共1页/6条首页上一页1下一页尾页
回复:6 阅读:2539
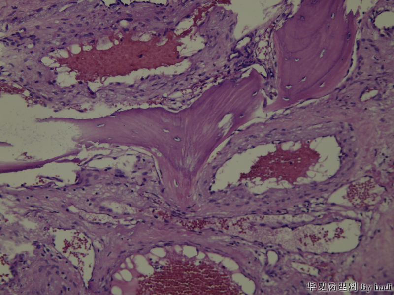
鼻腔肿瘤

hadi 离线

帖子:106
粉蓝豆:138
经验:313
注册时间:2006-10-19
加关注  |  发消息
楼主 发表于 2012-02-13 21:12|举报|关注(0)
浏览排序[ 顺序 逆序 楼主 支持 精彩 ]  快捷回复

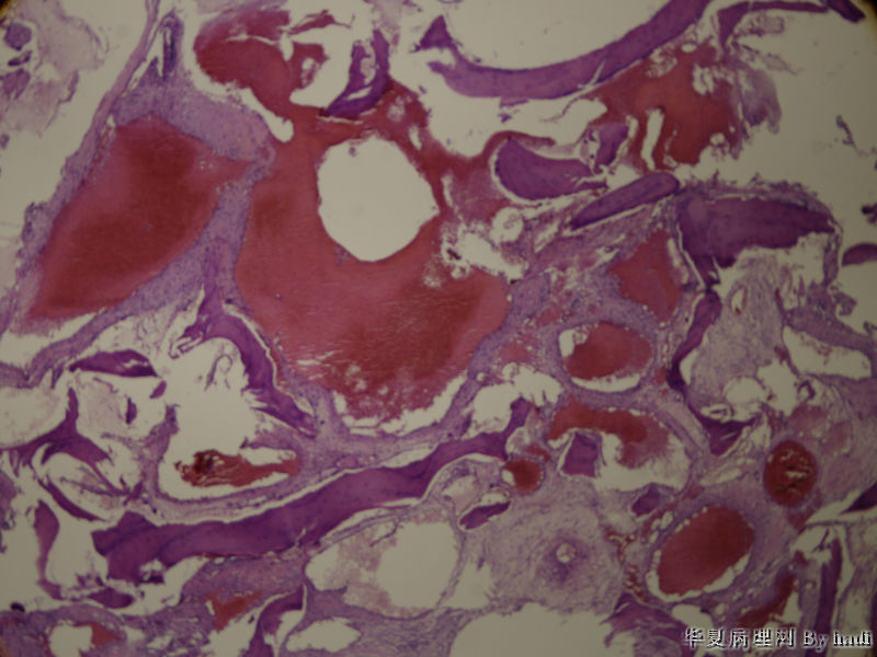
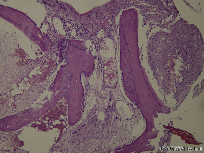
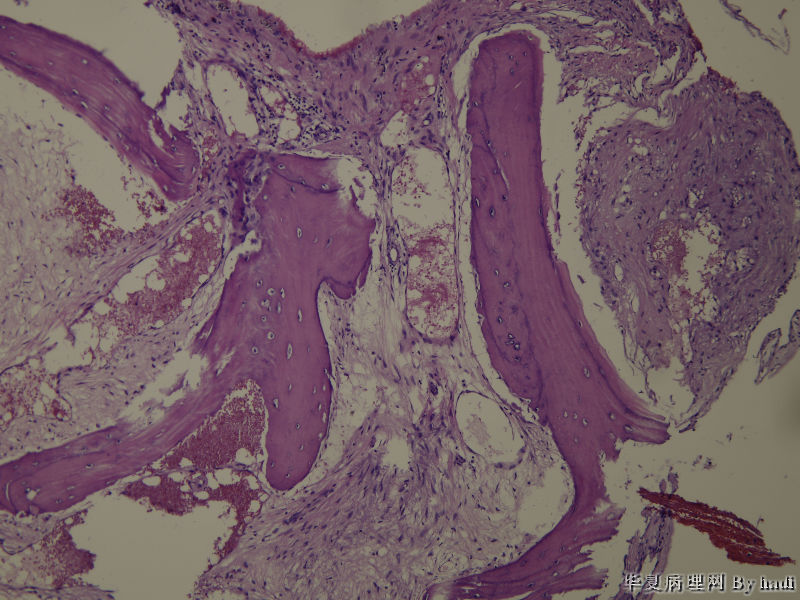
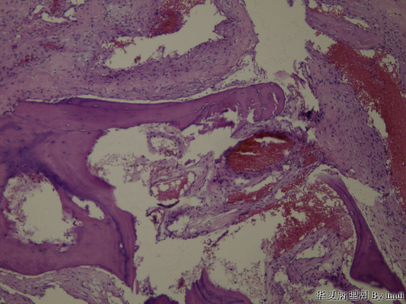
 鼻腔肿瘤,成人男性

  • 鼻腔肿瘤图1
    图1
  • 鼻腔肿瘤图2
    图2
  • 鼻腔肿瘤图3
    图3
  • 鼻腔肿瘤图4
    图4
  • 鼻腔肿瘤图5
    图5
  • 鼻腔肿瘤图6
    图6
  • 鼻腔肿瘤图7
    图7
  • 鼻腔肿瘤图8
    图8
标签:
0
signature
hadi
添加参考诊断
×参考诊断
  

jying1972 离线

帖子:131
粉蓝豆:870
经验:437
注册时间:2008-06-05
加关注  |  发消息
6 楼    发表于2012-02-14 17:20:48举报|引用
返回顶部 | 快捷回复

血管瘤

0
回复
signature
姜影

阿娇 离线

帖子:2054
粉蓝豆:3295
经验:2384
注册时间:2008-05-31
加关注  |  发消息
5 楼    发表于2012-02-14 08:41:31举报|引用
返回顶部 | 快捷回复

神经鞘瘤

0
回复

kint123 离线

帖子:1620
粉蓝豆:240
经验:2095
注册时间:2009-01-31
加关注  |  发消息
4 楼    发表于2012-02-14 08:21:00举报|引用
返回顶部 | 快捷回复

排除一下神经鞘瘤

0
回复
signature
The More We See, The Less We Know!

诺贝儿 离线

帖子:1045
粉蓝豆:0
经验:1856
注册时间:2007-10-12
加关注  |  发消息
3 楼    发表于2012-02-14 07:16:33举报|引用
返回顶部 | 快捷回复

血管瘤。

0
回复
signature
人如其名

ahhbhzlin 离线

帖子:3090
粉蓝豆:50
经验:11826
注册时间:2008-07-24
加关注  |  发消息
2 楼    发表于2012-02-13 22:37:19举报|引用
返回顶部 | 快捷回复

血管瘤

0
回复

wfbjwt 离线

帖子:6628
粉蓝豆:163
经验:7418
注册时间:2006-10-08
加关注  |  发消息
1 楼    发表于2012-02-13 21:52:58举报|引用
返回顶部 | 快捷回复

 纤维血管瘤?看不清间质有无异型

0
回复
signature
嫁人就嫁灰太狼,学习要上华夏网。
回复:6 阅读:2539
共1页/6条首页上一页1下一页尾页
【免责声明】讨论内容仅作学术交流之用,不作为诊疗依据,由此而引起的法律问题作者及本站不承担任何责任。
快速回复
进入高级回复
您最多可输入10000个汉字,按 "Ctrl" + "Enter" 直接发送
搜索回复/乘电梯 ×
按内容
按会员
乘电梯
合作伙伴
友情链接