共2页/24条首页上一页12下一页尾页
回复:24 阅读:8008
2012年3月 广东省病理读片会病例---右颈部皮肤肿物

Renghis 离线

帖子:2530
粉蓝豆:92
经验:4081
注册时间:2007-12-13
加关注  |  发消息
楼主 发表于 2012-02-13 14:08|举报|关注(1)
浏览排序[ 顺序 逆序 楼主 支持 精彩 ]  快捷回复

  • 2012年3月 广东省病理读片会病例---右颈部皮肤肿物图1
    图1
  • 2012年3月 广东省病理读片会病例---右颈部皮肤肿物图2
    图2
  • 2012年3月 广东省病理读片会病例---右颈部皮肤肿物图3
    图3
  • 2012年3月 广东省病理读片会病例---右颈部皮肤肿物图4
    图4
  • 2012年3月 广东省病理读片会病例---右颈部皮肤肿物图5
    图5
  • 2012年3月 广东省病理读片会病例---右颈部皮肤肿物图6
    图6
  • 2012年3月 广东省病理读片会病例---右颈部皮肤肿物图7
    图7
  • 2012年3月 广东省病理读片会病例---右颈部皮肤肿物图8
    图8
  • 2012年3月 广东省病理读片会病例---右颈部皮肤肿物图9
    图10
  • 2012年3月 广东省病理读片会病例---右颈部皮肤肿物图10
    图11
  • 2012年3月 广东省病理读片会病例---右颈部皮肤肿物图11
    图12
  • 2012年3月 广东省病理读片会病例---右颈部皮肤肿物图12
    图13
  • 2012年3月 广东省病理读片会病例---右颈部皮肤肿物图13
    图14
  • 2012年3月 广东省病理读片会病例---右颈部皮肤肿物图14
    图15
  • 2012年3月 广东省病理读片会病例---右颈部皮肤肿物图15
    图16
  • 2012年3月 广东省病理读片会病例---右颈部皮肤肿物图16
    图17
  • 2012年3月 广东省病理读片会病例---右颈部皮肤肿物图17
    图18
  • 2012年3月 广东省病理读片会病例---右颈部皮肤肿物图18
    图19
  • 2012年3月 广东省病理读片会病例---右颈部皮肤肿物图19
    图20
  • 2012年3月 广东省病理读片会病例---右颈部皮肤肿物图20
    图21
  • 2012年3月 广东省病理读片会病例---右颈部皮肤肿物图21
    图22
  • 2012年3月 广东省病理读片会病例---右颈部皮肤肿物图22
    图23
  • 2012年3月 广东省病理读片会病例---右颈部皮肤肿物图23
    图24
  • 2012年3月 广东省病理读片会病例---右颈部皮肤肿物图24
    图25
  • 2012年3月 广东省病理读片会病例---右颈部皮肤肿物图25
    图26
  • 2012年3月 广东省病理读片会病例---右颈部皮肤肿物图26
    图27
  • 2012年3月 广东省病理读片会病例---右颈部皮肤肿物图27
    图28
  • 2012年3月 广东省病理读片会病例---右颈部皮肤肿物图28
    图29
  • 2012年3月 广东省病理读片会病例---右颈部皮肤肿物图29
    图30
  • 2012年3月 广东省病理读片会病例---右颈部皮肤肿物图30
    图31
  • 2012年3月 广东省病理读片会病例---右颈部皮肤肿物图31
    图32
  • 2012年3月 广东省病理读片会病例---右颈部皮肤肿物图32
    图33
  • 2012年3月 广东省病理读片会病例---右颈部皮肤肿物图33
    图34
  • 2012年3月 广东省病理读片会病例---右颈部皮肤肿物图34
    图35

 

标签:病理
本帖最后由 Renghis 于 2012-02-13 14:09:14 编辑
0
signature
重归学生时代!
×参考诊断
(右颈部)假血管性鳞状细胞癌

病理020 离线

帖子:1344
粉蓝豆:5610
经验:1814
注册时间:2011-10-02
加关注  |  发消息
1 楼    发表于2012-02-13 14:18:45举报|引用
返回顶部 | 快捷回复

