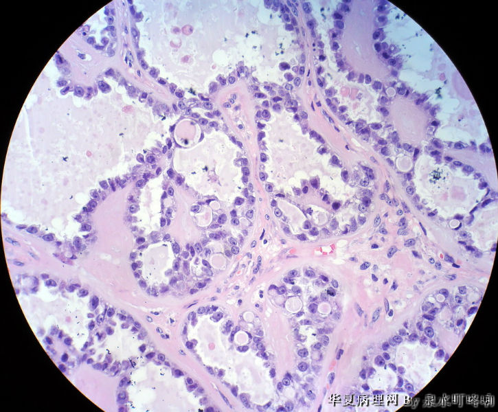
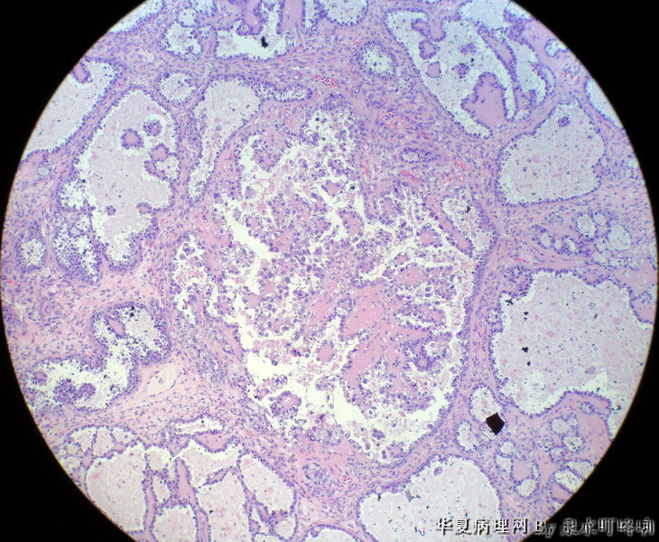
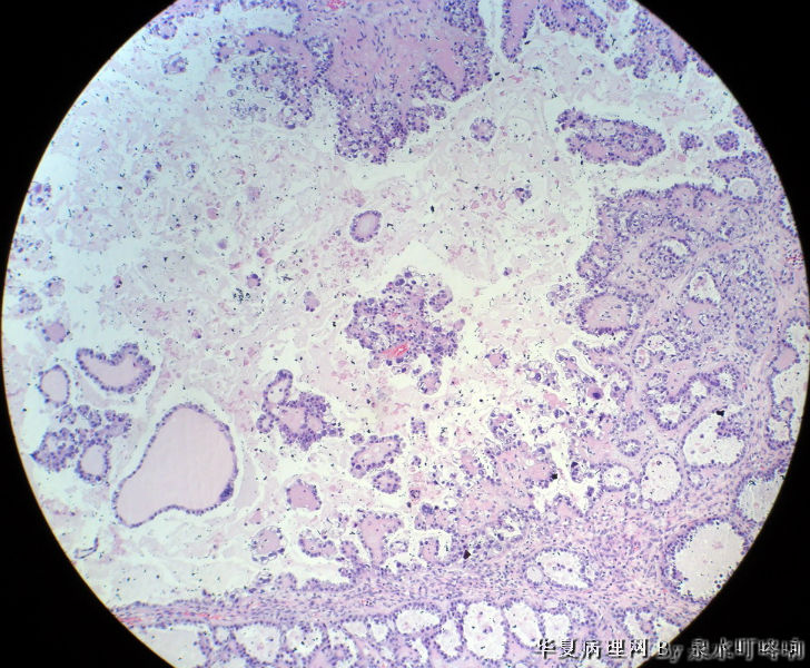
 女,42岁,左卵巢肿物。
大体,灰褐色囊性肿物一个,大小约13×9×8厘米,临床已切开,内容物流失,肿物内壁可见多发乳头,最大4×3×3厘米,小者如绿豆大。

0
回复
signature
刀不磨会生锈,人不学习会落后。

绿色心情 离线

帖子:418
粉蓝豆:6
经验:524
注册时间:2010-01-09
加关注  |  发消息
2 楼    发表于2012-02-14 16:42:43举报|引用
返回顶部 | 快捷回复

交界性乳头状浆液性囊腺瘤

0
回复

cklas 离线

帖子:880
粉蓝豆:0
经验:1016
注册时间:2011-05-19
加关注  |  发消息
3 楼    发表于2012-02-14 16:46:00举报|引用
返回顶部 | 快捷回复

倾向浆液性乳头状囊腺癌

0
回复
signature
从事病理需要付出更多!并非人人都适合本专业!

Renghis 离线

帖子:2530
粉蓝豆:92
经验:4081
注册时间:2007-12-13
加关注  |  发消息
4 楼    发表于2012-02-14 18:07:35举报|引用
返回顶部 | 快捷回复

交界性浆液性乳头状囊腺瘤

0
回复
signature
重归学生时代!

zhouquan 离线

帖子:7752
粉蓝豆:302
经验:8263
注册时间:2008-11-09
加关注  |  发消息
5 楼    发表于2012-02-14 18:21:18举报|引用
返回顶部 | 快捷回复

典型的透明细胞癌

4

射手笑笑

二土匪

wangjw85..

