共2页/29条首页上一页12下一页尾页
回复:29 阅读:6637
膀胱肿物

泉水叮咚响 离线

帖子:2163
粉蓝豆:113
经验:11663
注册时间:2010-12-30
加关注  |  发消息
楼主 发表于 2012-02-14 16:21|举报|关注(1)
浏览排序[ 顺序 逆序 楼主 支持 精彩 ]  快捷回复
膀胱肿物图1
名称:图1
描述:1
膀胱肿物图2
名称:图2
描述:2
膀胱肿物图3
名称:图3
描述:3
膀胱肿物图4
名称:图4
描述:4
膀胱肿物图5
名称:图5
描述:5
膀胱肿物图6
名称:图6
描述:6
膀胱肿物图7
名称:图7
描述:7
膀胱肿物图8
名称:图8
描述:8
膀胱肿物图9
名称:图9
描述:9
膀胱肿物图10
名称:图10
描述:10
膀胱肿物图11
名称:图11
描述:11
膀胱肿物图12
名称:图12
描述:12
膀胱肿物图13
名称:图13
描述:13
膀胱肿物图14
名称:图14
描述:14
膀胱肿物图15
名称:图15
描述:15
膀胱肿物图16
名称:图16
描述:16
膀胱肿物图17
名称:图17
描述:17
膀胱肿物图18
名称:图18

描述:18 

标签:
0
signature
刀不磨会生锈,人不学习会落后。
添加参考诊断
×参考诊断
  

泉水叮咚响 离线

帖子:2163
粉蓝豆:113
经验:11663
注册时间:2010-12-30
加关注  |  发消息
1 楼    发表于2012-02-14 16:23:27举报|引用
返回顶部 | 快捷回复