皮下肉瘤侵及皮肤,原诊断皮肤癌可能不妥,瘤细胞异型性非常明显,核分裂象多见,嗜酸性核仁明显,间质呈粘液样,首先考虑胚胎型横纹肌肉瘤,要和恶黑鉴别。

0
回复
signature
邓学田

TK1905 离线

帖子:962
粉蓝豆:283
经验:1054
注册时间:2010-03-14
加关注  |  发消息
2 楼    发表于2012-02-13 14:23:23举报|引用
返回顶部 | 快捷回复

原发:梭形细胞癌(复发鳞癌变异或本身就以这种形态首发)、恶黑、副脊索瘤/肌上皮瘤、血管肉瘤

转移:低分化腺癌、恶性间皮瘤

0
回复

红树林 离线

帖子:618
粉蓝豆:49
经验:2614
注册时间:2009-02-10
加关注  |  发消息
3 楼    发表于2012-02-13 14:40:33举报|引用
返回顶部 | 快捷回复

考虑恶黑

0
回复

zhouquan 离线

帖子:7752
粉蓝豆:302
经验:8263
注册时间:2008-11-09
加关注  |  发消息
4 楼    发表于2012-02-13 17:31:20举报|引用
返回顶部 | 快捷回复

富于粘液及上皮样细胞的恶性肿瘤

1、上皮样血管肉瘤

2、恶黑

3、MPNST

4、分化差癌(原发或转移)

总体印象上皮样血管肉瘤可能性最大

0
回复
signature
成功不是得到多少东西,而是把身上多余的东西的扔掉多少。   

zhanglei 离线

帖子:3751
粉蓝豆:2077
经验:3901
注册时间:2006-09-26
加关注  |  发消息
5 楼    发表于2012-02-13 17:46:02举报|引用
返回顶部 | 快捷回复

要看第一次的切片。

目前的图片考虑:1、棘层松解性鳞癌,低分化;2、上皮样血管肉瘤;3、恶黑。

0
回复

TK1905 离线

帖子:962
粉蓝豆:283
经验:1054
注册时间:2010-03-14
加关注  |  发消息
6 楼    发表于2012-02-13 17:52:01举报|引用
返回顶部 | 快捷回复
引用 4 楼 zhouquan 在 2012-02-13 17:31:20 的发言:

富于粘液及上皮样细胞的恶性肿瘤

1、上皮样血管肉瘤

2、恶黑

3、MPNST

4、分化差癌(原发或转移)

总体印象上皮样血管肉瘤可能性最大

其实吻合的血管腔不明显,红细胞基本没有,原始血管腔细胞内管腔也不明显,粘液是主要的背景,大体是灰白色而不是出血状,所以上皮样血管肉瘤应该排在后面作为鉴别诊断。

本例位置浅表,MPNST一般还是很少见于表浅的

本例有假腺样、腺样、血管肉瘤样形态,鳞癌的腺样型或棘层松解型就可以长成这样,位置又是表浅,原来有癌的诊断病史,所以我修改一下我前面的诊断,应该叫棘层松解型鳞癌或肉瘤样癌,其实也可以叫梭形细胞癌,只是本例假腺样和血管肉瘤样形态很明显,同意恶黑也可以这样,粘液丰富是本例一个特点

鉴别诊断还是如前面所述,但是要加一个上皮样肉瘤(近端型),但是这个位置不是外阴、骨盆、会阴部,所以可能性极低

1

Renghis
回复

Renghis 离线

帖子:2530
粉蓝豆:92
经验:4081
注册时间:2007-12-13
加关注  |  发消息
7 楼    发表于2012-02-13 18:16:08举报|引用
返回顶部 | 快捷回复

个人意见:

考虑:1、恶性黑色素瘤;

     2、棘层松解型鳞状细胞癌(即肉瘤样癌或梭形细胞癌);

 

鉴别:1、近端型上皮样血管肉瘤;

      2、上皮样血管肉瘤。

 

不考虑:MPNST及副脊索瘤/肌上皮瘤。

 

本例最终诊断结果最快将于3月12日上传,请大家各抒所见!

1

dragon
回复
signature
重归学生时代!

emilypeaker 离线

帖子:654
粉蓝豆:1570
经验:2182
注册时间:2011-01-03
加关注  |  发消息
8 楼    发表于2012-02-13 18:16:12举报|引用
返回顶部 | 快捷回复

非常好的病例,图也非常清楚。

考虑恶性黑色素瘤、上皮样血管肉瘤。期待最终的诊断结果。

0
回复
signature
Suffered from papillary thyroid carcinoma, then major in Endocrine tumor.