成 克 伦
回复
signature
成功不是得到多少东西,而是把身上多余的东西的扔掉多少。   

chenzhenwei110 离线

帖子:275
粉蓝豆:131
经验:383
注册时间:2009-05-31
加关注  |  发消息
6 楼    发表于2012-02-14 18:33:23举报|引用
返回顶部 | 快捷回复

交界性乳头状浆液性囊腺瘤

0
回复
signature
做好自己。

lvyinhua 离线

帖子:832
粉蓝豆:35
经验:1180
注册时间:2012-01-09
加关注  |  发消息
7 楼    发表于2012-02-14 18:42:53举报|引用
返回顶部 | 快捷回复
引用 5 楼 zhouquan 在 2012-02-14 18:21:18 的发言:

典型的透明细胞癌


0
回复

cyunsong 离线

帖子:375
粉蓝豆:189
经验:725
注册时间:2008-12-30
加关注  |  发消息
8 楼    发表于2012-02-14 19:00:48举报|引用
返回顶部 | 快捷回复

倾向浆液性乳头状囊腺癌

0
回复
signature
--

山川 离线

帖子:324
粉蓝豆:18
经验:926
注册时间:2010-12-28
加关注  |  发消息
9 楼    发表于2012-02-14 19:55:31举报|引用
返回顶部 | 快捷回复

浆液性乳头状囊腺癌。

0
回复
signature
看图识字

刀尖上的舞者 离线

帖子:1763
粉蓝豆:87
经验:3356
注册时间:2010-12-14
加关注  |  发消息
10 楼    发表于2012-02-14 21:00:32举报|引用
返回顶部 | 快捷回复

学习了分歧太大了

0
回复

二土匪 离线

帖子:771
粉蓝豆:23
经验:1213
注册时间:2011-10-11
加关注  |  发消息
11 楼    发表于2012-02-14 21:06:42举报|引用
返回顶部 | 快捷回复

透明细胞癌

0
回复
signature
红尘中有独处的心,独处时有红尘的怀抱。

3673566 离线

帖子:1879
粉蓝豆:74
经验:3305
注册时间:2006-10-29
加关注  |  发消息
12 楼    发表于2012-02-14 21:26:38举报|引用
返回顶部 | 快捷回复

间质玻变的乳头,鞋钉样细胞,腺囊状结构.....

经典的透明细胞癌。

1

lcyxxm
回复

伊恋佳人 离线

帖子:1258
粉蓝豆:505
经验:1714
注册时间:2010-03-13
加关注  |  发消息
13 楼    发表于2012-02-14 21:39:48举报|引用
返回顶部 | 快捷回复

透明细胞癌

0
回复

huocheng_325 离线

帖子:152
粉蓝豆:6
经验:247
注册时间:2009-04-15
加关注  |  发消息
14 楼    发表于2012-02-14 21:43:58举报|引用
返回顶部 | 快捷回复

支持透明细胞癌的诊断

 

1

lcyxxm
回复
signature
理解万岁。

hu8afu 离线

帖子:1177
粉蓝豆:35
经验:1230
注册时间:2009-02-11
加关注  |  发消息
15 楼    发表于2012-02-15 21:41:10举报|引用
返回顶部 | 快捷回复

透明细胞癌

0
回复

夏日 离线

帖子:1057
粉蓝豆:45
经验:1529
注册时间:2011-04-05
加关注  |  发消息
16 楼    发表于2012-02-16 10:11:00举报|引用
返回顶部 | 快捷回复
引用 14 楼 huocheng_325 在 2012-02-14 21:43:58 的发言:

支持透明细胞癌的诊断

 


0
回复

lg7391 离线

帖子:392
粉蓝豆:644
经验:2490
注册时间:2009-10-05
加关注  |  发消息
17 楼    发表于2012-02-16 10:45:25举报|引用
返回顶部 | 快捷回复

 考虑透明细胞癌,但有很多嗜酸性小体,需要排除变异型卵黄囊瘤。

0
回复

dongguoyou 离线

帖子:253
粉蓝豆:9
经验:4133
注册时间:2007-11-04
加关注  |  发消息
18 楼    发表于2012-02-16 14:39:17举报|引用
返回顶部 | 快捷回复

透明细胞癌

0
回复

泉水叮咚响 离线

帖子:2163
粉蓝豆:113
经验:11663
注册时间:2010-12-30
加关注  |  发消息
19 楼    发表于2012-02-20 16:29:10举报|引用
返回顶部 | 快捷回复

天津肿瘤医院会诊:混合细胞上皮癌(透明细胞癌+浆液性囊腺瘤+勃勒那氏瘤)。

0
回复
signature
刀不磨会生锈,人不学习会落后。

helifenyang 离线

帖子:59
粉蓝豆:49
经验:83
注册时间:2009-03-28
加关注  |  发消息
20 楼    发表于2012-02-20 16:31:32举报|引用
返回顶部 | 快捷回复

透明细胞癌

0
回复
回复:22 阅读:4635
共2页/22条首页上一页12下一页尾页
【免责声明】讨论内容仅作学术交流之用,不作为诊疗依据,由此而引起的法律问题作者及本站不承担任何责任。
快速回复
进入高级回复
您最多可输入10000个汉字,按 "Ctrl" + "Enter" 直接发送
搜索回复/乘电梯 ×
按内容
按会员
乘电梯
合作伙伴
友情链接