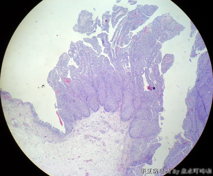
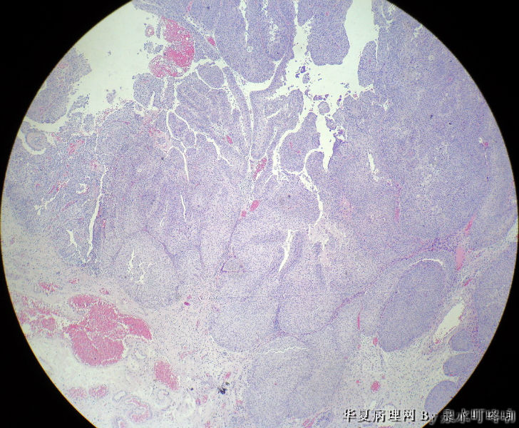
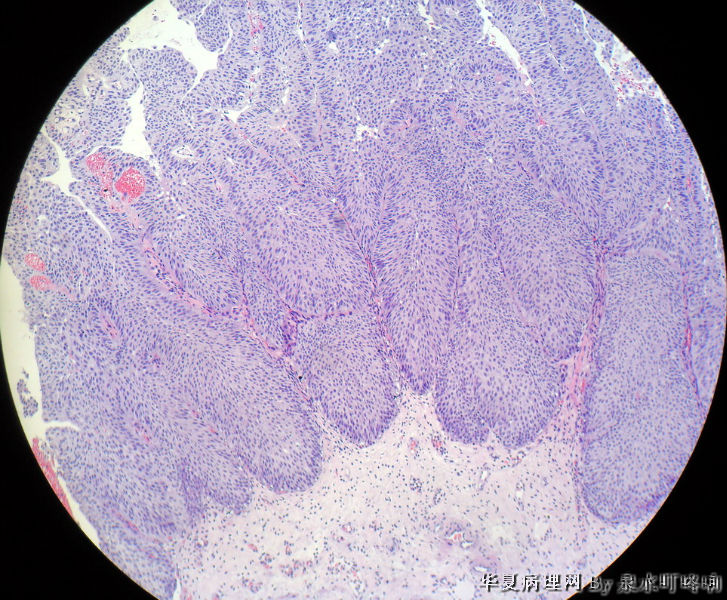
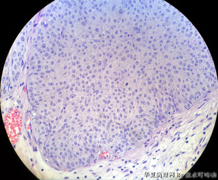
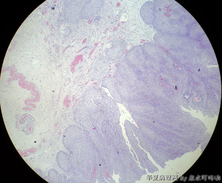
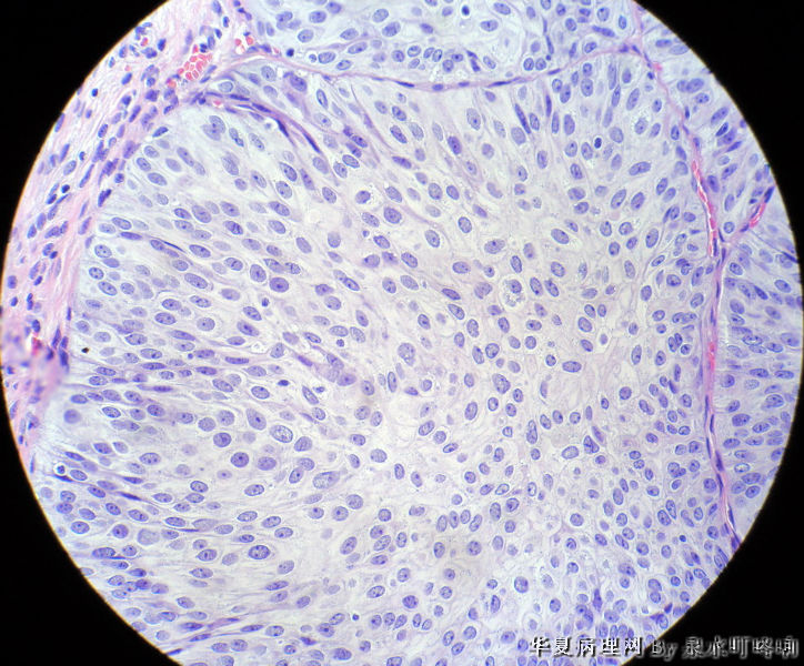
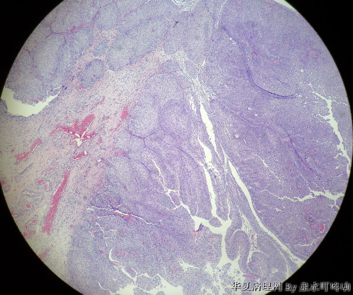
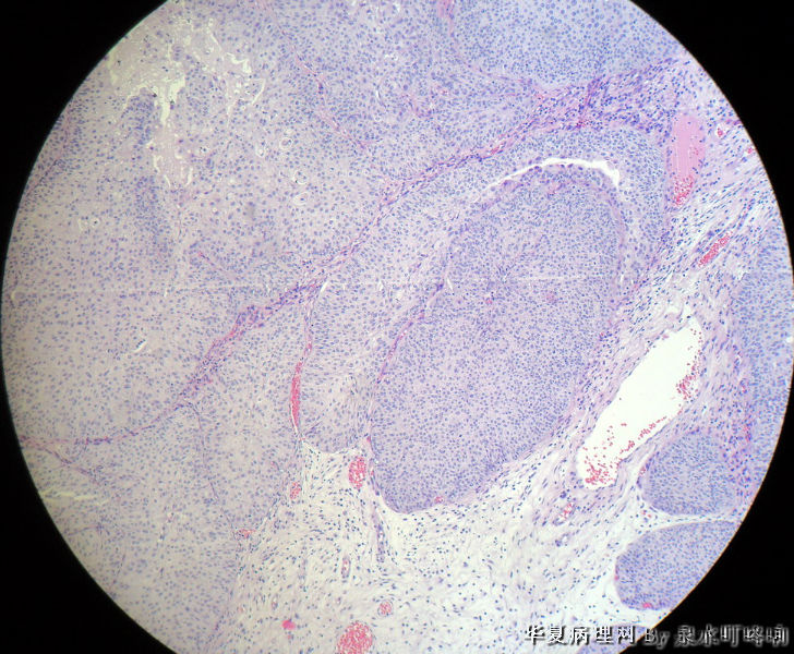