月儿 离线

帖子:1877
粉蓝豆:67
经验:2039
注册时间:2006-09-25
加关注  |  发消息
9 楼    发表于2012-02-13 20:42:50举报|引用
返回顶部 | 快捷回复

恶黑首选。看到累及表皮。间质可以粘液变。

0
回复

wfbjwt 离线

帖子:6628
粉蓝豆:163
经验:7418
注册时间:2006-10-08
加关注  |  发消息
10 楼    发表于2012-02-13 21:19:26举报|引用
返回顶部 | 快捷回复

 血管肉瘤

0
回复
signature
嫁人就嫁灰太狼,学习要上华夏网。

xiaocaodi 离线

帖子:855
粉蓝豆:46
经验:1917
注册时间:2006-10-21
加关注  |  发消息
11 楼    发表于2012-02-13 21:22:12举报|引用
返回顶部 | 快捷回复

1、首选恶性黑色素瘤:肿瘤细胞大,散大,多形,胞浆丰富,嗜双色,核仁大而红染,异型明显,间质粘液变性。

2、棘层松解性鳞癌:肿瘤位置表浅,与鳞状上皮相连,但未见明显肿瘤细胞与肿瘤细胞之间松解,而肿瘤细胞间为胶原纤维。

3、上皮样血管肉瘤:细胞大,异形明显,呈上皮样,但未见明显血管裂隙,而肿瘤细胞是挂在胶原纤维壁上,呈灯笼状。

1

晓明
回复

dragon 离线

帖子:207
粉蓝豆:5
经验:268
注册时间:2011-02-17
加关注  |  发消息
12 楼    发表于2012-02-28 22:30:00举报|引用
返回顶部 | 快捷回复

很好的病理,考虑:

1.恶黑

2.棘层松解型鳞状细胞癌(肉瘤样癌或梭形细胞癌)

鉴别:近端型上皮样肉瘤;上皮样血管肉瘤

 

0
回复
signature
将生命本质里最真实的想法付诸实践的勇气

pathologybz 离线

帖子:14
粉蓝豆:2
经验:20
注册时间:2012-02-28
加关注  |  发消息
13 楼    发表于2012-02-29 10:59:05举报|引用
返回顶部 | 快捷回复

典型的假血管性鳞状细胞癌。

1、肿瘤细胞极度棘层松解而形成假血管腔和囊腔,内含淡蓝色粘液样物及渗出的红细胞。
       2、腔壁衬有非典型上皮样细胞,多角形,排列方式小巢状、索条状,核空泡状,核仁明显。被覆皮肤上皮有发育不良现象。

 

 

 

1

dragon
回复

yt80713 离线

帖子:92
粉蓝豆:12
经验:101
注册时间:2011-12-19
加关注  |  发消息
14 楼    发表于2012-03-03 20:40:56举报|引用
返回顶部 | 快捷回复

很好的病例,图很清晰,期待结果!

0
回复
signature
开心果

emilypeaker 离线

帖子:654
粉蓝豆:1570
经验:2182
注册时间:2011-01-03
加关注  |  发消息
15 楼    发表于2012-03-04 00:58:46举报|引用
返回顶部 | 快捷回复

最近刚遇到一例印戒细胞型的恶性黑色素细胞瘤,希望楼主能公布此病例的答案。

0
回复
signature
Suffered from papillary thyroid carcinoma, then major in Endocrine tumor.

一孔天下 离线

帖子:106
粉蓝豆:104
经验:118
注册时间:2009-03-28
加关注  |  发消息
16 楼    发表于2012-03-04 11:44:34举报|引用
返回顶部 | 快捷回复

考虑:1、恶性黑色素瘤;

     2、棘层松解型鳞状细胞癌(即肉瘤样癌或梭形细胞癌);

 

    3 上皮样血管肉瘤;

    4 浅表性未分化肉瘤

0
回复

huangchuansheng 离线

帖子:295
粉蓝豆:2674
经验:830
注册时间:2006-09-27
加关注  |  发消息
17 楼    发表于2012-03-05 15:36:34举报|引用
返回顶部 | 快捷回复

上皮样肉瘤或者粘液纤维肉瘤

0
回复
signature
病理人

qwe628400 离线

帖子:459
粉蓝豆:57
经验:516
注册时间:2009-11-17
加关注  |  发消息
18 楼    发表于2012-03-05 20:11:29举报|引用
返回顶部 | 快捷回复

考虑肉瘤样癌,是否转移?,尤其是肺大细胞癌等?