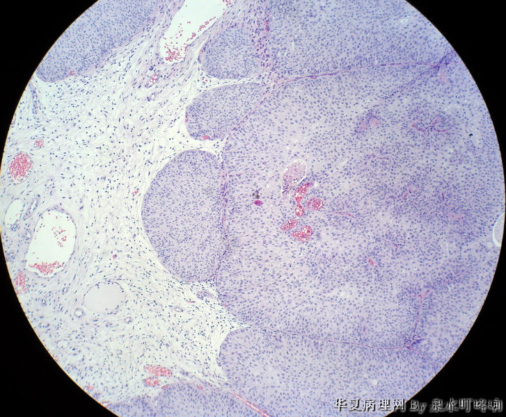
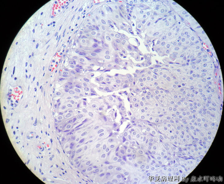
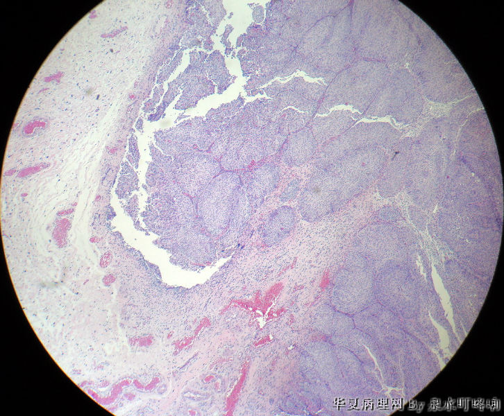
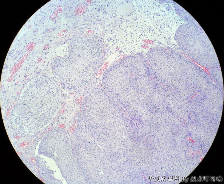
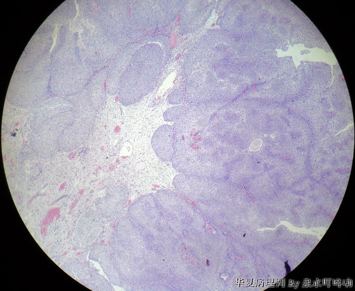
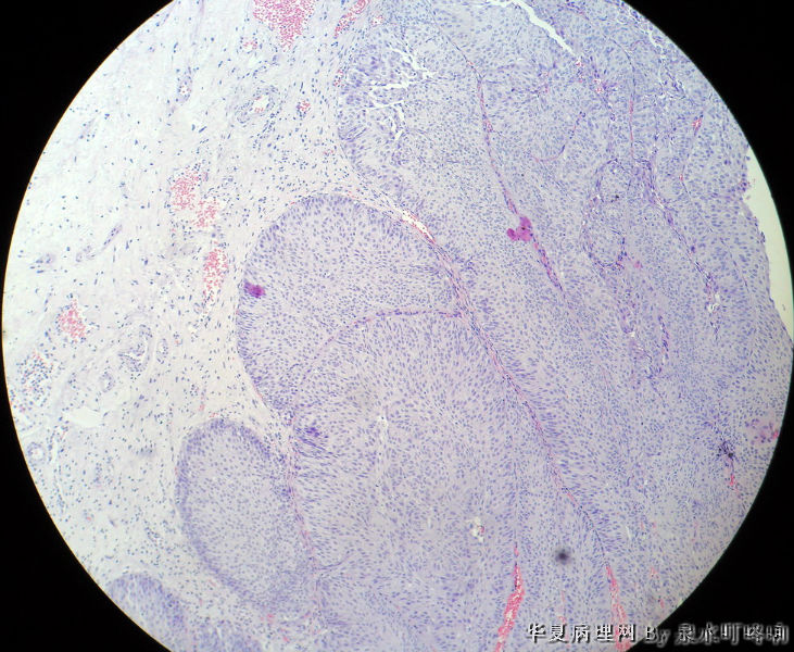
 男,76岁,血尿一个月,发现膀胱肿物,行切除术,肿物位于右侧膀胱后外侧壁,约1.5×1.5×1.5厘米。
大体:灰白肿物一个,大小约2×1.1×0.9厘米,切面灰白,质中。

0
回复
signature
刀不磨会生锈,人不学习会落后。

charles 离线

帖子:220
粉蓝豆:3
经验:1949
注册时间:2011-01-21
加关注  |  发消息
2 楼    发表于2012-02-14 16:38:07举报|引用
返回顶部 | 快捷回复

尿路上皮癌,低级别。

5

cklas

molly011

wzkxn

flj20092..

Lilin
回复

绿色心情 离线

帖子:418
粉蓝豆:6
经验:524
注册时间:2010-01-09
加关注  |  发消息
3 楼    发表于2012-02-14 16:47:53举报|引用
返回顶部 | 快捷回复

尿路上皮癌,低级别。

0
回复

Renghis 离线

帖子:2530
粉蓝豆:92
经验:4081
注册时间:2007-12-13
加关注  |  发消息
4 楼    发表于2012-02-14 18:09:01举报|引用
返回顶部 | 快捷回复

低级别非浸润性乳头状尿路上皮癌

3

射手笑笑

病理020

quhong
回复
signature
重归学生时代!

chenzhenwei110 离线

帖子:275
粉蓝豆:131
经验:383
注册时间:2009-05-31
加关注  |  发消息
5 楼    发表于2012-02-14 18:25:41举报|引用
返回顶部 | 快捷回复

尿路上皮癌

0
回复
signature
做好自己。

zhouquan 离线

帖子:7752
粉蓝豆:302
经验:8263
注册时间:2008-11-09
加关注  |  发消息
6 楼    发表于2012-02-14 18:25:55举报|引用
返回顶部 | 快捷回复
引用 4 楼 Renghis 在 2012-02-14 18:09:01 的发言:

低级别非浸润性乳头状尿路上皮癌


0
回复
signature
成功不是得到多少东西,而是把身上多余的东西的扔掉多少。   

lvyinhua 离线

帖子:832
粉蓝豆:35
经验:1180
注册时间:2012-01-09
加关注  |  发消息
7 楼    发表于2012-02-14 18:46:06举报|引用
返回顶部 | 快捷回复

低级别尿路上皮癌

0
回复

cyunsong 离线

帖子:375
粉蓝豆:189
经验:725
注册时间:2008-12-30
加关注  |  发消息
8 楼    发表于2012-02-14 18:58:55举报|引用
返回顶部 | 快捷回复

尿路上皮癌,低级别。

0
回复
signature
--

山川 离线

帖子:324
粉蓝豆:18
经验:926
注册时间:2010-12-28
加关注  |  发消息
9 楼    发表于2012-02-14 19:44:43举报|引用
返回顶部 | 快捷回复

低级别非浸润性乳头状尿路上皮癌

1

wazxy
回复
signature
看图识字

cyb1433 离线

帖子:666
粉蓝豆:644
经验:1631
注册时间:2009-05-27
加关注  |  发消息
10 楼    发表于2012-02-14 19:49:35举报|引用
返回顶部 | 快捷回复

 (膀胱)非浸润性乳头状尿路上皮癌,低级别

0
回复
signature
生活就是生下来、 活下去

xiaocaodi 离线

帖子:855
粉蓝豆:46
经验:1917
注册时间:2006-10-21
加关注  |  发消息
11 楼    发表于2012-02-14 19:55:20举报|引用
返回顶部 | 快捷回复

(膀胱)低级别非浸润尿路上皮乳头状癌

0
回复

刀尖上的舞者 离线

帖子:1763
粉蓝豆:87
经验:3356
注册时间:2010-12-14
加关注  |  发消息
12 楼    发表于2012-02-14 20:33:18举报|引用
返回顶部 | 快捷回复

0
回复

二土匪 离线

帖子:771
粉蓝豆:23
经验:1213
注册时间:2011-10-11
加关注  |  发消息
13 楼    发表于2012-02-14 21:32:35举报|引用
返回顶部 | 快捷回复