0
回复

晓明 离线

帖子:1630
粉蓝豆:56
经验:1784
注册时间:2010-02-02
加关注  |  发消息
19 楼    发表于2012-03-11 00:26:00举报|引用
返回顶部 | 快捷回复

首选恶性黑色素瘤;除外棘层松解型鳞状细胞癌(即肉瘤样癌或梭形细胞癌,上皮样血管肉瘤,浅表性未分化肉瘤

0
回复
signature
典型中看不典型,不典型中找典型。

Renghis 离线

帖子:2530
粉蓝豆:92
经验:4081
注册时间:2007-12-13
加关注  |  发消息
20 楼    发表于2012-03-11 14:09:20举报|引用
返回顶部 | 快捷回复
  • 图1
  • 图2
  • 图3
  • 图4
  • 图5

 

 

     
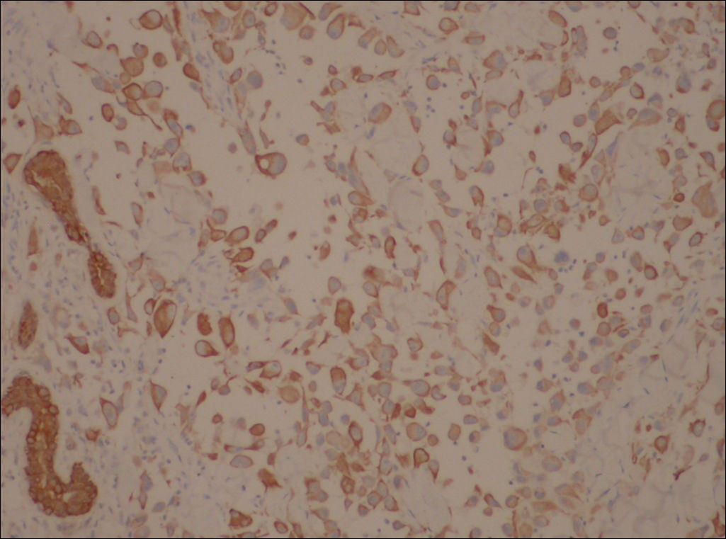
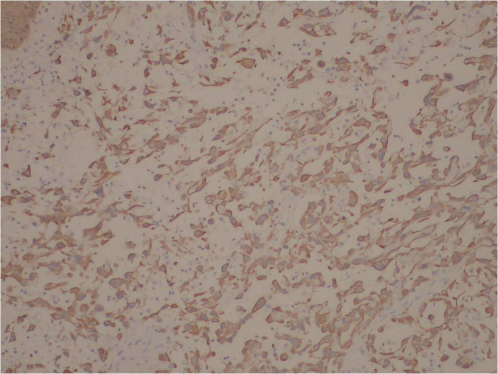
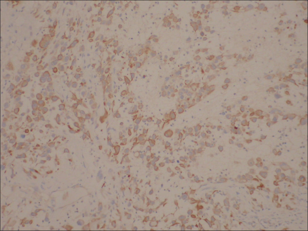
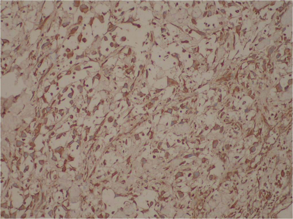
      免疫组化结果:

阳性:  CKVimCK5/6CK14

阴性:  MyoD1MyogeninDesminSMAEMACD34HMB45CK8/18CEA

特染:  AB-PAS(-)

 
1

chenzhen..
回复
signature
重归学生时代!
回复:24 阅读:8008
共2页/24条首页上一页12下一页尾页
【免责声明】讨论内容仅作学术交流之用,不作为诊疗依据,由此而引起的法律问题作者及本站不承担任何责任。
快速回复
进入高级回复
您最多可输入10000个汉字,按 "Ctrl" + "Enter" 直接发送
搜索回复/乘电梯 ×
按内容
按会员
乘电梯
合作伙伴
友情链接