尿路上皮乳头状癌 III级

0
回复
signature
红尘中有独处的心,独处时有红尘的怀抱。

zhangyajing 离线

帖子:500
粉蓝豆:4
经验:610
注册时间:2008-03-23
加关注  |  发消息
14 楼    发表于2012-02-14 22:01:07举报|引用
返回顶部 | 快捷回复

低级别尿路上皮癌

0
回复

寂静山林 离线

帖子:179
粉蓝豆:35
经验:331
注册时间:2011-03-03
加关注  |  发消息
15 楼    发表于2012-02-16 14:12:01举报|引用
返回顶部 | 快捷回复

低级别尿路上皮癌。至于浸润的问题还请楼主仔细观察切片,总感觉那种推进式的生长模式有浸润的嫌疑,临床上浸润与否治疗方式是不一样的。

0
回复
signature
淡淡地再一次聆听过去,如亲临阿尔卑斯山的原始天籁!

未知陨石 离线

帖子:479
粉蓝豆:13
经验:559
注册时间:2010-09-11
加关注  |  发消息
16 楼    发表于2012-02-19 14:01:35举报|引用
返回顶部 | 快捷回复

 高级别浸润性尿路上皮癌

1

cwang668
回复
signature

gbitpathology 离线

帖子:71
粉蓝豆:1
经验:145
注册时间:2012-02-18
加关注  |  发消息
17 楼    发表于2012-02-21 23:17:05举报|引用
返回顶部 | 快捷回复

低级别非浸润性乳头状尿路上皮癌

0
回复
signature
微观看世界

wyjy2870 离线

帖子:229
粉蓝豆:3385
经验:438
注册时间:2009-04-19
加关注  |  发消息
18 楼    发表于2012-02-21 23:27:22举报|引用
返回顶部 | 快捷回复

非浸润性乳头状尿路上皮癌,低级别

0
回复

cwang668 离线

帖子:53
粉蓝豆:3
经验:388
注册时间:2012-02-20
加关注  |  发消息
19 楼    发表于2012-02-22 03:58:20举报|引用
返回顶部 | 快捷回复

Very good photo quality. Thank you 楼主.

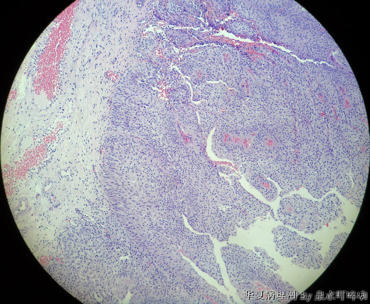
Dx: High grade papillary urothelial carcinoma because: 1. nuclear chromasia (fig 13) and coarse chromatin. 2, almost all nuclei have prominent  nucleoli. 3, Nuclear pleomorphism (some nuclei are three times larger than smaller ones). 4. Nuclear membrane irregularity. 5. mitosis can be seen far away from the basement membrane. 6. a good portion of the neoplastic cells loss orientation that should be perpendicular to the basement membrane. 7. Low power view shows papillary branching and fusion. 8. patient's age

However, this should be the low end of the spectrum of high grade urothelial carcinoma. Careful search might reveal some focal microinvasion.or urothelial carcinoma in situ.  

2

xuanxuan

wazxy
回复

gyy_613 离线

帖子:321
粉蓝豆:1
经验:484
注册时间:2010-09-01
加关注  |  发消息
20 楼    发表于2012-02-27 21:28:23举报|引用
返回顶部 | 快捷回复

低级别非浸润性乳头状尿路上皮癌

0
回复
回复:29 阅读:6637
共2页/29条首页上一页12下一页尾页
【免责声明】讨论内容仅作学术交流之用,不作为诊疗依据,由此而引起的法律问题作者及本站不承担任何责任。
快速回复
进入高级回复
您最多可输入10000个汉字,按 "Ctrl" + "Enter" 直接发送
搜索回复/乘电梯 ×
按内容
按会员
乘电梯
合作伙伴
友情链接